
胡新贵 太原钢铁总医院

赵**,男性,62岁;
主诉:间断胸憋痛5年,加重3天
现病史: 患者于5年前始,无明显诱因出现间断胸憋痛,持续约10余分钟可自行缓解,就诊于外院行冠脉造影及支架术(具体不祥);近3天来,无明显诱因再次出现间断胸憋、胸痛,自行含服速效救心丸后约3-5分钟可缓解,上述症状间断发作,约1-2次/日;就诊于我科。
既往史: 高血压史10余年,吸烟史30余年。

【体格检查】:
HR 93次/分,血压:136/87mmHg,神清,双肺呼吸音清,未闻及干湿性啰音;心律齐,各瓣膜听诊区未闻及病理性杂音;腹部平软,双下肢无明显水肿。
【实验室检查】:
入院后查血常规、尿常规、粪便常规、肝肾功能、电解质、血糖、心肌酶、脑尿钠肽、凝血等均大致正常。
其中LDL-C 2.56mmol/l,TG2.67mmoL/L。
【辅助检查】:
心电图:窦性心律,II、III、AVF导联T波低平,V2-V6导联T波低平、倒置。

超声心动图:

胸部及头颅CT示:


冠状动脉粥样硬化性心脏病
不稳定型心绞痛
冠状动脉支架植入术后状态
高血压2级 极高危

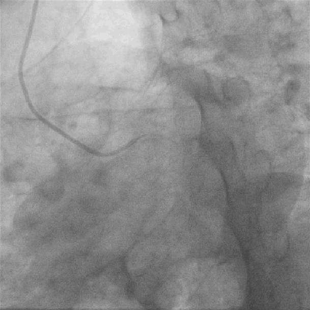
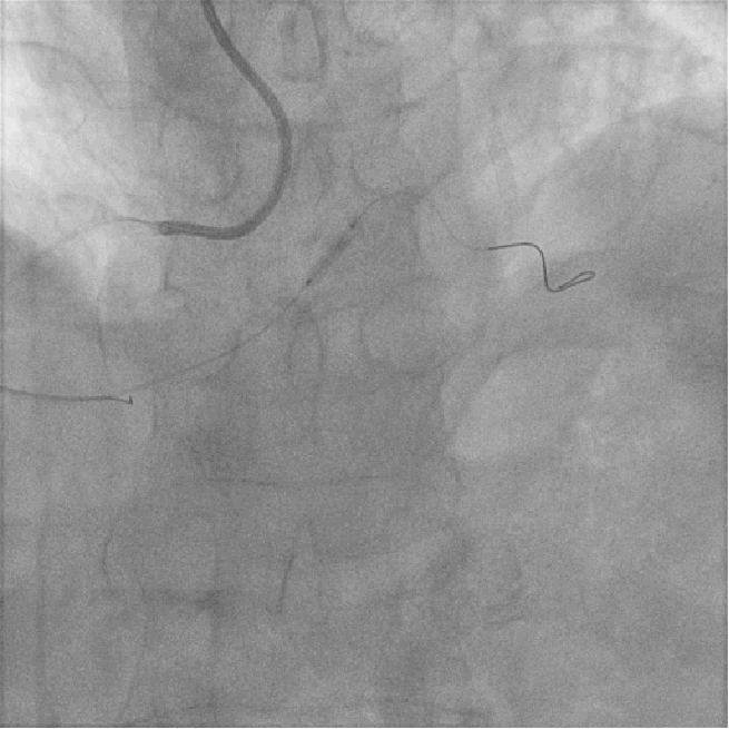
(右冠迂曲病变)
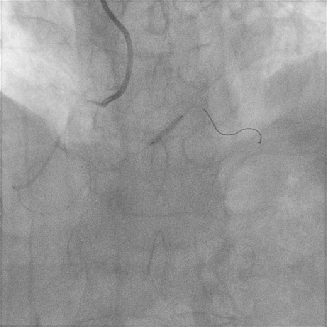
左图:LM未见狭窄及阻塞病变;
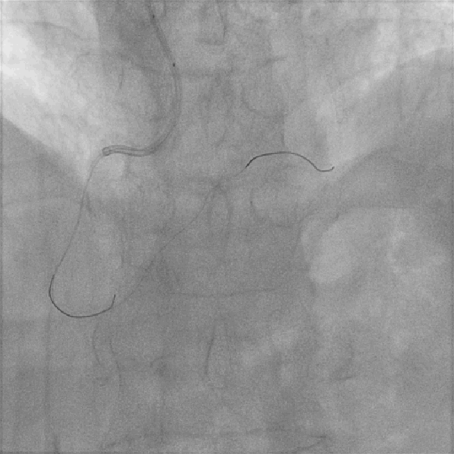
右图:LCX未见狭窄及阻塞病变;


左图:LAD近段可见斑块,中段原支架通畅,未见狭窄及阻塞病变;
右图:RCA开口狭窄约50%,近段中段弥漫性斑块,远段后侧支第二转折处局限性狭窄90%;



