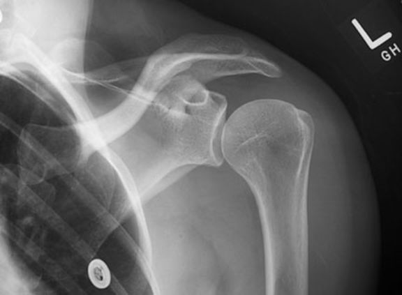
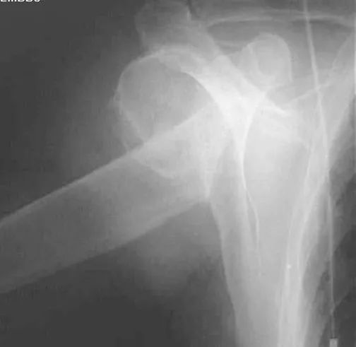
正常肩关节
锁骨骨折
常发生在中段。多为横断或斜行骨折,内侧断端受胸锁乳突肌的牵拉常向上后移位,外侧端受上肢的重力作用向内、下移位,形成凸面向上的成角、错位缩短畸形。
肩胛骨骨折
分型–肩胛骨体部骨折
常见–肩胛颈部骨折–肩胛盂骨折–喙突骨折–肩峰骨折,移位多不明显。
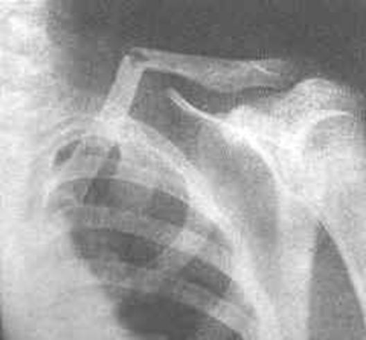
肩锁关节脱位
肱骨外科颈骨折
内收或外展型损伤–最常见–骨折线为横行,伸展型损伤–间接外力引起–骨折线横行,向前成角,屈曲型损伤:较少见。
肱骨干骨折
直接暴力–横断骨折或粉碎骨折,间接暴力–斜形、螺旋形或蝶形骨折,肱骨上段的骨折–近折端向前内侧错位–远折端向上、外错位,肱骨中段骨折–近折端向外、前方移位–远折端向上移位–骨折端重叠错位。
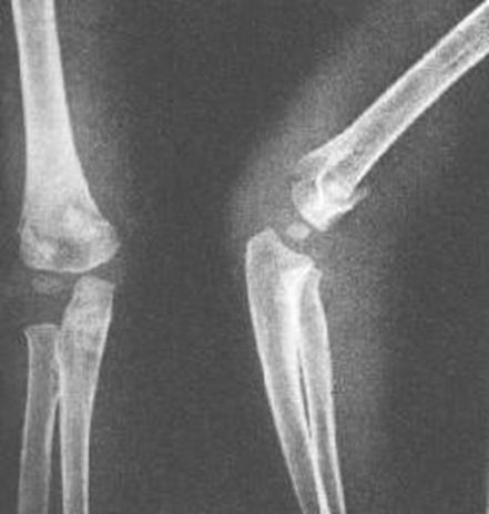
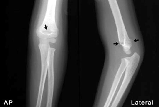
