牙科医生或正畸医生用树脂或金属材料定制的装置。它可以是固定在儿童口腔中或是活动可以摘戴的。佩戴间隙保持器的目的正是为了保持一个间隙使得后续的恒牙有足够的空间萌出。
乳牙对于牙齿、颌骨以及肌肉的发育至关重要,乳牙不仅仅是用来咀嚼食物的,每个乳牙都对相应的恒牙起引导作用。如果乳牙过早缺失,恒牙没有了乳牙的引导,会发生移动或错误地萌出。缺失牙齿临近的其他牙齿也可能向这个空隙移动或倾斜。但是并非每个的孩子发生乳牙早失或龋齿都需要佩戴间隙保持器,因此需要咨询专业的正畸医生。
一、间隙保持器的分类
固定式:带环丝圈式、全冠丝圈式、远中导板、充填式、舌弓式、Nance弓间隙保持器。
活动式:可摘式功能性保持器。
二、保持器的适应症
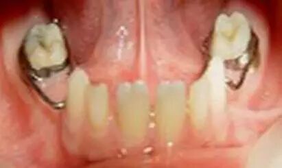
1、带环丝圈式或全冠丝圈式间隙保持器:
①单侧第一乳磨牙早失。


②第一恒磨牙萌出后,第二乳磨牙单侧早起丧失。拆除远中导板式间隙保持器后,也要换上此装置。
③双侧乳磨牙早失,用其他间隙保持器装置困难的病例。

总结:单侧D早失;E早失,6已萌;双侧DE早失。
2、远中导板式间隙保持器:
适用于第二乳磨牙早失、第一恒磨牙尚未萌出或萌出中。
用第一乳磨牙做基牙,戴入预成的活自制的合金全冠,冠的远中端焊接弯曲导板,插入牙槽窝内,远中导板贴合于未萌出的第一恒磨牙近中面。
总结:E早失,6未萌

3、充填式间隙保持器:
将钢丝的一端埋在充填体里,另一端弯成弧形接触缺失牙另一邻牙的邻面。适用于单个乳磨牙早失,间隙前端的牙齿有远中邻面龋,或后端的牙齿有近中邻面龋,龋坏均波及牙髓需要做根管治疗者。
总结:单侧D/E早失,缺隙有邻面龋或要做治疗
4、舌弓式间隙保持器:
适用于
①两侧第二乳磨牙或第一恒磨牙存在的病例。
②因乳磨牙早期丧失而近期内侧方牙即可萌出者。
③因适时拔除第二乳磨牙,需对其间隙进行保持时。
④两侧多个牙齿早失,使用活动式保持器患儿不合作佩戴者。
4、5总结:近期有牙萌出;双侧有D/6;D拔除

5、Nance弓(腭弓)间隙保持器:
与舌弓用途一致,用于上颌缺牙间隙保持,其前方不应与下颌前牙的切缘相接触。

6、可摘式间隙保持器:
适用于乳磨牙缺失两个以上者,或两侧乳磨牙缺失,或伴有前牙缺失。功能性活动保持器相当于局部义齿。
总结:可摘局部义齿的设计,缺2个以上DE;双侧缺1个以上;伴有前牙缺失



声明:本文转载于<牙医营地>,仅用于学习交流,如有违规侵权,请立即联系我们。内容仅代表作者个人观点,望大家理性判断及应用。