分析思路:
-
患者不稳定型心绞痛症状典型,根据心电图及冠状动脉造影术结果回报,考虑罪犯血管为右冠脉远段后侧支第二转折处病变;
-
右冠状动脉全程迂曲伴钙化,可能会为随后器械推送带来阻力和困难;
-
必须选择强支撑力的指引导管;
-
如出现推送器械仍困难,可采用双导丝技术或加用延长导管加强指引导管支撑力。
手术策略:
A. 患者右冠状动脉严重迂曲伴钙化,病变部位路程较远,考虑手术过程中必须选择强支撑力指引导管,选择了AL1.0,必要时联合延长导管;
B. 考虑右冠脉严重迂曲并病变部位较远,选择操控良好的SiON导丝;
C. 因病变部位位于右冠脉远段,首先药物球囊术,必要时可选支架植入术;

基于以下考虑:
右冠状动脉全程严重扭曲钙化,预估器械推送阻力较大,而右冠状动脉远段迂曲病变处理需要指引导管提供强支撑力,因此选用6F AL 1.0指引导管。端头AL1.0发生嵌顿风险较低,开口发生夹层并发症也较低,安全性相对较高。
最终选择:
6F AL1.0型号

AL指引导管型号尺寸

常用 AL 1.0
AL大小尺寸
代表第2弯半径长度
( cm)

主动脉根部越宽,型号尺寸越大,被动支撑越强
AL用于RCA增强支撑力的基本原理
-
导管主体稳定地坐于主动脉瓣上或窦底;并紧贴对侧主动脉壁;
-
头端伸入冠状动脉开口,深座时对冠脉上缘产生相互作用;
-
对于正常与向下开口,可以提供良好的同轴性;

AL结构特点和经桡优势
Launcher AL 结构特点
-
底相对宽 头相对短
-
第一弯更柔韧
-
第二弯提供强大支撑
Launcher AL 经桡优势
-
易操控:操控、到位更容易
-
更安全:头端不容易深插,冠脉损伤概率低
-
支撑力更好:与窦及对侧动脉壁接触面积大

实物激光扫描

安全无创
AL头端入冠不深,几乎没有嵌顿现象,可避免刮伤主动脉窦,避免损伤靶血管和主动脉壁。
灵活操作
AL指引导管在主动脉窦里可自如转动,入冠和撤出操作较简单,术者可灵活调整以适应不同右冠解剖形态及头臂干异常。
强支撑
1、AL指引导管的第2弯曲可下坐至窦底,提供后坐支撑力,术者还可通过型号选择及主动操控实现窦底+对侧壁支撑模式。
2、右冠开口不高时可进一步后座至右窦底,实现同侧窦底支撑模式。
3、可为绝大多数病变介入治疗提供支持力,可作为治疗右冠状动脉病变的常规选择。

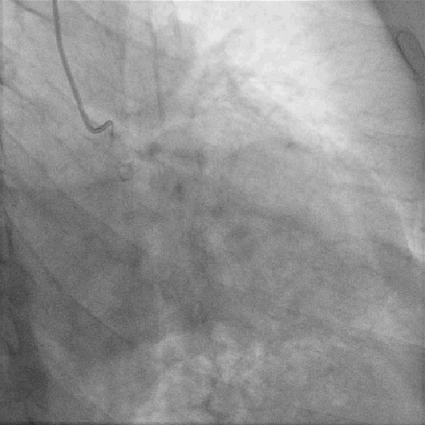
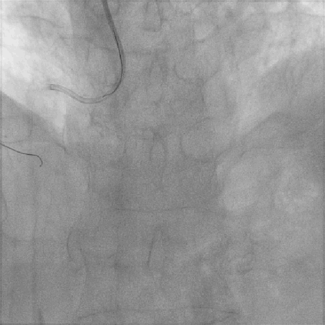
左图:AL1.0指引导管到位后,Sion导丝顺利送至右冠脉远段,迪马克2.5*15mm球囊到位困难,采用双导丝技术,球囊顺利到位后给予预扩张(10atm)。
右图:病变部位预扩后残余狭窄小于30%,病变部位未见明显夹层及撕裂,给予药物球囊鼎科2.5*20mm病变部位释放(8atm,60S)。


反复多体位造影提示:病变部位残余狭窄小于30%,未见明显夹层及撕裂,TiMi血流III级;



1、右冠脉严重迂曲伴钙化病变,必须选择强支撑力指引导管;
2、操作指引导管时,动作一定要轻柔,避免暴力引起冠脉口撕裂;
3、指引导管同轴性困难时,可使导管顺着导丝或球囊杆与冠脉口达到同轴后再滑入至冠脉;
4、如出现推送器械困难时,可采用双导丝技术、球囊铆钉技术或加用延长导管加强指引导管支撑力;
5、如复杂术式时,可选用7F大腔强支撑力指引导管,必要时可选用股动脉入路;
作者简介

胡新贵
-
副主任医师,硕士研究生,北京大学医学部访问学者;
心血管内科工作10余年;
-
擅长复杂冠心病介入,心律失常导管消融及起搏器植入;
擅长应用主动脉内球囊反搏,血管内超声,血管内光学相干成像,冠状动脉内旋磨等辅助下完成复杂冠心病介入;每年完成冠脉介入千余例,心脏电生理射频及心脏起搏手术百余例;
-
2019年取得国家卫健委冠心病介入资格证书;
-
2022年5月取得中国心血管疾病(第一期第三批)心律失常介入资格证书;
-
山西省心血管介入委员会委员;
-
山西省重症医学委员会委员;
-
山西省医调委专家组成员;
-
太原市心血管介入质控秘书;
-
发表SCI1篇,国家级杂志2篇,省级杂志数篇。









