
周兴虎 兰州大学第一医院

患者:张某,男性,58岁
主诉:劳力性胸闷气短2周,加重1天
诊断:劳力型心绞痛
既往病史:2023年6月外院植入1枚支架,2型糖尿病病史1年

心电图

心脏彩超

【临床诊断】劳力性心绞痛 PCI术后 2型糖尿病。
【风险评估】患者症状典型,心脏彩超示心功能正常,但存在部分室壁运动异常,心肌酶阴性,既往PCI术,根据临床诊断及病史检查,属于高危患者。
【用药情况】
拜阿司匹林0.1g qd
替格瑞洛 90mgbid
瑞舒伐他汀 10mg qn
依折麦布10mg qd
依那普利5mg qd
美托洛尔缓释片23.75mg qd


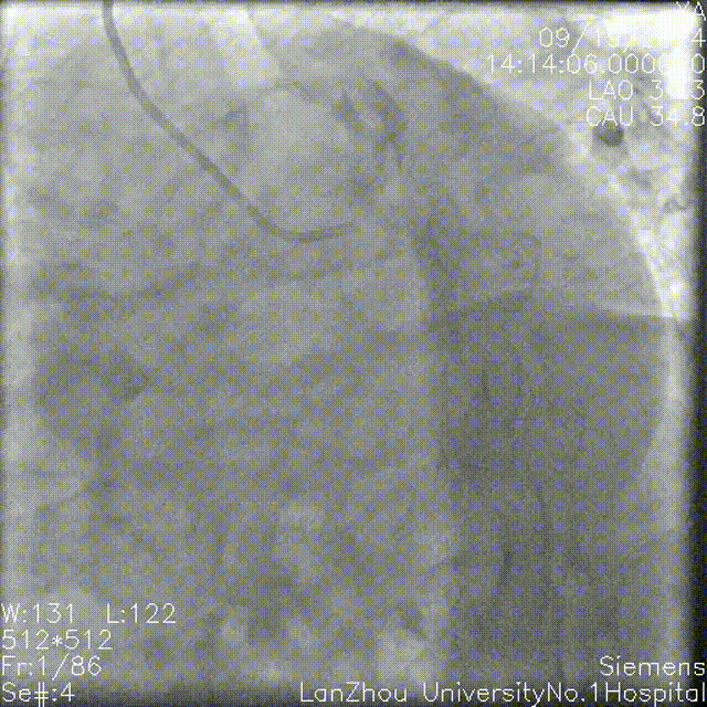
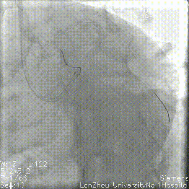
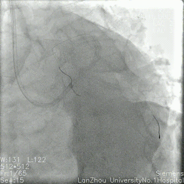
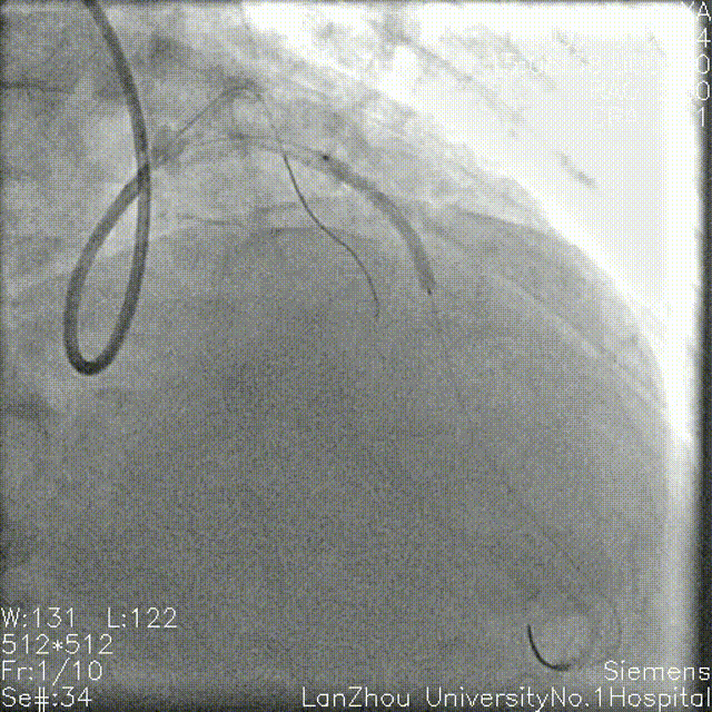
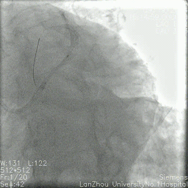
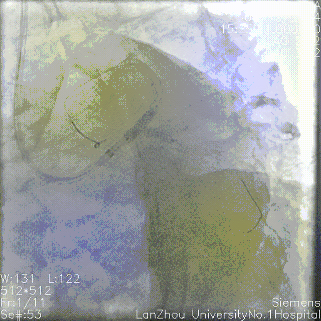
头位造影:
LM较短,末端可见重度狭窄,前降支近中段全程弥漫性狭窄伴钙化;
回旋支次全闭,可见钙化影。

