上颌骨居颜面中部,左右各一,相互连接形成面中份的支架。上颌骨形态大致可分为一体四突,上颌体分为前、上、后、内四面,其内有上颌窦。四突为额突、颧突、腭突及牙槽突。额突与额骨、泪骨及鼻骨相接,颧突与颧骨相接,腭突在腭中缝左右对接,牙槽突又称牙槽骨,即上、下颌骨支持和包绕牙根的部分。
1.切牙孔( incisor foramen) ; 2.右侧上颌第一磨牙( right maxillary first molar) ; 3.右侧上颌第三磨牙( right maxillary third molar) ; 4.下颌支( mandible ramus) ; 5.上颌尖牙( maxillary canine) ; 6.上颌牙槽骨( maxillary alveolar bone) ; 7.左侧上颌第二磨牙( left maxillary second molar) ; 8.下牙槽神经管( inferior alveolar nerve)
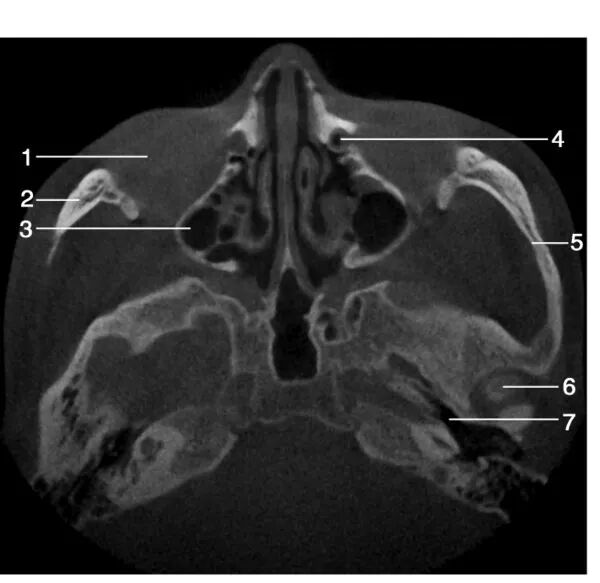
1.鼻中隔( nasal septum) ; 2.右侧中鼻甲( right middle nasal concha) ; 3.上颌窦后壁( posterior wall of maxillary sinus) ; 4.颧颞缝( zygomaticotemporal suture) ; 5.颞骨( temporal bone) ; 6.外耳道( external acoustic meatus) ; 7.上颌窦前壁( anterior wall of maxillary sinus) ; 8.左侧上颌窦( left maxillary sinus) ; 9.犁骨( vomer) ; 10.翼腭窝( pterygopalatina fossa) ; 11.翼突( pterygoid process) ; 12.下颌髁突( mandibular condyle) ; 13.乳突气房( mastoid cells)
1.眼球( eyeball) ; 2.颧骨( zygoma) ; 3.右侧上颌窦腔上部( superior of right maxillary sinus) ; 4.左侧鼻泪管( left nasolacrimal duct) ; 5.颧弓( zygomatic arch) ; 6.左侧髁突顶部( top of left mandibular condyle) ; 7.内耳道( internal acoustic meatus)
1.鼻骨( nasal bone) ; 2.后组筛窦( posterior of ethmoid sinus) ; 3.颞骨鳞部( squama temporalis) ; 4.眼球( eyeball) ; 5.蝶窦( sphenoid sinus)
1.眶外缘( lateral pole of orbit) ; 2.颧骨( zygoma) ; 3.乳突气房( mastoid cells) ; 4.关节结节( articular eminence of temporal bone) ; 5.外耳道( external acoustic meatus) ; 6.髁突( mandibular condyle)
1.眶下裂( inferior orbital fissure) ; 2.眶下神经管( canal for infraorbital nerve) ; 3.上颌窦( maxillary sinus) ; 4.上颌窦前壁(anterior wall of maxillary sinus) ; 5.上颌第一磨牙( maxillary first molar) ; 6.眶底( floor of orbit) ; 7.上颌窦后壁( posterior wall of maxillary sinus) ; 8.翼突( pterygoid process) ; 9.上颌第三磨牙( maxillary third molar) ; 10.上颌第二磨牙( maxillary second molar)
