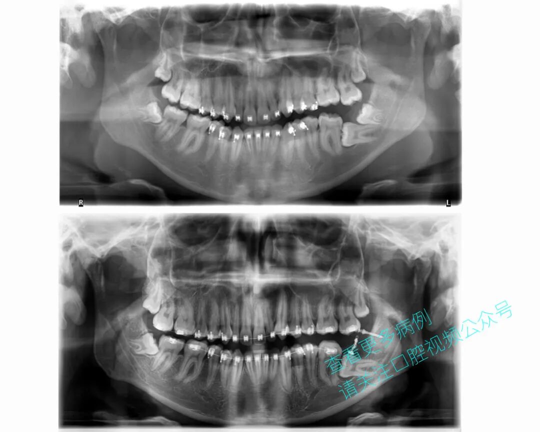
患者为18岁男性,既往接受过正畸治疗。37号牙水平阻生,紧贴36号牙。
手术拔除了38号牙,并在下颌升支植入一枚2×14 mm微型种植体,用于牵引并使37号牙平行移动。
该病例虽复杂,但取得了良好效果,成功避免了在青少年患者中植入种植体。
-END-
声明:本文转载自<口腔视界>,仅用于学习交流,如有违规侵权,请立即联系我们。内容仅代表作者个人观点,望大家理性判断及应用。
2026
作者
口腔视界
患者为18岁男性,既往接受过正畸治疗。37号牙水平阻生,紧贴36号牙。
手术拔除了38号牙,并在下颌升支植入一枚2×14 mm微型种植体,用于牵引并使37号牙平行移动。
该病例虽复杂,但取得了良好效果,成功避免了在青少年患者中植入种植体。
-END-
声明:本文转载自<口腔视界>,仅用于学习交流,如有违规侵权,请立即联系我们。内容仅代表作者个人观点,望大家理性判断及应用。