本期结论:X线提示的孤立性股骨大转子骨折,90%合并股骨粗隆间骨折。建议对孤立性大转子骨折常规行髋部MR检查。
孤立性股骨大转子骨折疼痛多局限于髋部,程度较轻,部分患者甚至无明显症状。既往研究表明,X线片提示的孤立性转子骨折,在完善CT或MR检查后,常合并股骨粗隆间骨折。漏诊的股骨粗隆间骨折,在保守治疗中会增加骨折移位的风险。因此,在选择治疗方案前,明确孤立性大转子骨折是否合并股骨粗隆间骨折至关重要。
在一项纳入100例X线摄片提示孤立性大转子骨折的研究中,进一步行CT、MR或骨扫描,发现大部分的孤立性大转子骨折,均合并粗隆间骨折:
按上述纳入标准,纳入100例病例。其中,92例患者接受MR检查(其中39例同时行骨扫描,7例同时行CT检查),8例患者仅行CT检查。
39例同时行磁共振和骨扫描的患者中,35例(89.7%)两检查结果一致,4例结果不一致的患者中,骨扫描提示为孤立性大转子骨折,而磁共振显示为隐匿性转子间骨折。
▲ 图示87岁女性患者,摔伤致右髋部疼痛。A:X线检查提示右髋孤立性大转子骨折;B:骨扫描提示孤立性大转子骨折;C:MR提示右股骨粗隆间骨折。
7例同时行CT和磁共振检查的患者中,3例CT提示为孤立性大转子骨折,但磁共振显示所有7例患者的骨折均延伸至转子间内侧1/2皮质,其中4例接受了手术治疗。
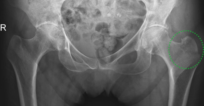
▲图示可见右侧转子间骨折线仅累及外侧1/2骨质,行保守治疗。
▲图示可见做侧转子间骨折线累及整个大小转子间骨质,且累及股骨颈基底部。
文章研究结果表明:
在另一项纳入7篇已发表文献的Mate分析中,学者统计了110例X线提示孤立性大转子骨折的患者:
结果表明,仅有10%(11/100)在MR检查后证实确实为孤立性大转子骨折,90%均合并不同程度的粗隆间骨折。其中,61例行手术治疗。
【本期文献】:见文中图片所示。
-END-
声明:本文转载自<骨科青年>,版权归原作者所有,仅用于学习交流,如有侵权请联系删除。