1.鼻泪管( nasolacrimal duct) ; 2.下鼻甲( inferior turbinate) ;3.上颌牙槽骨( maxillary alveolar bone) ; 4.筛窦( ethmoid sinus) ; 5.下鼻甲骨( inferior turbinate bone)
1.额骨( frontal bone) ; 2.鼻额缝( nasofrontal suture) ; 3.鼻骨( nasal bone) ; 4.硬腭( hard palate) ; 5.切牙管( incisive canal) ; 6.蝶窦( sphenoid sinus) ; 7.软腭( soft palate)
1.右侧上颌窦( right maxillary sinus) ; 2.下鼻甲( inferior turbinate) ; 3.腭中缝( median palatine suture) ; 4.上颌第二前磨牙( maxillary second premolar) ; 5.鼻中隔( nasal septum) ; 6.上颌窦内壁( inner wall of maxillary sinus) ; 7.犁骨( vomer) ;8.上颌牙槽骨( maxillary alveolar bone)
1.下管( infraorbital canal) ; 2.颧颌缝(zygomaticomaxillary suture) ; 3.右侧上颌窦( right maxillary sinus) ; 4.颧牙槽嵴( infrazygomatic crest) ; 5.颧骨( zygomatic bone) ; 6.上牙槽后动脉( posterior superior alveolar artery) ; 7.上颌第一磨牙( maxillary first molar)
1.筛骨垂直板( perpendicular plate of ethmoid bone) ; 2.上颌窦( maxillary sinus) ; 3.右侧上颌第三磨牙( right maxillary third molar) ; 4.颧弓( zygomatic arch) ; 5.腭大管( greater palatine canal) ; 6.左侧上颌第三磨牙( left maxillary third molar)
CBCT图像显示上颌窦是一个形状不规则,大小也不尽相同的腔,矢状位上是一由上、下、前、后壁构成的类似四方形或者梯形结构(图1-1-12)。冠状位上可见上颌窦上、下、内、外壁,形态多不规则(图1-1-13)。水平位可见前外、后外、内壁,中份多为类三角形,两端形态多不规则(图1-1-14)。上颌窦腔的容积为9. 5~20ml,平均为14. 75ml。不同人上颌窦形状和大小差别较大,同一个体双侧上颌窦形态基本对称(图1-1-15),但也存在同一个体两侧上颌窦形状和大小有差异(图1-1-16)。
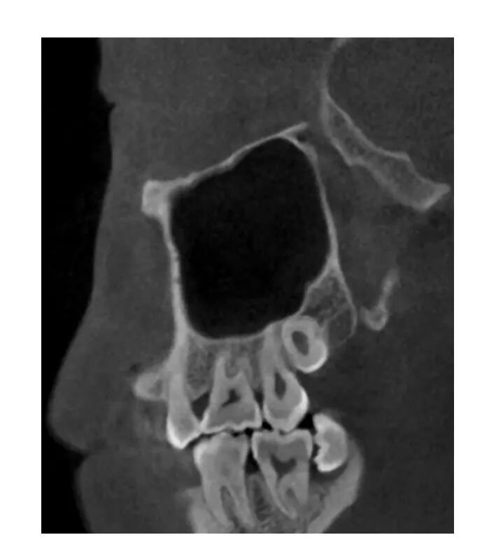
CBCT矢状位示上颌窦形状不规则,类似四方形或者梯形结构
CBCT冠状位可见上颌窦上、下、内、外壁,窦腔形态不规则
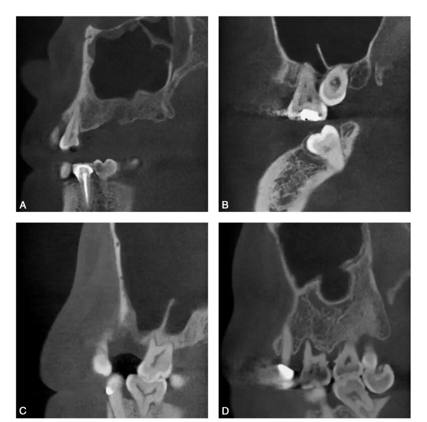
A、C.可见窦腔形态不规则; B.窦腔形态类似三角形
正常时,上颌窦黏膜相当薄,厚度在0. 3~0. 8mm之间,CBCT常无法分辨(图1-1-17)。窦腔内不同位置的黏膜厚度有差异,底壁处最厚,外侧壁厚于内侧壁。
CBCT矢状位示正常的上颌窦黏膜,可见其附于骨壁上。
不同个体上颌窦的发育过程差异较大,可较早或较晚终止发育。上颌窦的气化程度随年龄增长而逐渐增高,儿童上颌窦腔形态与成人有差异(图1-1-18)。
CBCT示3岁儿童的上颌窦,颌骨内见正在发育的恒牙胚,窦腔形态与成人有差异
上颌窦内的分隔是窦壁骨质的突起,呈隆起状、锯齿状或棘状(图1-1-19),分隔上附有薄的窦黏膜。有学者认为该结构可分为原发性和继发性,原发性分隔可能跟牙齿的发育和萌出有关,而继发性分隔可能是牙缺失后上颌窦气化引起窦底壁形态的改变。分隔的发生率约从13%~35. 3%不等,高度约为2. 5~12. 7mm。
CBCT矢状位示上颌窦内不同形状的分隔,呈隆起状、锯齿状或棘状
声明:本文转载于<口腔视界>,仅用于学习交流,如有违规侵权,请立即联系我们。内容仅代表作者个人观点,望大家理性判断及应用。