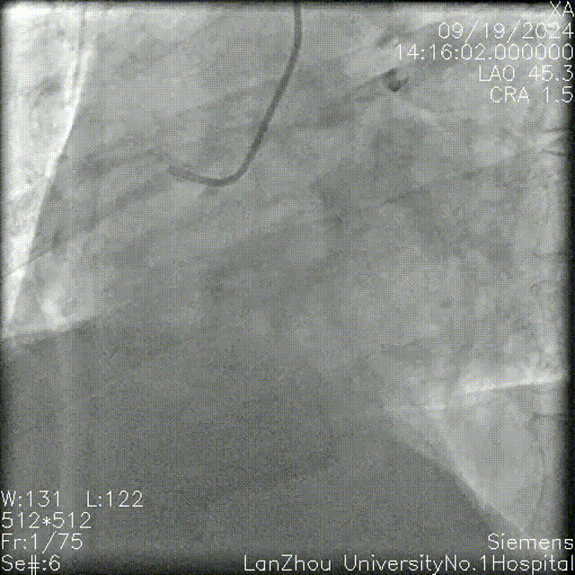
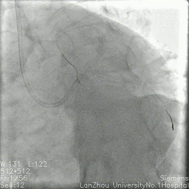
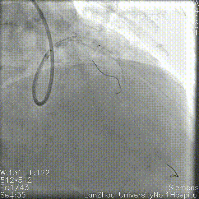
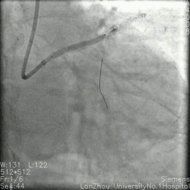
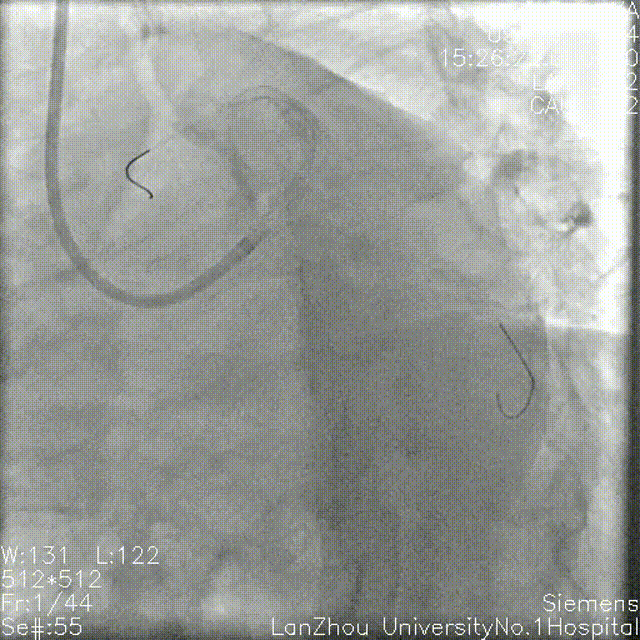
右肩造影:
前降支近中段全程弥漫性狭窄伴环形钙化,最重处95%狭窄;
对角支开口狭窄不重,角度不大,可能不需要导丝保护。