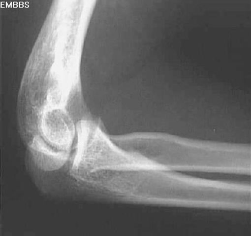
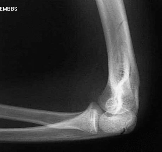
肱骨髁上骨折
肱骨髁间骨折
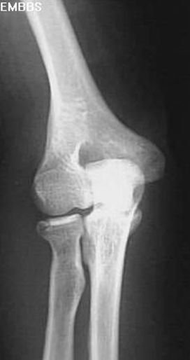
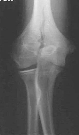
桡骨头骨折
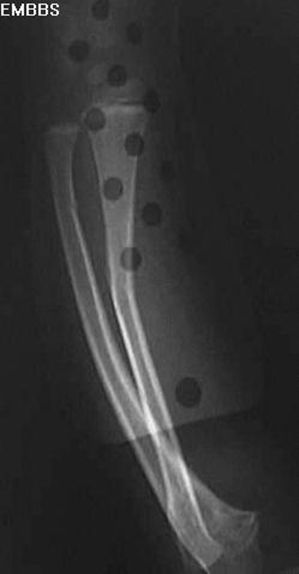
前臂双骨折
前臂青枝骨折
孟氏骨折
尺骨骨折
桡骨头脱位
盖氏骨折
桡骨骨折
远侧尺桡关节分离
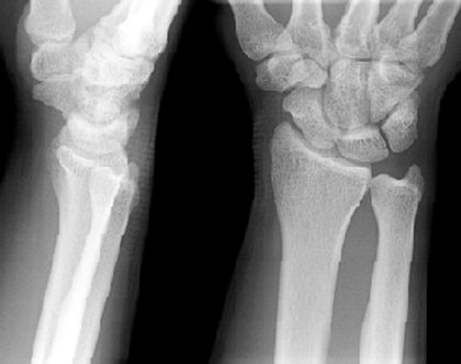
Colles骨折
桡骨远端骨折
骨折向掌侧成角
远折端向背侧移位
Smith骨折
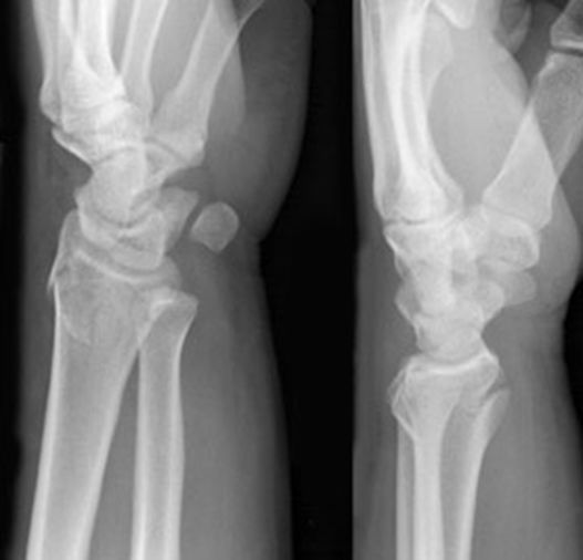
正常腕关节
月骨周围脱位
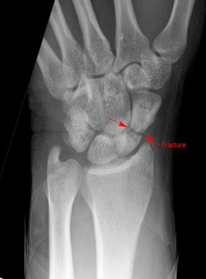
舟骨骨折
最常见的腕骨骨折
易漏诊
易发生缺血性坏死
儿童少见
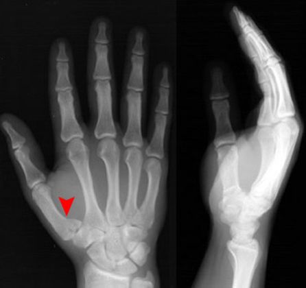
