
瓷贴面粘接是获得患者所期待的惊艳、美观且持久笑容的关键步骤。高端美学粘接修复体的卓越之处不仅在于其美观性,更在于其粘接强度以及与健康剩余牙体组织的紧密结合,这种结合在很多情况下能大幅恢复牙齿原有的强度。采用增量式修复时,这一效果会更加显著。本文将介绍一套采用现代材料、并充分发挥其优势的简易操作流程。
图1 初始问题:多处不美观修复体、牙齿排列不齐,伴散在深浅不一的着色。
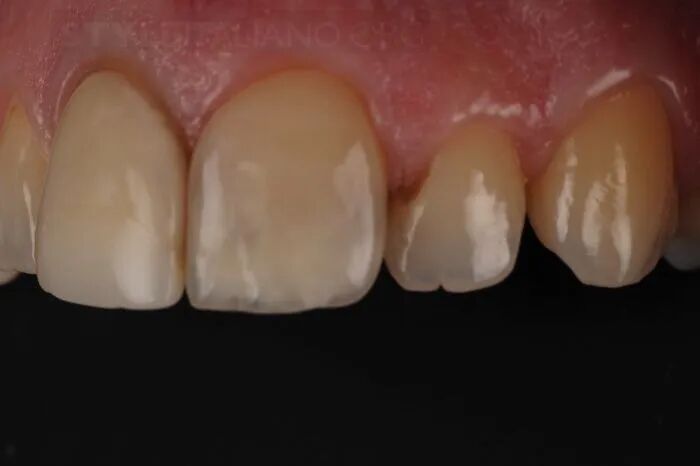
图2 侧面观显示侧切牙存在颈部缺损,全口前牙牙体比例不协调。
图3 右侧区域同样存在多处缺损:11牙(右上中切牙)呈不透明外观,该牙曾行根管治疗并以纤维桩修复,邻面存在着色及牙体比例不协调。
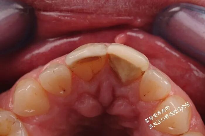
图4 在进行贴面修复方案设计时,咬合面观是正确诊断分析中最重要的依据之一,可提示我们能够增量添加的修复材料厚度或需要磨除的牙体量。尽可能实现增量式修复至关重要,应作为治疗目标。由此可见,双侧中切牙及侧切牙均可进行材料增量修复;其中中切牙需少量牙体预备(尤其切端区域),侧切牙则无需预备。
图5 口内复制蜡型制作的诊断饰面(Mock-up),通过增量式树脂直观呈现治疗后的最终效果。通常在方案确认满意后,可在此诊断饰面基础上进行牙体预备,以实现最小组织磨除。诊断蜡型为必需步骤,对以下关键阶段具有指导意义:
-
患者病例接受度
-
体积引导式预备(如上述)
-
临时修复体制作
-
最终修复效果评估

图6 放置硅橡胶导板。此为基于诊断饰面树脂行牙体预备后的咬合面观,可见牙体组织磨除量极少。唇面预备完成后,去除诊断饰面,修整邻面及颈部区域。

图7 在严密隔湿下逐颗粘接贴面。图中细节为使用212号橡皮障夹子隔湿11牙,其他邻面可通过橡皮障其他孔洞操作;可见12牙(右上侧切牙)釉质完整保留,而中切牙如前述需在切端行调磨。所有邻面及颈部边缘均位于釉质内。旧树脂充填体表面预先以50 μm氧化铝颗粒喷砂处理,以保证其获得最高粘接强度。

图8 本病例采用全酸蚀技术,以37%磷酸酸蚀牙面30秒。

图9 在任何酸蚀技术中,彻底清除酸蚀剂均至关重要,建议充分冲洗约20秒,以清除所有残留酸蚀碎屑。全酸蚀操作时需谨慎吹干,过度干燥会导致胶原网塌陷。若需彻底干燥,可选择自酸蚀技术。

