桡骨头骨折多伴发于肘关节骨折脱位,占肘关节骨折的30%,95%的桡骨头或桡骨颈骨折可采取保守治疗,获得良好的功能结局。然而,对Mason III型及以上粉碎骨折,通常建议手术治疗,如ORIF、桡骨头置换或桡骨头切除等。
但桡骨头作为抵抗肘关节外翻的有效装置,以及在后外侧稳定中具有重要作用,因此非必要情况下不建议直接切除,首选内固定治疗。
步骤三:将粉碎骨块复位,采用可吸收螺钉工具(钻头、丝攻、螺丝刀),置入可吸收螺钉。为了获得最好的把持力,可将螺钉置入软骨平面下方2-4mm。
步骤五:可吸收克氏针的处理上,最重要在于将尾部剪断后,采用磨头将克氏针磨平,并使其低于关节软骨面,避免局部刺激。
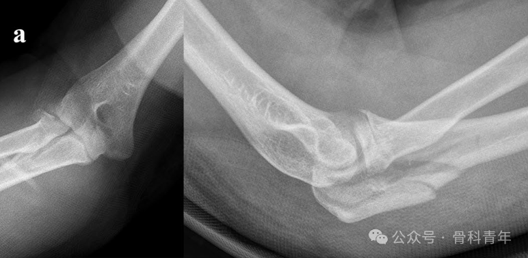
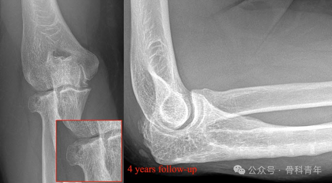
病例2:内侧副韧带止点撕脱骨折合并II型桡骨头骨折,2枚可吸收螺钉固定。
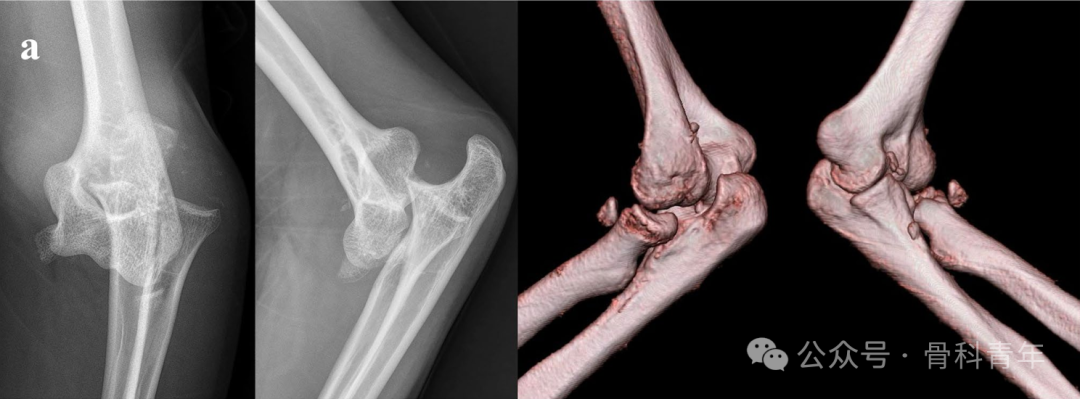
病例3:后孟氏骨折,桡骨头骨折采用2枚可吸收螺钉固定。
-END-









