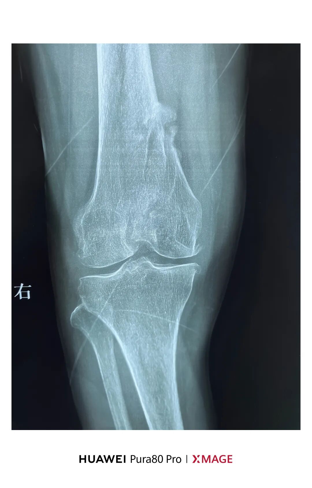
5个月前在魔都骨折,当时建议手术
患者拒绝并签字
给予支具固定
现畸形、疼痛伴活动受限来院
复位满意,力线纠正
AO干货分享:
看胫骨平台是否平整的透视体位
-END-
声明:本文转载自<骨外狂徒张三>,版权归原作者所有,仅用于学习交流,如有侵权请联系删除
2025
作者
骨外狂徒张三
5个月前在魔都骨折,当时建议手术
患者拒绝并签字
给予支具固定
现畸形、疼痛伴活动受限来院
复位满意,力线纠正
AO干货分享:
看胫骨平台是否平整的透视体位
-END-
声明:本文转载自<骨外狂徒张三>,版权归原作者所有,仅用于学习交流,如有侵权请联系删除