两个6粘带环或颊面管,4个前牙粘托槽就是2X4,两个6粘带环或颊面管,6个前牙粘托槽就是2X6,是用于替牙列期的固定矫治方法。
可以这样理解:部分恒牙粘托槽的固定矫治就可以叫做2X4技术。
主要是为了排齐4颗前牙或6颗前牙,或纠正个别牙反𬌗。
患者不存在颌骨发育问题,不存在不良习惯,不存在牙弓宽度问题。仅是前牙不齐的问题,或个别牙反𬌗,或前牙牙性反𬌗。
比如患者下切牙有间隙(小事),后牙反𬌗(大事),上颌牙弓要先扩宽。如果还有下颌后缩,那么首要任务就是解决颌骨问题。扩弓要往后放。
治疗时机对医生来说很重要,替牙期要把颌骨问题处理好。至于牙齐不齐,那都是细枝末节的小事,将来牙齿换完一排齐就很简单。
必不可少的就是头影测量,看SNA,SNB,ANB,如果上下颌骨及ANB角都在正常范围内,那么骨头就没问题。再看牙却是反𬌗,就可以判定为牙性反𬌗。牙性反𬌗就不用去干预骨头,只要把牙的反𬌗给矫正过来就行了。
治疗牙性反𬌗的方法很多,比如双曲舌簧,直接把门牙推出去唇倾,反𬌗就解除了,方法简单好用效果明显。比MRC,ETA,罗慕等硅胶类矫治器解除反𬌗效果要好得多。
很多大咖们展示的早期矫正的反𬌗,很快就解除了,把门牙给推出来,牙做的还挺齐,90%以上用的都是双曲舌簧。门牙推出来后,如果觉得还不齐,2X4排齐效果就很好。
MRC是很方便,反𬌗也能很快解除,但是有个问题就是,必须依赖患者高度配合,他戴的好,才会有好的效果,否则小孩不配合,时不时吐出来了或咬破了,丢掉了,可能做一年两年也做不完,这就是区别。
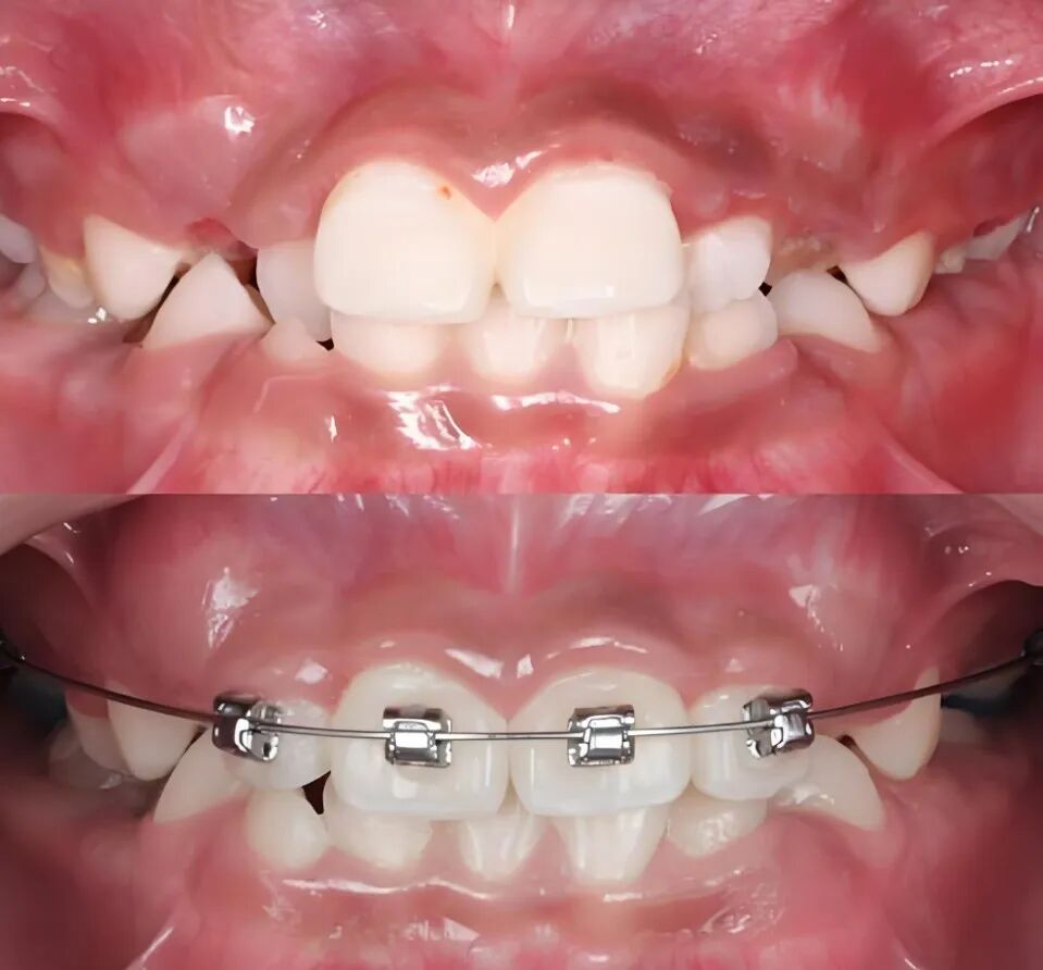
病例不用双曲舌簧,也不用MRC,就用2X4,上一根细丝,没有上到6里边,只是2~2这么一段丝上进去,标准方法应该插6整个一根丝。
但是通过经验总结,在细丝的时候,不插两个6更好,当丝细的时候插到两个颊面管里,从2的远中到6的颊面管这段弓丝的行程非常长,且弓丝很细很软,吃东西的时候压到弓丝,会出现这根丝总是往外跑,末端回弯是可以,但丝在很细的时候还是会往外跑。
