结节孤立性骨折较为罕见,肱骨近端骨折中17%~24%为单纯结节骨折。总体而言,关节镜技术正在兴起并已应用于肩部骨折治疗。已有文献报道通过关节镜或至少关节镜辅助成功治疗关节盂骨折、使用髓内钉或钢板的肱骨头骨折、远端锁骨骨折及喙突骨折的案例。除具备微创手术的所有优势(包括减少失血量、降低感染风险、减轻软组织损伤)外,关节镜治疗还需确保足够的初期骨折稳定性以实现骨愈合。
关节镜骨折处理的优势与劣势
优势
-
微创操作
-
可观察并处理伴随的关节内病变
-
恢复周期短
-
无需移除内固定物
劣势
-
技术难度较高
-
出血严重时视野受损
总体而言,关节镜下骨折治疗可能具有一定挑战性。由于骨性解剖结构的改变,该手术在技术上要求较高。具备肩关节镜手术的丰富经验具有明显优势,可降低中转切开复位内固定(open reduction and internal fixation, ORIF)的风险。然而,所有处理结节骨折的外科医生均需从技术及器械准备两方面充分认识并应对这一问题。另一潜在难点在于骨折部位的术中出血增加,需提高泵压以控制视野,但由此引发的软组织肿胀加剧及视野受限可能增加手术难度,并延长手术时间。
尽管如此,正确的适应症选择与规范化的关节镜下结节骨折手术可取得令人满意的疗效。此类治疗并发症发生率低,且在大多数病例中能实现肩关节的完全功能恢复。
1、解剖
肱骨近端骨折约占全身骨折的5%,呈现出双峰型年龄分布特征:骨折高发人群集中在骨骼发育活跃的青少年(运动损伤为主)和骨密度下降的老年人(低能量跌倒多见)。大结节位于肱骨近端外侧解剖颈与外科颈之间,作为肩袖肌群(冈上肌、冈下肌、小圆肌)的功能性附着点,其顶点较肱骨头最高点低6-8mm。

图源:doi:10.1016/j.injury.2007.09.022
2、 影像学评估
关节镜骨折治疗的先决条件是充分的术前影像学评估。对于结节骨折,计算机断层扫描(CT)是金标准,应在常规双平面X线片基础上进行,以精确评估骨折形态。三维重建技术可立体呈现肱骨近端解剖结构,使术者更直观理解“骨折个性”。评估时需重点关注冠状面和轴状面上头端骨块与足印区之间的台阶征——骨块移位会导致肩袖力臂缩短,并在盂肱关节活动时引发肩峰下间隙机械性撞击或盂唇前/后缘的解剖冲突。
由于结节骨折常伴随创伤性肩关节脱位,此时磁共振成像(MRI)有助于检测盂唇损伤、SLAP损伤(上盂唇前后向撕裂)、软骨损伤及肩袖撕裂。超声检查可作为替代选择,在经验丰富的操作者手中,这种快速、经济的影像手段能有效评估骨块位置,其典型征象为头端骨块与足印区移行处骨皮质连续性中断,若发现此类征象需进一步行MRI或CT检查。
大结节隐匿性骨折的诊断具有挑战性,此类骨折需视为独立临床实体。其典型表现为创伤后假性瘫痪、外展力量丧失及上举剧痛,虽X线平片无阳性发现,但MRI可显示大结节骨髓水肿。建议临床疑似病例积极行MRI检查。治疗以保守为主,包括2~3周制动后,在物理治疗师指导下进行功能性康复训练。
3、 分类
肱骨近端骨折(包括结节骨折)存在多种分类体系。其中AO分型系统将此类骨折分为三大类:A型(单处、关节外骨折)、B型(双处、关节外骨折)和C型(关节内骨折),每类根据骨折形态进一步划分为三个亚型(1-3型),并按严重程度递进细分为三级(图2)。例如,合并肩关节前脱位的大结节骨折被归类为11-A1.3型,“11”代表肱骨近端,“A”表示单处关节外骨折,“1”对应大结节骨折,“3”指合并盂肱关节脱位。然而,这些分类系统均未充分体现骨块形态学特征的差异——大结节骨折的形态多样性主要与创伤机制及暴力强度相关,而骨块形态恰恰是制定治疗方案和手术技术选择的关键依据。

图1 AO/OTA Fracture and Dislocation Classification Compendium-2018

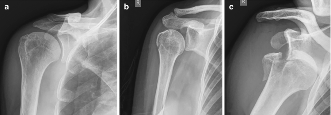
图2 肱骨近端大结节骨折AO分型示意图(a) 11-A1.1型无移位;(b) 11-A1.2型移位;(c) 11-A1.3型合并盂肱关节脱位
Bahrs等(2006年)提出大结节骨折的三种致伤机制:撕脱机制、肩峰撞击机制和关节盂缘撞击机制。Mutch等(2014年)在此基础上进一步提出基于骨块形态的分类系统:
撕脱性骨折:特征为水平向骨折线伴小骨块分离;

