什么是透明冠?乳前牙透明冠是一种用于修复儿童乳前牙的赛璐珞外壳,与天然乳前牙外形相似。
但其技术敏感性高,以下将详细介绍其相关知识及操作方法。
与常规的树脂充填相比
1、修复后的牙齿与天然乳前牙外形接近,可快速恢复患牙美观及咀嚼、发音功能;
2、透明冠的内表面高度光洁,术后修复体不易沉着色素;
3、透明冠是一种全牙冠覆盖的修复体,固位面积大,脱落率较低,且不易产生继发龋坏;
4、操作相对简便,可缩短临床治疗时间,适合在儿童口腔科开展。
但是,透明冠的佩戴有一定的技术敏感性,对患儿的配合度要求较高,如果在操作过程中患儿不能配合,或者术前牙齿缺损过大,都容易导致材料脱落甚至掉至消化道、呼吸道,引发不良后果。
适应症及禁忌症
适应症
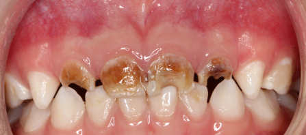
大面积的乳前牙邻面龋坏;
乳前牙伴有大面积牙体缺损的牙髓治疗后;
由于外伤或者龋损造成的大面积牙体缺损的乳前牙;
乳前牙的先天畸形或异常,如釉质发育不全;
乳前牙变色;
乳前牙劈裂。
禁忌症
根尖病变过大需拔除的患牙;
过度松动的患牙;
牙齿部分萌出;
对美观无要求。

相对禁忌症
以下情况要仔细评估,慎用乳前牙透明冠:
剩余临床冠高度过低/残根(如做树脂核或短纤维桩修复,注意长度不能超过牙槽嵴顶);
深覆合;
反合;
过度拥挤;
磨牙症;
患儿不配合。
操作过程及技术要点
术前准备
口内检查、影像学检查(根尖片)、必要时局部麻醉、放置橡皮障。
选冠
冠切缘近远中径=乳前牙切缘的近远中径,如牙体缺损过大,可参照对侧同名牙。选冠常用的方法有直接比对法和测量选取法。
(比对法选冠)
(不同大小的透明冠)
牙体预备
去除龋坏组织,接触点位置均匀磨除0.5-1mm,切端预备1mm,牙齿聚合度为0度,形成刀刃状肩台,点线角圆钝。
注意事项
1.评估牙体剩余量,是否有天然间隙,除切端外,可以少预备,但要保证树脂足够厚度,以最终树脂厚度为导向的牙体预备,兼顾咬合;
2.所有邻面接触都要去除,边缘均在龈下;
3.尽量保存乳牙釉质;
4.若冠有间隙,保证唇侧颈缘紧密贴合。
冠准备
修剪冠:根据邻牙高度和咬合关系确定冠高度,用剪刀修剪透明冠的边缘至高度合适,近远中剪出牙颈部凹形;
(修剪后的预成冠,近远中邻面牙颈部呈凹形)
树脂排溢孔:用探针在透明冠的近中或远中切角刺破牙冠,做出树脂排溢孔(也可不做排溢孔,在戴冠过程中多余树脂会从牙颈部溢出);
(用探针在舌侧切角做树脂排溢孔)
试戴冠:无明显阻力、牙冠边缘位于龈下(注意多个冠需要同时戴入,以观察是否协调);
填塞树脂:选用颜色适合的树脂填入透明冠内,使树脂充满牙冠的2/3左右,注意避免气泡(先填切角,再填切缘和体部,分层严密填充,放在避光处待用)
(填塞树脂后的树脂冠,注意避光待用)
戴冠
酸蚀牙体组织(建议使用全酸蚀粘接系统处理牙面)、涂布粘结剂、光照;
将冠戴入基牙,确认冠边缘位于龈下,牙冠位置端正,注意避免压力过大使牙冠变形;
(戴冠后多余树脂从龈缘溢出)
在颊舌侧光照1秒之后,去除多余树脂;充分光照固化;去除透明冠(探针/挖匙);抛光修复体。
(从冠边缘去除透明冠)
注意事项:尽量恢复术前咬合。
术后医嘱及复查
术后医嘱
术后异物感及轻微不适属于正常反应;注意口腔卫生及清洁,可使用牙线;避免用前牙咬过硬食物,如有脱落及时复诊;定期检查。
术后复查
术后1个月复查修复体及牙龈状况;每半年复查一次,必要时拍根尖片观察牙根状态。
-END-
声明:本文转载自<口腔视频>,仅用于学习交流,如有侵权,请立即联系我们处理。内容仅代表作者个人观点,望大家理性判断及应用。









