第三期:胫骨假体位置解读
一、认识胫骨平台及胫骨假体
认识胫骨平台
胫骨假体位置
认识胫骨假体
胫骨假体位置
胫骨假体位置: 内外翻不超过 3°, 后倾7°± 5°,后缘及内缘齐平或者没有突悬 ,前缘齐平或者缩短<3 mm。
胫骨假体中立位(冠状面:无内外翻)
胫骨假体中立位:与胫骨AP位中轴线的垂线平行,水平截骨与胫骨轴线垂直。
胫骨假体后倾角度(矢状位)
胫骨假体后倾角度:与胫骨侧位中轴线的垂线的最佳夹角 =7°。
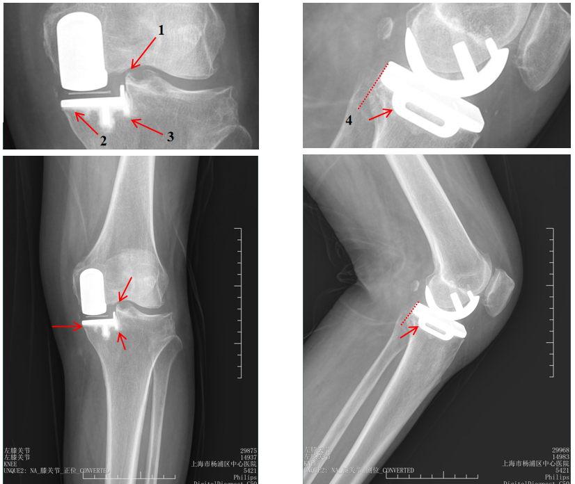
胫骨平台内外覆盖(冠状位)
胫骨假体对胫骨截骨面的覆盖:内侧缘齐平,假体完全覆盖胫骨平台。
胫骨平台前后覆盖(矢状位)
胫骨假体完全覆盖胫骨截骨面:后缘齐平,假体完全覆盖胫骨平台。
胫骨假体完全覆盖胫骨截骨面:前缘齐平,假体完全覆盖胫骨平台。
胫骨假体完全覆盖胫骨截骨面:假体完全覆盖胫骨平台,与侧壁无间隙。
二、胫骨假体位置的判断
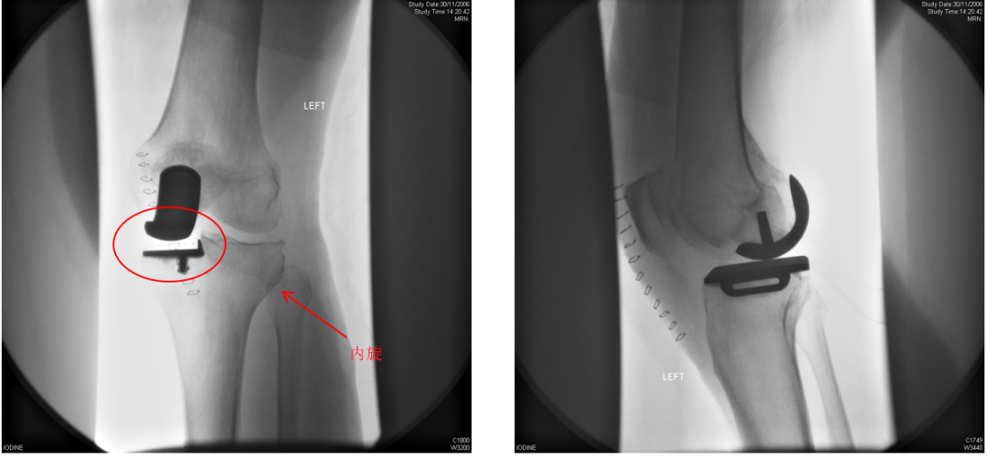
胫骨假体中立位(横断面:无内外旋)
胫骨假体内旋
胫骨假体外旋
三、假体位置不良
胫骨假体内翻
胫骨假体内翻位:与胫骨AP位中轴线的垂线呈“内翻姿态”。
胫骨假体外翻
胫骨假体外翻位:与胫骨AP位中轴线的垂线呈“外翻姿态”。
胫骨平台内侧突悬
胫骨假体对胫骨截骨面过度覆盖:内侧缘突悬>2mm,垂直截骨宽度不足。
胫骨假体对胫骨截骨面过度覆盖:内侧缘突悬>2mm ,假体选择大了一个号。
胫骨平台内侧覆盖不良
胫骨假体对胫骨截骨面的覆盖不足:内侧缘覆盖不足。
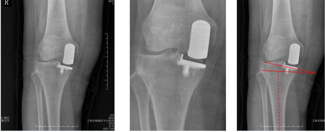
胫骨假体后倾角度>7°
胫骨假体后倾角度:与胫骨侧位中轴线(后侧皮质)的垂线的夹角>7°。
胫骨假体后倾角度<7°
胫骨假体后倾角度:与胫骨侧位中轴线(后侧皮质)的垂线的夹角<7°。
胫骨平台后缘覆盖不足
胫骨假体对胫骨截骨面的前后覆盖:未完全覆盖胫骨平台,前缘齐平,后缘短2mm。
四、如何获得良好的假体位置
标准截骨是获得良好假体位置的基础
标准截骨:
-
宽度:垂直截骨在内侧胫骨棘顶点或者偏内1-2mm
-
厚度:水平截骨在磨损最低点下2mm
-
内外翻:垂直截骨面与水平接骨面夹角为90°(无内外翻)