图3 doi:10.1302/0301-620X.96B5.32362
劈裂性骨折:以垂直向骨折线及单一较大骨块为典型表现;

图4 doi:10.1302/0301-620X.96B5.32362
压缩性骨折:因大结节与关节盂或肩峰撞击导致骨块向肱骨头内凹陷。

图5 doi:10.1302/0301-620X.96B5.32362
4、 治疗原则
手术指征的确定需综合多重因素。除患者相关因素(如年龄、活动水平、治疗依从性及合并症)外,骨块移位的程度与方向是决定治疗策略的核心依据。大结节向上移位易引发肩峰下撞击征,而后方移位则可能导致外旋功能受限。若骨折块同时累及冈上肌与冈下肌肌腱的骨性附着点,其受力矢量将使骨块向后上方(肩胛冈方向)移位。相较于后方移位,骨块向上移位的耐受性更差,手术干预的临界值存在争议(文献报道为3mm至5mm)。对于年轻患者或从事过顶运动(如投掷、游泳)的个体,建议采取更积极的手术策略。结节压缩性骨折的耐受性较好,通常可保守治疗;而小结节骨折的移位阈值更低(文献建议<2mm)。
值得注意的是,合并大结节骨折的肩关节脱位复发率平均仅3%,提示大结节骨折本身可能具有稳定关节的“保护效应”,因此单纯肩关节不稳并非手术指征。此类病例中,前盂唇往往保持完整,这一现象与经典Bankart损伤机制存在本质差异。
5 、手术技术
手术准备
关节镜骨折手术的术中布局与肩袖修复术相似。患者取沙滩椅位并行全身麻醉,该体位便于处理合并损伤(如锁骨骨折)及必要时转为开放手术。常规实施超声引导下斜角肌间沟臂丛神经阻滞导管置入,用于术中及术后镇痛。围术期预防性使用头孢呋辛1.5克静脉注射。患肢消毒铺单后需保持术中肩关节自由旋转与外展功能。配置C型臂X光机用于术中实时监测骨折复位效果,其机头置于患者头端,通过90°旋转可分别获得前后位(图6a)与腋位(图59.2b)投照视角。标准关节镜系统包括光源、流体泵、电凝装置及刨削主机。

图6 仰卧位患者C型臂投照示意图(a) 前后位投照;(b) 腋位投照,通过C型臂90°旋转实现
器械选择与肩袖修复术一致。采用缝线抓钳及套索穿刺器完成肌腱/骨块穿刺与复位。对于伴小骨壳的骨性撕脱骨折,应用缝线桥接技术(经骨等效修复技术)固定骨块:内侧排使用带线锚钉,外侧排采用免打结锚钉;亦可选择加速桥接技术(speed-bridge)。若大结节骨块完整致密,则优先选用螺钉固定——在关节镜监控复位后,经皮植入3.5~4.0mm中空螺钉,建议加用垫片以增强骨折线侧方加压并防止螺钉头陷入大结节外侧骨皮质。通常两枚螺钉即可实现稳定固定(图7)。

图7 大结节移位骨折合并肩袖后上部骨性撕脱术中影像(a) 移位的大结节骨折;(b) 关节镜见肩袖后上部骨性撕脱;(c) 术后X线示解剖复位及两枚中空螺钉位置
手术步骤
需明确,以下建议为关节镜处理移位结节骨折的通用指导原则,具体病例可能需调整术式甚至中转开放手术。
手术始于标准后方入路的诊断性探查。需系统检查并记录关节内结构(二头肌锚点、滑车系统、盂唇、盂肱软骨、韧带及肩袖),探钩评估组织完整性。通常因肩袖骨性撕脱导致足印区骨缺损显露松质骨。随后将关节镜转入肩峰下间隙并建立外侧入路,使用刨刀或电凝设备彻底清除肩峰下-三角肌下滑囊。将镜头切换至外侧入路直视骨缺损,以刨刀清理血凝块使骨块精确复位。
内侧排锚钉植入前,需用抓钳评估撕裂形态:牵拉骨块可明确肩袖回缩方向。因骨性解剖改变,常需接受非完美复位的妥协。根据缺损宽度选择1-2枚内侧排锚钉(推荐双线5.5mm PEEK螺旋锚钉,Arthrex),置入肱骨头软骨缘内侧骨折线处。经后方入路引入90度直型套索穿刺器,于腱-骨界面(滑囊侧至关节侧)穿透肩袖组织,探及肌腱与骨块移行区。缝线间距需保持8-9mm,打结后将缝线交叉固定至大结节外侧壁(骨折线远端)。术中需彻底清除该区域软组织(骨膜/滑囊)以实现清晰暴露。
外侧排采用1-2枚免打结4.75/5.5mm PEEK旋锁锚钉(Arthrex)。旋紧前需C型臂确认解剖复位,过度牵拉缝线可能导致骨块过度复位(通常无严重后果)。最后于旋锁锚钉表面剪断缝线(图8)。

