2021年05月31日,是第34个世界无烟日。世界卫生组织提出“承诺戒烟(Commit to Quit)”主题。肺癌是世界上最常见的恶性肿瘤之一,已成为我国城市人口恶性肿瘤死亡原因的第一位。
目前认为吸烟是肺癌的最重要的高危因素,烟草中有超过3000种化学物质,其中多链芳香烃类化合物(如:苯并芘)和亚硝胺均有很强的致癌活性。多链芳香烃类化合物和亚硝胺可通过多种机制导致支气管上皮细胞DNA损伤,使得癌基因(如Ras基因)激活和抑癌基因(如p53,FHIT基因等)失活,进而引起细胞的转化,最终癌变。

非小细胞肺癌。支气管镜检查。大的中央病变被诊断为非小细胞癌。

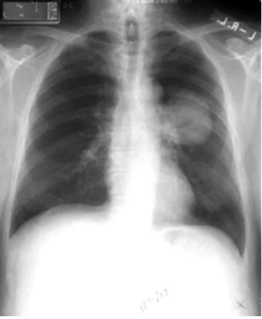
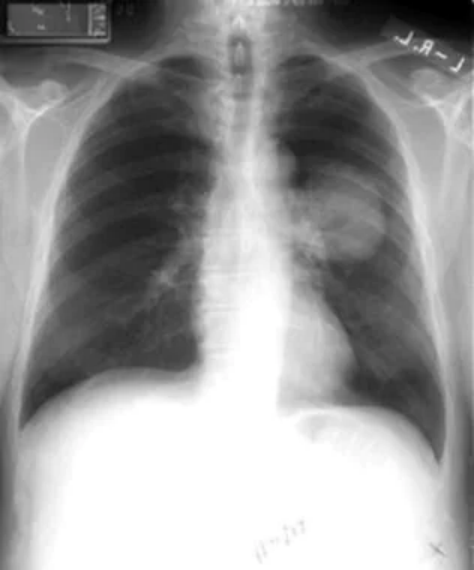
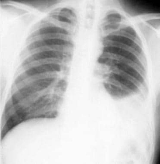
非小细胞肺癌。左上塌陷几乎总是继发于支气管内支气管癌。
为了治疗和预后,肺癌分为两类:小细胞肺癌(SCLC)和非小细胞肺癌(NSCLC)。大约20%的肺恶性肿瘤是由于小细胞癌引起的。小细胞肺癌几乎总是转移到纵隔淋巴结或远处。
NSCLC需要细致分期,因为治疗和预后差异很大,取决于阶段性发展。在非小细胞肺癌中,手术切除为患者提供了最佳的治疗机会。手术可以治愈Ⅰ期和Ⅱ期疾病;但是,只有少数患者(20~25%)在这些阶段觉察患病。患有ⅢA期疾病的患者可以进行手术切除。在患有ⅢB期疾病的患者中,通常认为肿瘤无法切除。患有Ⅳ期疾病的患者有远处转移,并接受非手术治疗,但也有可切除的原发灶的患者中很少有可切除的孤立转移灶。
适用性标准
1)FDG-PET / CT通常适合评估胸外转移。
2)原位为0期腺癌且胸部CT检查正常的患者不需要FDG-PET / CT。
3)具有Ⅱ期,Ⅲ期或Ⅳ期NSCLC的患者,无论有无神经系统症状,通常都应进行不带Ⅳ对比和带Ⅳ对比的头部MRI检查。
4)对于没有神经系统症状的临床分期ⅠB NSCLC患者,不进行Ⅳ对比和进行Ⅳ对比的头部MRI是可选的。
5)建议所有表现出神经系统症状的NSCLC患者,不论其阶段如何,均应进行不带Ⅳ对比和带Ⅳ对比的头颅MRI检查。
在诸如支气管癌的恶性肿瘤中,早期发现可导致病变的手术切除并治愈。但是,使用放射学方法不能证明成功地降低了死亡率。
对于肺部非小细胞癌的筛查,胸部X线摄片可提高生存率,尽管尚无死亡率优势。相关协会不建议常规进行大规模筛查以检测肺癌。但是,在高危人群中进行胸部X线检查可提高早期检测,可切除性和生存率。
研究表明,低剂量的胸部螺旋CT扫描可能会在早期发现病变,因此可能会改善可切除性、存活率和死亡率。支气管癌的放射学表现包括阻塞性肺炎或肺不张、肺结节或肿块、根尖肿块、空化肿块或与淋巴结病相关的结节或肿块。在非小细胞肺癌患者的检查中,胸部放射线是一种容易获得,廉价且有用的成像方式。因此,胸部放射线最常被用作初步检查。始终需要进行其他检查,例如CT扫描,以更好地描绘在平片上发现的异常。CT也有助于排除良性病变和术前分期。胸部CT是重要的信息工具,有助于详细成像原发肿瘤及其与其他结构的解剖关系,并且它提供有关纵隔淋巴结大小和胸膜腔状态的信息。但是,腺病的CT标准仅基于大小,并不总是准确反映肿瘤转移的存在与否。最好将CT视为一种为更准确的手术分期提供路线图的技术。