当丝换到18圆的时候,前面几颗牙基本排齐了,这时换一根方丝,如1622,或1825,当丝比较粗的时候,再插到两个6颊面管里,丝只要够粗基本上就不会跑了。
前牙有缝隙可以2~2上皮链,如果到最后两个1之间的缝,皮链怎么拉都关不上,那肯定是唇系带的问题,或者是两个1之间的韧带太强了,可以来一刀,把韧带切断,再关2~2的缝就很好关了。
如果2~2四颗牙全是反𬌗,直接用一段丝排2~2,反𬌗是不能解除的。
可以先上双曲舌簧,把四颗牙推出来,然后再上2X4,再排齐就好了。
利用弓丝和Ω曲,两颗6颊面管,前面4颗牙粘托槽,上一根整丝,在6的颊面管近中弯一个Ω曲,(开大曲),利用弓丝弯曲的力量,把前面4颗牙弹出去,也能解除4颗前牙的反𬌗。
持续关注牙齿的移动对未萌出牙的影响并不容易,因为不断的拍片也很麻烦,最好能3个月拍一次片,需要特殊关注的是,当移动侧切牙时,未萌出的尖牙是否会受影响,尽量不要让侧切牙的牙根挡住尖牙的萌出轨道,否则侧切牙的牙根会严重吸收,有时也是无法控制的。
持续关注就会给患者一个很负责的印象,发现有牙根被压住或吸收了,就要及时告知患者。
2X4和2X6技术有的牙齿是没粘托槽的,在局部关闭间隙时,没粘托槽的牙齿会移位甚至被挤出牙列,全牙列的固定矫治不会出现这种情况,但替牙列的治疗中常会遇到这样的问题。
不过没关系,等所有恒牙都长齐了,继续做二期的固定矫治。
替牙期的2X4,2X6矫治是不用颌间牵引的,但有一种情况例外,对于替牙期单侧反𬌗可以采取交互牵引治疗。例如6是锁颌,可以做交互牵。
一般在2X4的时候,不会做二类或三类牵引,因为大部分的孩子在替牙期的时候都是偏深覆颌的,做二类牵引或三类牵引都会加重深覆颌,而深覆颌不是我们想要的结果,覆颌一旦加深,想要打开难度就会变大。
开颌或覆颌非常浅的孩子,做二类牵引或三类牵引还是可以的,具体看病例。
如果仅做单颌治疗,牙齿位置的暂时不理想都是可以接受的,因为后期还要进行综合矫治。(建议最好是全口都做)。
声明:本文转载于<KQ88口腔医学网,仅用于学习交流,如有违规侵权,请立即联系我们。内容仅代表作者个人观点,望大家理性判断及应用。









