肺动脉高压(pulmonary hypertension,PH)是一个血流动力学和病理生理学概念,诊断标准为静息状态下经右心导管测量的肺动脉平均压≥20mmHg(1mmHg=0.133kPa)。PH需与动脉型肺动脉高压(pulmonary arterial hypertension,PAH)鉴别,后者以毛细血管前肺动脉压力增高为表现,不存在可导致毛细血管前压力增加的原因如肺部疾患、慢性血栓栓塞等。
病理及病理分型
PH是以肺血管阻力增加为特征的一组临床病理生理疾患。PH主要累及肺动脉和右心,表现为右心室肥厚,右心房扩大。肺动脉主干扩张,周围肺小动脉稀疏。肺小动脉内皮细胞、平滑肌细胞增生肥大,血管内膜纤维化增厚,中膜肥厚,管腔狭窄、闭塞,扭曲变形,呈丛状改变。肺小静脉也可以出现内膜纤维增生和管腔阻塞。
1动脉型肺动脉高压(PAH) |
1-1 特发性PH |
1-2可遗传性PH |
1- 3 药物和毒物所致的PH |
1- 4 相关性PH(APAH) 1-4-1 结缔组织病 1-4-2 HIV感染 1-4-3 门脉高压症 1-4-4 先天性心脏病 1-4-5 血吸虫病 1-4-6 慢性溶血性贫血 |
1- 5 新生儿持续性PH |
1- 6肺静脉闭塞病和(或)肺毛细血管瘤病 |
2 左心疾病所致的PH 2-1 左心室收缩功能不全 2-2左心室舒张功能不全 |
2-3 心脏瓣膜病 |
3 肺部疾病和(或)低氧所致的PH 3- 1 慢性阻塞性肺疾病 3- 2 间质性肺疾病 3-3 其他伴有限制性或阻塞性或混合性通气障碍的肺部疾病 3- 4 睡眠呼吸暂停 3- 5 肺泡通气不足 3- 6 慢性高原缺氧 3- 7 发育异常 |
4 慢性血栓栓塞性PH |
5 原因不明和(或)多种机制所致的PH 5-1 血液系统疾病:骨髓增生性疾病,脾切除术 5-2 系统性疾病:结节病,肺朗格汉斯细胞增多症,淋巴管肌瘤病,血管炎 5-3 代谢性疾病: 糖原储积症,高雪氏病,甲状腺疾病 5-4 其他: 肿瘤样阻塞,纤维纵隔炎,进行透析的慢性肾衰竭 |
病因分类
超声心动图主要用于筛查心血管疾病所致PH,即各种左心疾病和左向右分流型先天性心脏病,还包括肺动脉栓塞患者。
先天性体-肺分流性PH涉及的疾病广泛,超声表现多变,容易漏诊。在发现PH的间接征象后,检查者应结合病史,综合运用超声检查方式,对患者全方位筛查,以防漏误诊。
表-2列举了PH患者超声观察内容及重点。2025年,美国超声心动图学会发布的成人右心及PH超声心动图评估指南中,根据其血流动力学特征,将其分为4个分类。
表-2 PH血流动力学分类
评估肺动脉压力水平
多普勒超声估测肺动脉压力水平与右心导管有较好的相关性。根据三尖瓣和肺动脉瓣反流频谱,利用简化的伯努利方程可计算出肺动脉收缩压、舒张压和平均压,结合二尖瓣前向血流频谱,还可以计算肺毛细血管楔压(pulmonary capillary wedge pressure,PCWP)。
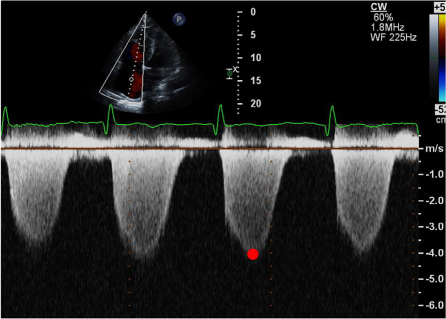
1. 三尖瓣反流计算法
对合并有三尖瓣反流的患者,采用连续波多普勒测量三尖瓣最大反流速度,依据简化的伯努利方程计算跨瓣压差(△PTR)。为避免测值被高估,应该确保收缩期峰值流速测量来自频谱多普勒的浓密部分。为确保准确性并考虑呼吸影响,应从速度最高且多普勒包络最清晰的窗口取至少3 个连续心动周期的平均值计算。
△PTR=4Vmax2
在没有右心室流出道梗阻或肺动脉瓣狭窄时,收缩期右心室内压力(SRVP)与肺动脉收缩压(SPAP)近似相等。SRVP可通过三尖瓣口跨瓣压差与右心房内压力(RAP)间接获得,故SPAP也可以通过三尖瓣口跨瓣压差进行评估。
SPAP=4Vmax2+ RAP
根据三尖瓣反流计算肺动脉收缩压(图A),三尖瓣反流速度越高,肺动脉收缩压越高(图B)
RAP代表右心房压力。右心房大小正常,轻度三尖瓣反流时,RAP约5mmHg;右心房轻度增大,中度三尖瓣反流时,RAP约10mmHg;右心房明显增大,重度三尖瓣反流,RAP约15mmHg。RAP还可以通过下腔静脉内径及其随呼吸变化率进行评估。
2. 室水平分流计算法
室间隔缺损时,左向右分流的峰值速度可通过伯努利方程换算成左右心室之间的压差(△PVSD)。
△PVSD=SLVP-SRVP
在没有左右心室流出道梗阻时,收缩期左、右心室内内压力与主动脉、肺动脉内压力大致相等。故肺动脉收缩压(SPAP)可通过肱动脉收缩压(SBP)与室间隔缺损分流压差(△PVSD)获得(图11-39)。
SPAP= SBP-△PVSD
动脉导管未闭患者肺动脉收缩压评估方法与室间隔缺损相似,系通过肱动脉收缩压与动脉导管处最大分流压差而评估。
3. 肺动脉瓣反流计算法
通过舒张期肺动脉瓣反流速度可以间接评估肺动脉舒张期压力(DPAP)。DPAP与右心室舒张期压力(DRVP)阶差为4VPR2,在无三尖瓣狭窄时,DRVP与右心房压力(RAP)相等。故DPAP可通过RAP及4VPR2获得。
DPAP=RAP+4VPR2
超声心动图评估PH严重程度的可靠性有赖超声束与被探查血流束平行与否,若二者之间成角较大,则有可能低估肺动脉压力。
右心室收缩功能受损明显的患者,三尖瓣反流速度低,此时不能完全排除PH的存在。PH血流动力学评估汇总见表-3。
表-3 PH血流动力学评估
引导肺动脉导管放置
肺动脉导管是危重症和围手术期临床环境中血流动力学评估和监测的主要手段。在没有
床旁超声能够以快捷的方式为危重症患者肺动脉导管植入提供实时引导,尤其适用于气管内插管患者。
这种方法既可以作为导管置入的主要策略,也可以在常规置入失败时使用。操作流程如下见表-4。操作过程中可以早期发现导管位置不当和心脏结构穿孔等并发症。
此外,在植入肺动脉导管之前,可以识别三尖瓣反流或肺动脉瓣反流,充分评估瓣膜功能。与使用经食管超声心动图相比,这种方法只需床旁超声设备即可随时进行。
表-4 超声引导肺动脉导管放置流程
-END-
声明:本文转载于<孔较瘦>,以上仅代表作者本人观点,仅用于学习交流,版权归原作所有。