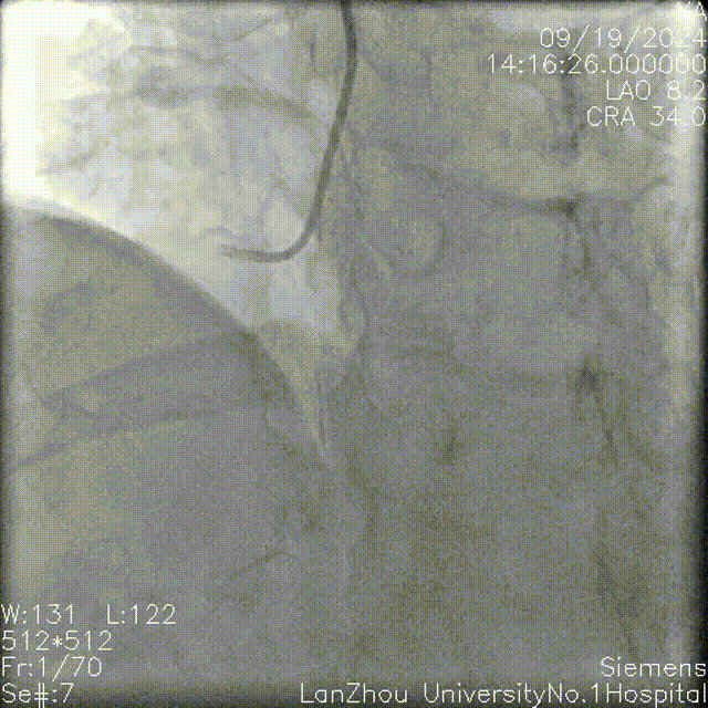
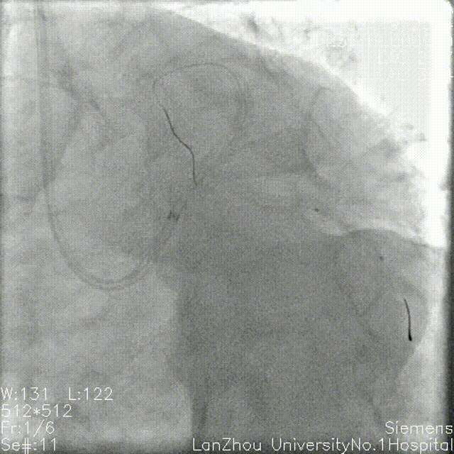
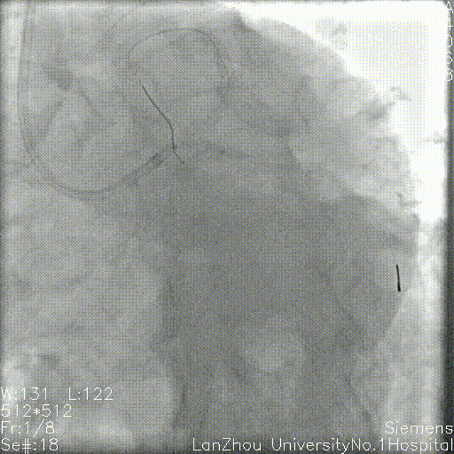
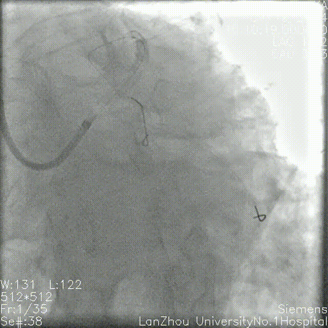
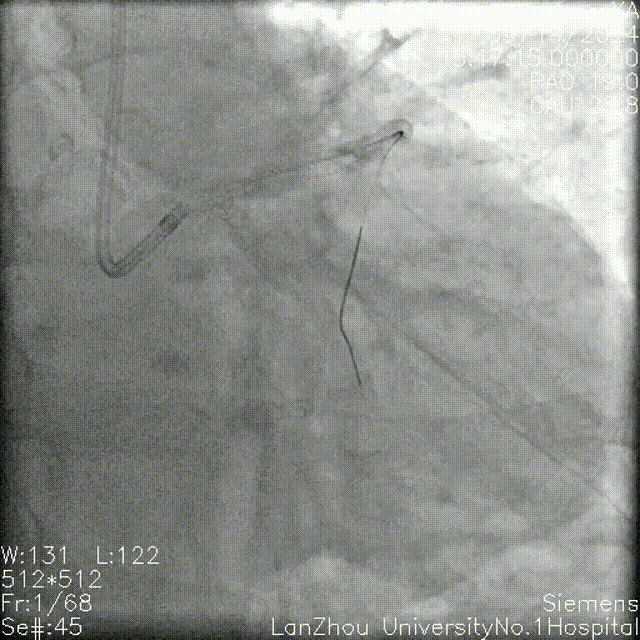
蜘蛛位造影:
左主干开口、体部未见明显狭窄;
第一对角支开口重度狭窄;
回旋支次全闭,开口、近端、中段重度狭窄,可见环形钙化。