-
内外旋:前1/3与后1/3等宽(垂直截骨无内外旋)
-
前后倾:前1/3与后1/3等厚(水平截骨后倾7°)
标准截骨获得标准术后假体位置
胫骨截骨宽度不足(距离顶点>2mm)
胫骨截骨跨越顶点
五、辨别生理性透亮线
透亮线形成过程
透亮线的意义
生理性透亮线的定义:
宽度≤2mm、边界清晰锐利、非进行性增宽,常伴平行致密硬化线。在术后头两年形成,随后保持稳定。不提示假体松动、感染或失败。
六、翻修
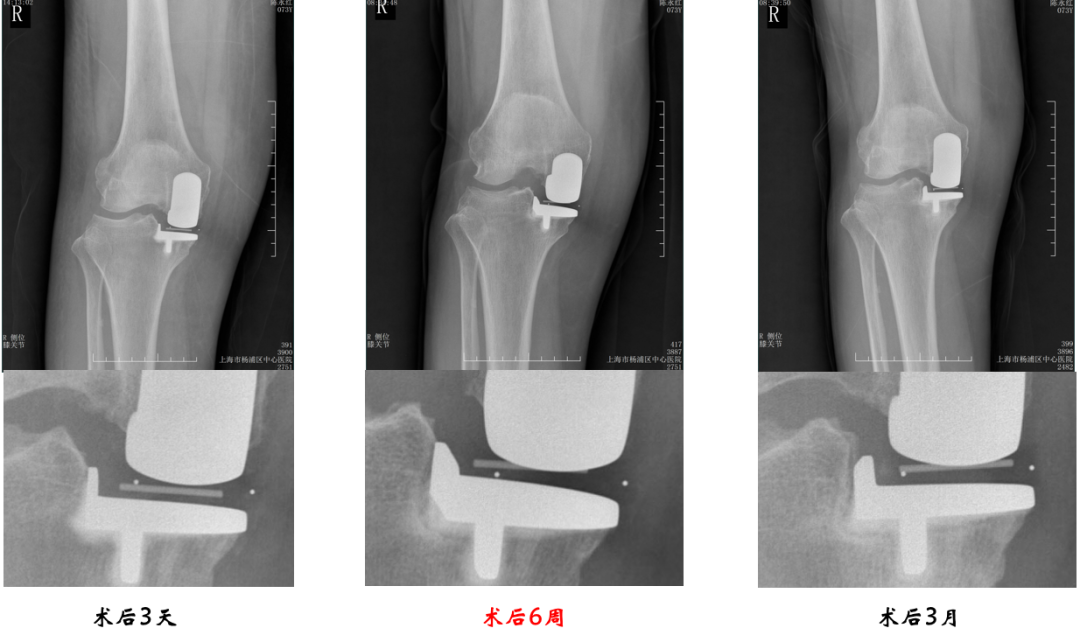
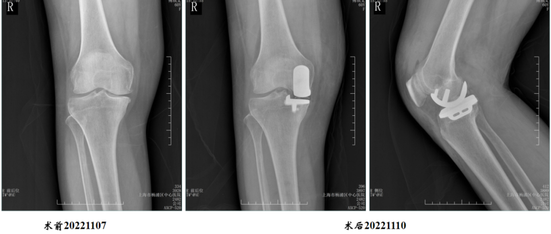
病例1:胫骨假体后倾角度>7°
问题:胫骨假体后倾角度12°,轻度膝外翻
病例1:胫骨假体翻修
UKA to UKA 更换胫骨假体
病例2:胫骨假体松动
病例2:单髁翻单髁
病例3:胫骨假体下沉
病例3:单髁翻单髁
七、致敬经典
X-ray资料来自Nuffield Orthopaedics center, University of Oxford。
病例1
术后X-ray:正位片内旋,显示胫骨假体大小及位置佳(垂直截骨在棘突顶点、与内侧缘齐平、无内外翻)。
病例2
术后X-ray:标准正位片,显示胫骨假体大小及位置佳(垂直截骨在棘突顶点、与内侧缘齐平、无内外翻)。
【建议在电脑观看】
作者介绍
涂意辉 教授
-
博士,主任医师,博士生导师;
-
同济大学杨浦医院首席专家;
-
中国医师协会骨科医师分会第六届委员会 全国委员;
-
中国医师协会骨科医师分会保膝学组副组长;
-
中国老年保健协会骨关节保护与健康分会副会长;
-
中国研究型医院学会膝关节部分置换研究学组副组长;
-
中国研究型医院学会膝关节保护与矫形学组委员;
-
上海市中西医结合学会关节病专业委员会常务委员;
-
上海市医师协会骨科分会关节委员会委员;
-
上海市医师协会运动医学医师分会委员;
-
中国康复医学会骨与关节委员会常务委员。
-
英国牛津大学Nuffield 骨科中心 fellow;
-
《中国伤残杂志》执行副主编;
-
《生物骨科材料临床研究杂志》编委;
-END-
声明:本文为原创内容,作者<涂意辉>,版权归原作者所有,仅用于学习交流,未经授权禁止转载!