图10 酸蚀后的牙体表面呈不透明、洁净状态。

图11 在进行口内操作的同时,对长石质瓷贴面进行酸蚀处理:使用10%氢氟酸酸蚀1.5分钟,若使用5%氢氟酸则建议酸蚀3分钟。确保贴面组织面均匀呈磨砂状,无碎屑、白斑或光亮区。若出现上述情况,需以磷酸酸清洁后重新酸蚀;若仍无法清洁干净,可考虑对组织面行空气喷砂处理。(铸瓷贴面酸蚀时间为20秒)

图12 涂布粘接剂,本病例选用3M ScotchBond:tm: Universal通用粘接剂,可兼作自酸蚀或全酸蚀系统使用,涂抹20秒。

图13 涂抹后用气枪轻轻吹薄粘接剂,确保表面无多余涂层,避免影响贴面被动就位。

图14 需规范光固化操作,厂商通常建议光照20~30秒。本文建议过度固化,即使在光照头无法紧密贴合的区域,也能保证形成高强度混合层。

图15 贴面组织面需经硅烷处理后再涂布粘接树脂。本病例所用3M ScotchBond:tm: Universal粘接剂含磷酸酯单体(MDP)及硅烷成分,有研究表明其粘接强度与“硅烷+粘接剂”联合系统相当,因此可省略单独硅烷化步骤。关于使用或省略硅烷的观点均有相关科学证据支持。尽管该粘接剂内含硅烷可省略此步骤,但众多牙医仍倾向于常规行硅烷化处理。

图16 粘接层需用气枪充分吹薄,避免膜层过厚影响贴面贴合。

图17 光固化方式同上,延长光照时间有助于提升粘接层质量。若粘接层已最大限度吹薄,建议光照1分钟。

图18 在贴面组织面涂布粘接水门汀,建议使用贴面专用水门汀,为全光固化材料,根据稠度可归类为“高流动树脂”或“软质复合树脂”。此类材料可为临床医师提供以下优势:
-
实现贴面被动就位
-
外部光照不足时,拥有充足操作时间
-
材料稳定性佳,因稠度适宜而降低空隙产生风险
-
填料含量高,具备优异的结构与表面性能
-
密度适宜,便于多余材料去除

图19 水门汀从边缘溢出,先用手动器械去除大块多余水门汀。

图20 去除大块多余材料后,用毛刷修整边缘并清除残余少量多余材料。确认所有边缘密合且无多余水门汀后,进行光固化。

图21 光线可充分穿透整个贴面,尤其切端区域。光照头与贴面贴合越紧密,材料转化越充分,强烈建议延长光照时间。

图22 使用精细刮治器(LM Arte Eccesso)清除唇侧及邻面边缘多余粘接剂与粘接剂。

图23 使用精细抛光条去除多余材料并修整边缘。

图24 使用超精细抛光条对邻面边缘进行抛光。

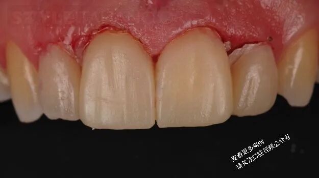
图25 术后1个月最终效果。可见牙色均匀、比例协调,整体表面与纹理令医师与患者均满意。仅少量去除22牙(左上侧切牙)近中多余部分,图中可见该处轻微出血,后续将继续随访观察。

图26 去除的多余修复材料侧面观。

图27 11牙与12牙侧面观,可见健康牙体组织愈合良好。

图28 两颗中切牙细节观。
结论
显然,贴面修复的每一步操作均至关重要,而粘接阶段是所有前期工作的最终呈现。牙科领域对此观点分化明显:
——部分医师抱怨修复体频繁脱落,而另一部分医师则可实现稳定粘接且无并发症出现。
我们认为釉质是核心关键,若能保护健康牙体组织并在最佳粘接基底上完成粘接,即可获得高临床成功率。严格遵循粘接操作流程,是获得高临床成功率的保障。
-END-
声明:本文转载于<茄子口腔医学>,仅用于学习交流,如有违规侵权,请立即联系我们。内容仅代表作者个人观点,望大家理性判断及应用。