拳击手骨折
握拳撞击
通常发生在第五掌骨
Bennett Fracture
第一掌骨基底部
关节内骨折伴脱位–背侧半脱位
轴向压力
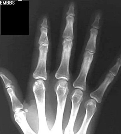
指骨骨折
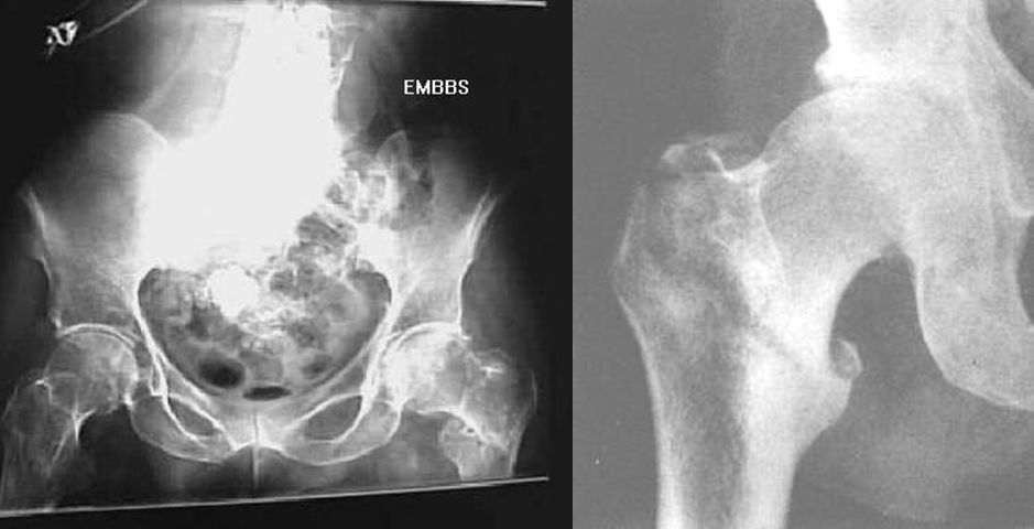
股骨颈骨折
股骨粗隆间骨折
股骨干骨折
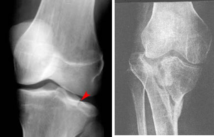
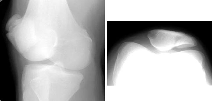
髌骨骨折
髌骨脱位
胫骨平台骨折
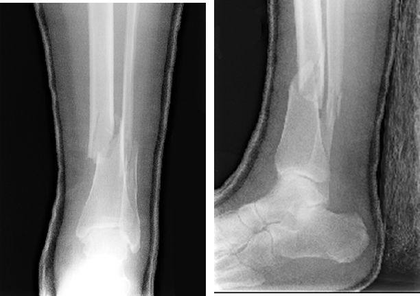
胫腓骨骨折
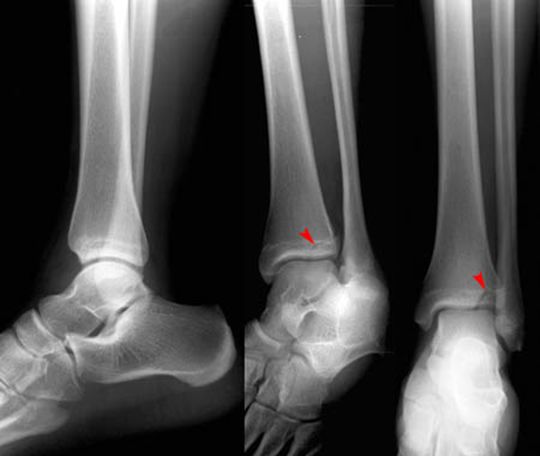
Maisonneuve Fracture
腓骨中段骨折
下胫腓分离
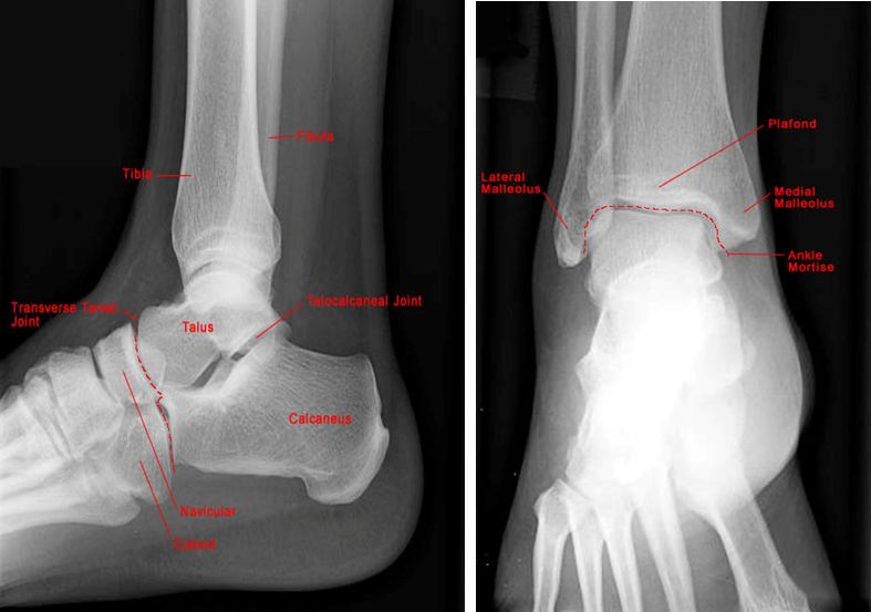
正常踝关节
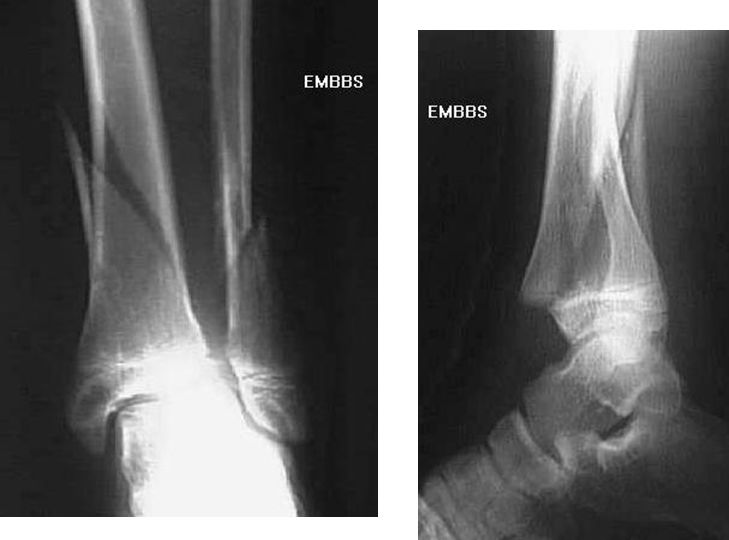
踝关节骨折
三踝骨折
踝关节脱位
