冠状动脉痉挛(血管痉挛性心绞痛,Vsa)是冠状动脉疾病的重要发病机制,可引发缺血性心肌病及心力衰竭(HF),但既往报道多聚焦于射血分数降低型心衰(HFREF)。本文报告1例46岁肥胖男性患者,因多支冠状动脉弥漫性/局灶性痉挛诱发射血分数保留型急性心力衰竭(HFpEF),经冠状动脉痉挛激发试验(Spt)确诊,钙通道阻滞剂(Ccb)治疗后预后良好。本病例提示冠状动脉痉挛可能是 HFpEF的潜在病因,需纳入HFpEF的鉴别诊断体系。
病例报告
临床资料
患者男性,46 岁,因“静息性胸痛1小时,伴咳嗽、呼吸困难1小时”由救护车送入我院。胸痛始于当日上午8:00,呈持续性,无明确诱因。既往史:6个月前曾发作短暂胸痛(10 分钟)未重视,1 个月前类似胸痛伴冷汗(持续1小时),未就医。个人史:偶尔饮酒,无吸烟史;无高血压、糖尿病、冠心病家族史。
体格检查
身高177cm,体重104kg,BMI 33.2kg/m²,意识清楚,急性病容,体温36.1℃,血压112/69mmhg,脉搏109次/分,面罩吸氧(5L/min)下血氧饱和度91%,颈静脉无扩张,无杂音,右肺野可闻及轻微湿性啰音;腹平软,无压痛;双下肢无水肿。
辅助检查
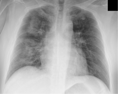
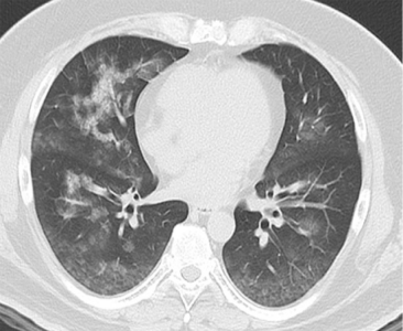
白细胞计数9.830/Mm³(轻度升高);初始高敏肌钙蛋白T(Hs-TnT)0.013ng/ml(正常),4小时后升至0.044ng/ml(未达第99百分位值0.52ng/Ml);初始N末端脑利钠肽前体(Nt-ProBNP)49pg/ml(正常),次日升至 137pg/ml。心电图(ECG):窦性心动过速,无明显St-T改变(图1)。超声心动图(入院时):左心室无扩大,室间隔厚度8mm,左心室后壁厚度9mm,舒张末期直径45mm,收缩末期直径30mm,左心室射血分数(EF)62%,室壁运动正常。胸片及胸部CT:均提示肺淤血(图2、图3)。心肌闪烁显像(入院第5天):201 - 铊显像示左心室中度灌注缺损,123I-Bmipp 显像示左心室前壁、下壁摄取严重减少,提示灌注-代谢不匹配(图4)。超声心动图(入院第5天):EF 56%,E/e' 12.3,中隔 e' 5.2cm/s,三尖瓣反流速度 2.9m/s,左心房容积指数 25ml/m²。
(图1)
(图2)
(图3)
(图4)
(图5)
诊疗经过
急诊处理:静脉注射呋塞米20mg后,呼吸困难、胸痛症状缓解,为进一步诊治入院。
心导管检查(入院第2天):Swan-Ganz 导管:肺楔压平均11mmhg(正常),心脏指数2.40L/Min/m²(正常)。冠状动脉造影:未见明显狭窄,行乙酰胆碱(Ach)激发试验(Spt)结果:50μgach 注射后,左前降支(Lad)重度弥漫性痉挛、左回旋支(Lcx)中度痉挛,伴轻度胸痛右冠状动脉(Rca)远端局灶性痉挛;冠状动脉内注射硝酸甘油(Ntg)0.3mg 后痉挛完全缓解(图5)。微血管功能评估:Lad 冠状动脉血流储备5.2,微循环阻力指数 20.16(均正常)。
治疗及预后:确诊后予钙通道阻滞剂(CCb)治疗,患者症状无复发,于入院第6天出院。随访期间无胸痛、心衰发作,Nt-ProBNP水平未再升高。
讨论
病例核心亮点
本病例的独特性在于证实了多支冠状动脉痉挛可诱发HFpEF。既往文献报道的冠状动脉痉挛相关心衰多为HFpEF[1-5],其机制与反复或持续性冠脉痉挛导致的广泛心肌缺血、心肌纤维化相关;而本例患者心衰发作时及稳定期 LVEF 均保留(62%→56%),且无典型HFpEF的基础疾病(如老年、房颤、糖尿病等),仅存在肥胖这一危险因素,提示冠状动脉痉挛可能是HFpEF的独立病因亚型。
冠状动脉痉挛与心衰的关联机制
冠状动脉痉挛诱发心衰的关键在于缺血范围的广泛性。既往研究显示,痉挛相关心衰患者均存在多支血管或弥漫性痉挛[1-3]:Sakata 等报道9例均为多支痉挛(100%),Sueda等12例中11例(92%),Inami等20例均为弥漫性痉挛(100%)。本例患者前降支重度弥漫性痉挛、回旋支中度痉挛、右冠局灶性痉挛,符合“多支血管受累”特征,广泛心肌缺血导致急性肺淤血及心衰症状,与上述研究结论一致。此外,本例患者胸痛持续1小时,符合血管痉挛性心绞痛发作“诱因不明、持续时间长” 的特点[6,7],长时间缺血可能进一步加重心肌功能暂时性受损,促进心衰发生。
与HFpEF及冠状动脉非阻塞性急性心肌梗死(MINOCA)的鉴别与关联
与经典HFpEF的区别:经典HFpEF多与老年、肥胖、高血压、房颤等相关[8],而本例患者仅存在肥胖,且微血管功能正常(排除冠状动脉微血管功能障碍(Cmd)介导的HFpEF[9-11],提示痉挛相关HFpEF的临床特征可能与经典型不同,需更多病例积累明确其表型。
与MINOCA的鉴别:本例患者Hs-Tnt峰值未达第99百分位值,不符合心肌梗死伴非阻塞性冠状动脉(Minoca)的诊断标准[12],但不能完全排除短暂心肌损伤的可能。目前 Minoca 相关心衰中冠状动脉痉挛的发生率尚不明确[13-15],需多中心登记研究进一步探索。
临床启示
冠状动脉痉挛应被纳入HFpEF的鉴别诊断,尤其是年轻、无典型 HFpEF危险因素但存在静息性胸痛的患者。冠状动脉痉挛激发试验(Spt)是确诊的关键手段,钙通道阻滞剂治疗可有效预防复发。未来需加强对痉挛相关HFpEF的临床特征、发病机制及长期预后的研究,为优化诊疗策略提供依据。
-END-
声明:本文为原创内容,作者<努尔巴哈尔>,以上仅代表作者本人观点,仅用于学习交流,版权归原作者所有。