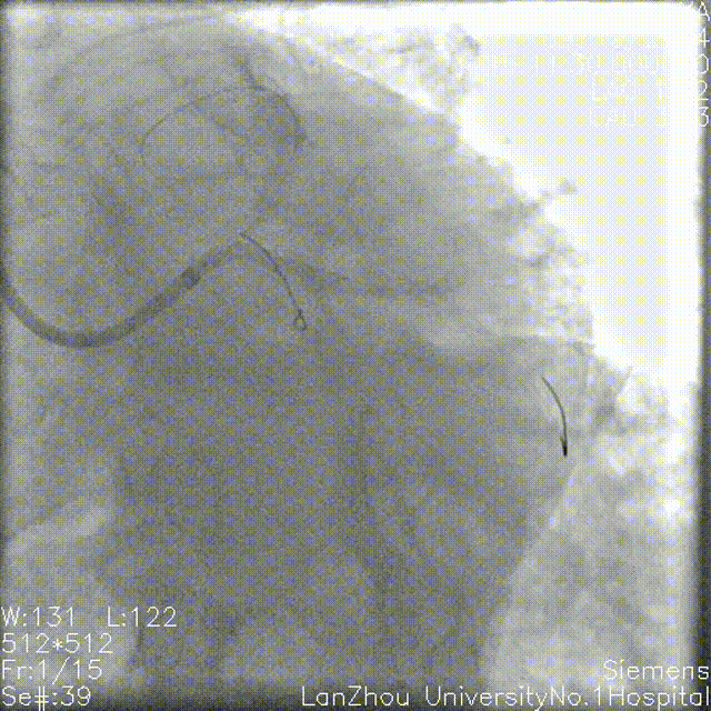
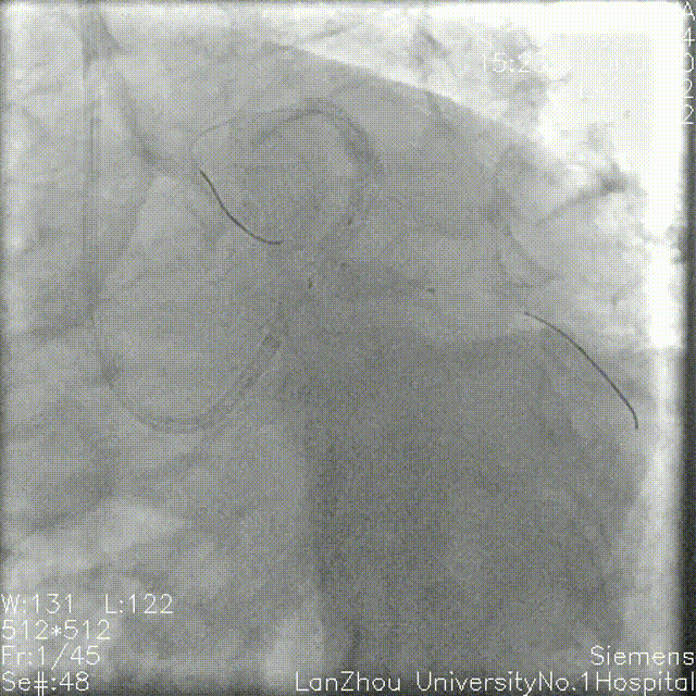
右冠造影:
全程斑块伴有钙化;
第二弯可见支架影,支架未见明显再狭窄。

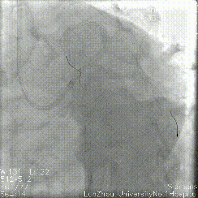
右冠造影:
全程斑块伴有钙化;
第二弯可见支架影,支架未见明显再狭窄
右冠可暂不处理。

A. 右冠全程钙化,支架贴壁良好,不做特殊处理;
B. 前三叉分叉病变,Mednia分型(1,1,1),需要置入两根导丝;
C. 回旋支次全闭,先处理回旋支恢复血流,回旋支钙化重,行IVUS检查评价,如管腔面积尚可尽量药球处理,前降支-左主干行Crossover支架植入;
D. 前降支-左主干行IVUS检查评价钙化、斑块负荷,寻找支架落脚点,做好旋磨、振波准备,同时做好双支架策略准备。