图8 大结节移位骨折的影像学与术中技术图示
常规腋位X线片(图a)及CT扫描(图b)显示肱骨大结节(GT)移位性骨折。术中可见冈上肌肌腱(SSP)及冈下肌肌腱骨性撕脱(图c)。采用双排经骨等效缝合桥技术固定骨折块:内侧排使用2枚缝合锚钉,外侧排应用2枚无结锚钉(图d)。术后X线显示腋位(图e)及前后位(图f)骨折解剖复位。
显然,伴随的病理改变应同时处理。这些可能包括SLAP损伤、滑轮系统损伤、盂肱软骨病变或肩峰下撞击征。在初次肩关节脱位的情况下,盂唇通常是完整的。
并发症
继发性骨块移位虽罕见,但可能导致肩袖功能不全或继发性肩峰下撞击征。初次固定不充分(如不当的打结操作或缝线失效)可能在早期导致骨块复位丢失。因此必须进行定期随访评估,包括双平面X线成像检查以避免漏诊这种严重并发症。建议在术后2周和4周进行影像学评估。超声检查可作为替代方案,在经验丰富的操作者手中,这是一种可行、快速且经济的影像工具,能充分评估骨块位置。对于大结节骨折,可接受3-5mm的移位。若移位超过此范围,建议早期进行解剖复位翻修手术。
在处理向外侧延伸较远的骨折时,需特别注意外侧排锚钉的置入。由于视野受限以及三角肌下滑囊和骨膜组织的增生,锚钉可能被置入骨折线内。这可能导致初期植入物稳定性降低,并引发锚钉脱出等早期植入失败。为预防此并发症,强烈建议彻底清理三角肌下滑囊并充分显露下缘骨折线(图9)。

图9 术中照片显示大结节下缘骨折线。通过清晰显露大结节外侧面向下延伸的骨折线,可确保无结锚钉在缝线桥接结构中的安全置入。
大结节骨折后或术后一种相当常见的并发症是肩关节僵硬。作为一种继发性冻结肩的类型,其发生率通常高于肩袖修复术后,可能由于初始创伤更为严重。盂肱关节囊层面的过度炎性滑膜反应会导致滑膜层及韧带结构(盂肱中韧带和盂肱下韧带)增厚,从而引发关节纤维化粘连。根据定义,被动屈曲和外展角度不超过90°,外旋角度小于20°。通常伴有夜间疼痛和关节活动终末痛。早期关节内皮质类固醇注射是阻止粘连性关节囊炎进展并快速缓解疼痛的有效手段。若发生僵硬,康复周期会延长,但最终功能结局通常与未僵硬者相同。对于持续性关节活动受限且物理治疗无改善的病例,可考虑进行关节镜下关节松解术,包括270°范围的关节囊松解及滑膜切除术。
腋神经损伤在原发性肩关节脱位中偶有发生。肩关节脱位、腋神经损伤合并大结节骨折的组合被称为“可怕三联征损伤”。此类神经损伤的自发恢复预后良好,超过90%的病例可完全恢复。其病理基础通常是神经失用,经过数周至数月即可完全康复。典型早期表现为肩关节正位X线片显示肱骨头下脱位,对应肩关节屈曲和外展力量减弱。三角肌区域(腋神经感觉支支配区)的感觉减退并不一定存在。必须通过三角肌的神经学评估及肌电图随访,以排除神经完全性严重损伤的可能,并监测其随时间自发恢复的进程。
6、总结
关节镜下治疗大结节骨折可提供可靠的功能性疗效。基于关节镜下肩袖修复的手术原则,肌腱骨性撕脱通常采用缝合锚钉固定(多遵循双排锚钉布局)。对于大结节的实性骨折,关节镜下螺钉固定同样可行。尽管技术要求较高,但手术结果令人满意,总体并发症发生率较低。为确保稳定的功能恢复并避免术后最令人担忧的并发症——继发性骨块移位,需严格遵循适宜的术后康复方案。
-END-
声明:本文为原创内容,作者Perry,版权归原作者所有,仅用于学习交流,未经授权禁止转载。