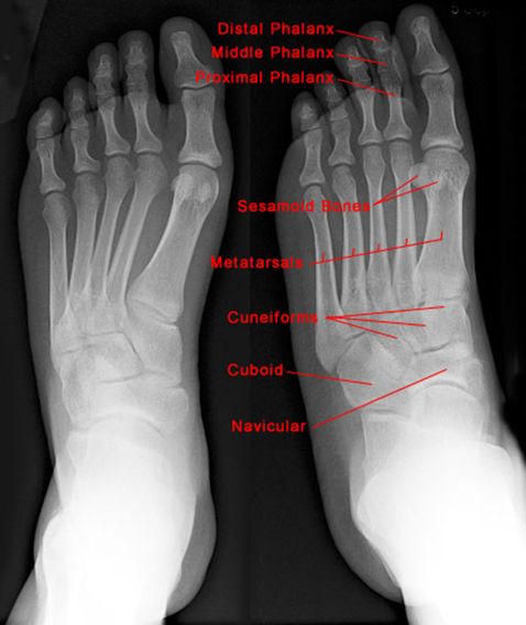
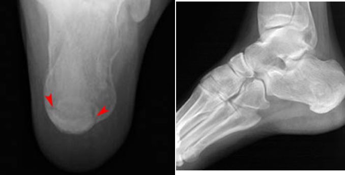
正常足侧位片
正常足正位片
跟骨骨折
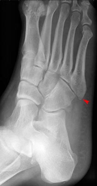
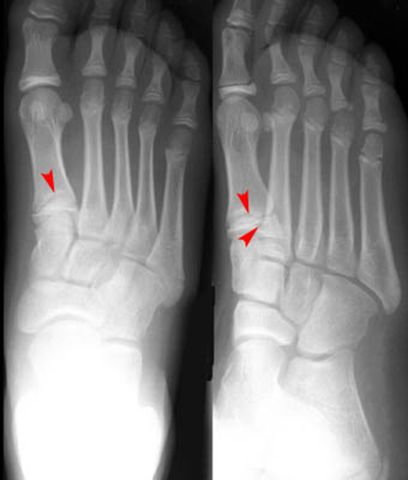
Jones Fracture
第五跖骨基底部骨折
易漏诊
不制动易致骨不连
跖骨骨折
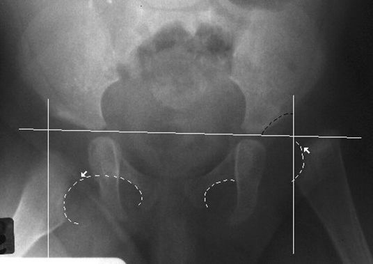
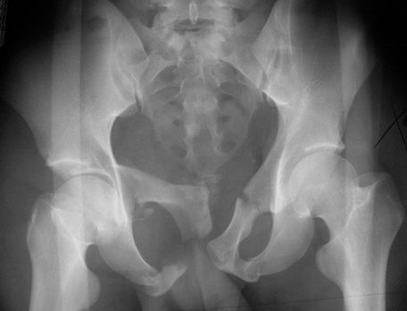
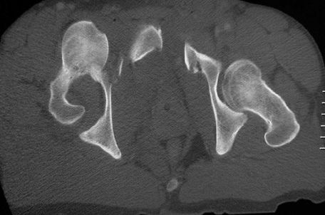
正常骨盆正位片
髋关节后脱位
髋关节前脱位
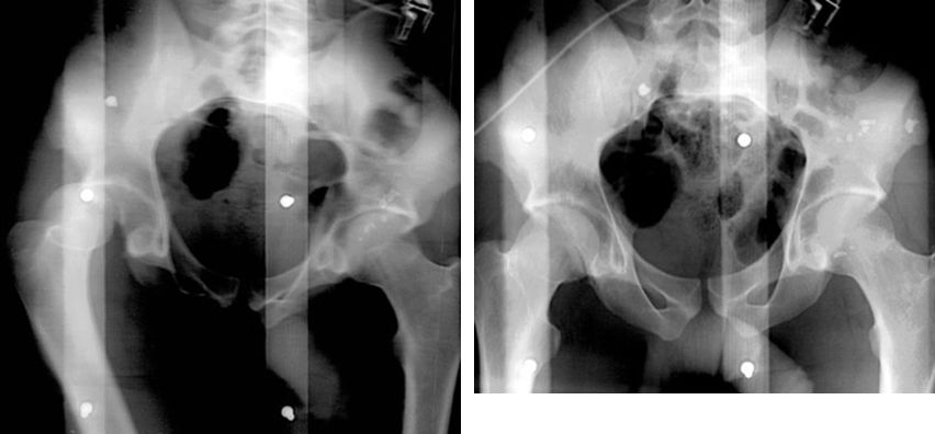
先天性髋脱位
常见髋关节测定线
骨盆骨折
正常胸椎
胸椎压缩性骨折
正常腰椎
L5腰椎骨折
-END-
声明:本文转载<王全贵大夫>,版权归原作者所有,仅用于学习交流,如有侵权请联系删除




