导读
在X线上看到上颌磨牙牙根突入上颌窦内时,可能是由于拔牙造成了上颌窦穿孔,这种穿孔是由根尖和上颌窦的解剖位置关系决定的,常常无法避免,因此不能一定将其称为并发症或医疗问题,但如果是预计会发生穿孔的话,需要在术前与患者说明穿孔的可能性以及穿孔时的应对方法。另外,穿孔时必须采取适当的应对处置。本文分享了上颌窦穿孔的应对策略,供各位口腔医师参考~
拔牙导致上颌窦穿孔的原因
上颌窦底低,会有在X线片上看到上颌磨牙牙根突入上颌窦内的情况图1。实际上这不是牙根突出在上颌窦内,而是有一层像纸一样薄的骨存在在牙根周围,但拔牙的时候可能会连这一层薄骨和牙根一起拔除,这就会造成穿孔。
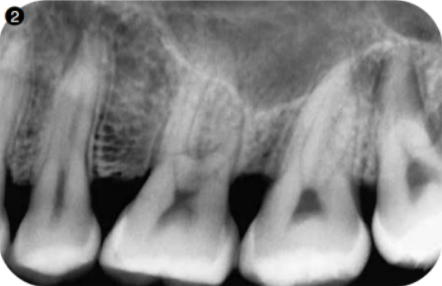
在牙片上确认有无牙周膜间隙及骨白线图2。即使看上去像是根尖突出在上颌窦内,但如果可以看到这些结构的话,根尖部就有菲薄的骨,因此只要不向根尖方向施加过大的压力,轻柔拔牙的话,并不一定会穿孔。
图1 向上颌窦内突出的牙根。拔牙的话,穿孔的可能性较高
图2 可以看到26的腭侧根从上颌实底向窦内突出。这种牙在变成残根后,在拔牙时要注意避免穿孔
易发生穿孔的牙位
根据口腔解剖学,容易穿孔的顺序依次是第一磨牙的腭侧根、第二磨牙的腭侧根、第二前磨牙(表1)。
表1 上颌磨牙的牙根尖与上颌实底的距离,及窦内牙根露出频率
上颌窦穿孔的应对及确认
穿孔能否自然闭合,还是需要进行手术关闭,要根据穿孔直径大小、牙龈厚度,以及是否存在上颌窦炎等来进行判断。
如何确认穿孔?让患者闭口鼓气,有意识让空气不要从鼻腔内漏出,通过观察脸颊是否能鼓起来,来判断穿孔的有无。如果有穿孔,空气会自然从鼻腔漏出,脸颊就鼓不起来。
另外,含漱或喝水时有水漏到鼻腔的话也能判断出存在穿孔。即使目测看上去没有穿孔,通过测试空气是否漏出,有时也可以检查出小的穿孔。但即使有穿孔,在上颌窦膜肥厚的情况下,或上颌窦开口封闭的情况下,空气也不会从鼻腔漏出,因此要在CBCT上对上颌窦膜的情况做出评估。
出现穿孔后的处置方法
根据穿孔直径的大小和上颌窦炎的有无采取不同的应对措施。穿孔后,在确认穿孔闭合之前提醒患者不要用力擤鼻涕,不要吸烟,不要用吸管,注意不要对上颌窦底部施加过大压力。另外,有可能发生口腔上颌窦瘘和上颌窦炎等后续病症,需要注意观察。
穿孔直径较小的情况
只是穿孔没有上颌窦炎的话(图3),单颗牙根(不是单颗牙)大小的直径(5 mm左右)的话,2~3周就会自然闭合。图4病例展示的情况,为了容易自然闭合,可以在拔牙窝内填入胶原塞,为防止其脱落,可以将牙龈缝合。也有观点建议填入Spongel,但Spongel对创伤愈合及肉芽组织形成并没有作用,因此并不建议使用。
为防止拔牙窝内血块脱落,提醒患者不要过度含漱或用力擤鼻涕。为避免对拔牙窝的刺激,可以制作戴用保护板。
图3 26仅近中颊侧根的穿孔。牙根掉入上颌窦内,没有上颌窦炎的话,可能会自然封闭
图4 a为拔牙前的牙片;b为腭侧根穿孔;c为填入胶原塞(缝合前);d为制作保护板
穿孔直径大的情况
在穿孔直径大的情况下(有牙冠大小),无法获得自然闭合(图5),所以要马上转诊到专科医生处做修补手术。
图5 16牙冠大小的穿孔。可以看到窦内有掉入的牙齿。由于穿孔直径很大,取出掉入的牙根后,必须做修补手术
穿孔没有自然闭合时
观察数周后穿孔也不闭合的时候,基本有两个原因:① 穿孔直径太大;②上颌窦有炎症。直径过大时,要进行口腔上颌窦接修补术(图6)。怀疑有上颌窦炎时,拍CBCT观察上颌窦膜的情况,有上颌窦炎的情况一边给予抗生素和消炎药,一边用生理盐水冲洗窦内。
图6 a为口腔上颌窦瘘口;b为用保护板隔断对窦内的刺激
来源:《拔牙技巧进阶版》
-END-
声明:本文转载自<口腔学术在线>,仅用于学习交流,如有侵权,请立即联系我们处理。内容仅代表作者个人观点,望大家理性判断及应用。