基于以下考虑:
考虑到旋磨可能性,使用7F指引导管能够容纳更多器械和更大尺寸的磨头,EBU指引导管的支撑性和稳定性相较其他指引导管好,使用EBU3.5不仅能够提供很好的支撑,导管头到达左主干也不会引起张力过大,可以很好的预防导管相关并发症,顺利完成手术。
最终选择:
7F EBU35

1、EBU 操控灵活、入冠容易、适合90%以上左冠病例;
2、常规对侧壁支撑,操作简便,可以提供优秀的支撑力;
3、也可以选择对侧壁+瓦氏窦支撑模式,体外支撑模式,用于LM开口病变时可防损伤;
4、需要超强支撑力时,可以进行独特 α支撑模式,提供额外的超强支撑力;
5、灵活控制支撑力和入冠深度治疗不同类型的病变。



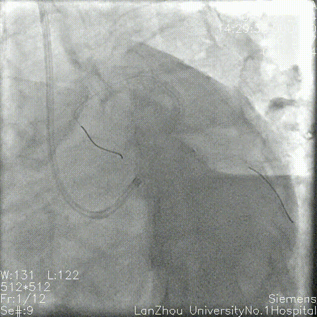
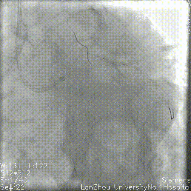
GC:7F EBU 3.5 前降支、回旋支分别植入导丝 1.5*15mm球囊 12atm分别预处理回旋支开口、近端,血流恢复TIMI III级。


2.0*20mm球囊 再次扩张,造影血管显影更清晰。


2.0*15mm双导丝球囊 14atm修饰回旋支开口-左主干末端。


左主干-回旋支行IVUS检查;
回旋支近中段可见弥漫性狭窄伴有360°环形钙化;
回旋支开口面积2.1平方毫米;
左主干-前降支IVUS导管不能通过。


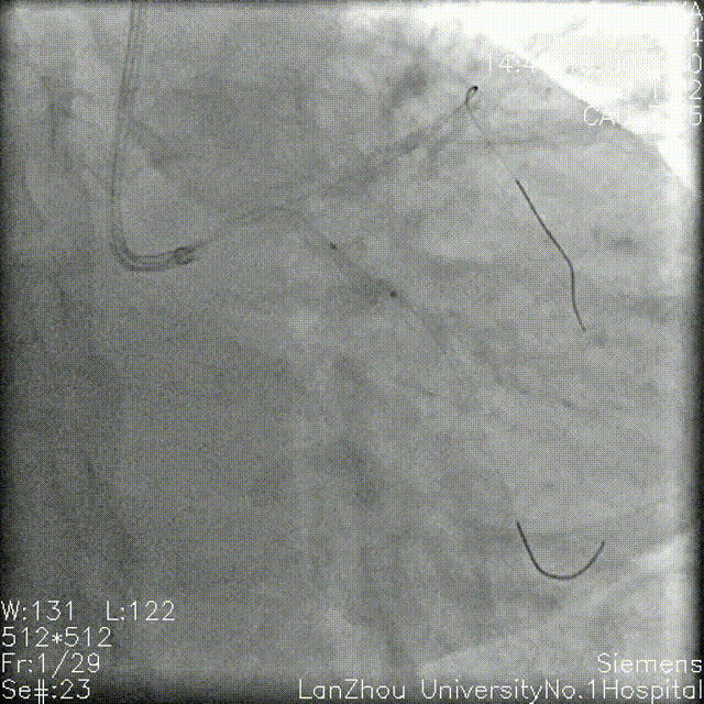
2.0*10mm切割球囊修饰回旋支开口、近端,14atm后球囊破裂.


切割球囊切割后行IVUS检查提示钙化环有所断裂,回旋支开口狭窄仍严重,遂决定使用2.5mm NC球囊高压扩张。


2.5*12mm NC球囊高压扩张回旋支近端。


2.5*12mm NC球囊高压扩张回旋支近端复查造影提示狭窄缓解。

多次尝试推送2.5mm NC球囊,仍无法通过前降支近端,遂决定行旋磨术。



1.5mm旋磨,15万转3次共48s旋磨、修饰前降支近-中段。


2.5*12mm、 3.0*12mmNS 球囊高压扩张前降支。


2.5*12mm、 3.0*12mmNC 球囊高压扩张前降支,复查造影提示狭窄明显减轻。


2.75*28mm支架 8atm于前降支近中段释放,复查造影狭窄解除。


复查造影提示回旋支开口仍明显狭窄,考虑使用药球后可能回弹,遂决定行支架植入,于回旋支近端-左主干行Cullotte术,2.75*18mm 10atm释放支架。


前降支Re-wire,1.5mm、2.0 mm、2.5mm球囊扩张回旋支-左主干支架网眼。


与前降支近中段原支架串联前降支近端至左主干 12atm释放3.5*32mm支架。


回旋支Re-wire, 1.5mm、2.0 mm、2.5mm球囊扩张前降支-左主干支架网眼;
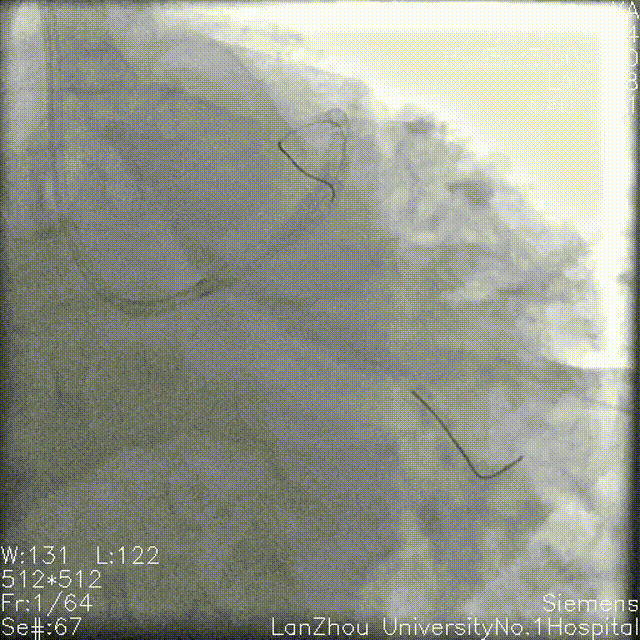
2.75*15mm,3.5*12mm球囊扩张前降支-左主干,2.75mm球囊扩张回旋支;
2.75mm,3.5mm 8atm対吻扩张。

复查造影后再次复查前降支IVUS

前降支近中段支架膨胀不全;
遂3.5mm球囊高压扩张;

结合术后IVUS,考虑该处钙化严重及钙化小结导致IVUS导管及球囊无法通过。


复查造影支架贴壁良好

回旋支支架植入后因支架及钙化原因,IVUS导管无法推送至中段以后,遂仅对回旋支开口支架IVUS检查。

回旋支开口支架后扩后行IVUS检查:支架贴壁膨胀良好。


回旋支开口支架后扩后行IVUS检查:支架贴壁膨胀良好。

1、EBU指引导管可靠的稳定性,适中的导管强度,头端柔软性同时降低了并发症可能性,在PCI手术中,特殊的冠脉开口及迂曲主动脉手术中均能够提供较好的支撑;
2、工作导丝应首选头端软硬适中、操控性较好、可塑性较好的导丝,对于双缠绕结构的导丝头端,由于存在一定导丝记忆,通过迂曲病变时导丝弯度可能回弹,增加了手术时间和难度,不推荐首选;
3、对于相对较于复杂病例,腔内影像的积极使用能够及时的提供病变部位的特殊情况,如钙化、夹层、角度、斑块性质等等,为提高靶病变成功率提供了有力的支撑;
4、右冠开口于左窦病例,使用EBU较JR、AL等管型更易挂冠,支撑性更好。
作者简介

周兴虎
博士,兰州大学第一医院,副主任医师;
2009年毕业于中国医科大学,获得学士学位,同年攻读硕士;
2014年硕博连读毕业于中国医科大学,获得博士学位,目前任兰州大学第一医院心内科副主任医师;
熟悉心内科常见疾病的诊疗,主要从事冠心病介入治疗,擅长心内科常见疾病诊疗及急诊处理;
博士期间主要从事心血管疾病流行病学研究,多次参加国家级学术会议,并参加完成国家十二五课题农村人群慢性疾病筛查,发表SCI3篇。