MRI和正电子发射断层扫描(PET)扫描的作用尚未明确。在评估根尖肿瘤侵袭胸壁时,MRI可能优于CT。PET扫描的用途正在迅速扩展。NCCN指南发现,PET / CT成像在活检之前很有用,有助于确定将达到最高分期的活检部位。
PET扫描可能对评估肺部孤立性肺结节有用。多项研究表明,PET扫描在确定结节是良性还是恶性以及分期局部和远处转移性疾病方面似乎很有价值。 在一些中心,PET / CT扫描仪是可用以允许更精确的解剖学定位。
医学肿瘤学会指南建议进行明确Ⅲ期NSCLC治疗的患者均应先行胸部和上腹部的造影剂增强CT诊断扫描,然后进行PET或PET-CT结合CT技术,并具有足够的高分辨率。这样排除可检测的胸外,颅外转移,并评估潜在的纵隔淋巴结受累情况,最好在治疗开始前4周内。单个PET阳性远处病变需要病理证实。
技术局限性
胸部放射线仍然是肺癌影像学评估的主要手段。但是,胸部X光片上错过了12%至30%的肺癌。 使用胸部X光片可能无法检测到<2~3 mm的结节,并且重叠的软组织混浊可能掩盖了细小的支气管内病变。胸部X光片描述了支气管内病变的间接体征,例如阻塞性肺炎或肺不张。这些体征可能是继发于良性肿瘤或粘液堵塞或异物的继发症状。在孤立性肺结节中,总体上恶性的可能性约为40%。因此,在胸部X光片上发现的结节需要进一步的诊断检查以排除肺癌。
NSCLC中CT扫描的优势在于它可用于区分肿瘤与周围的肺不张。CT扫描可能有助于证明在其他几种情况下上腔静脉受压,心包积液和淋巴管播散。CT扫描的主要局限性是无法区分从简单近似到邻近结构的侵入。
在非小细胞癌的分期中,CT有一些局限性。正常大小的纵隔淋巴结可能含有微小的转移性沉积物,这些沉积物随后在多达20%的患者的开胸手术中被发现。同样,在多达20%的患者中,炎性淋巴结肿大可能被错误地表征为转移。
CT在检测转移性纵隔淋巴结受累中的敏感性和特异性在70-80%的范围内。CT扫描在区分ⅢA期和ⅢB期疾病方面可能还有其他局限性。在周围性TI病变中,CT可能不起作用,因为胸部X光检查似乎已足够。CT在评估支气管内异常程度方面也受到限制。CT在评估和分期心尖部肺肿瘤方面也可能受到限制。
射线
在胸部放射线上,非小细胞肺癌的发现各不相同,并在许多疾病的鉴别诊断中予以考虑。最常见的是支气管狭窄,局部肺透明,肺门肿块,孤立性肺结节,非分辨性肺炎,邻近结构受累和纵隔淋巴结受累。
经皮胸穿刺活检(PTNA)用于诊断肺癌。建议在进行活检后每隔1和4小时进行一次胸部X光检查,如遇特殊情况下应立即进行胸部X光检查。
重复进行X线胸片检查后,每隔2-4小时可观察到小的或无症状的气胸。如果气胸保持稳定并且患者无症状,则不需要胸腔引流。在气胸扩大(15-30%气胸)或有症状的患者中,应放置气胸引流导管。

非小细胞肺癌。支气管镜检查。大的中央病变被诊断为非小细胞癌。

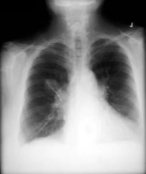
非小细胞肺癌。左下叶非小细胞癌继发的左胸腔积液和容量减少。对胸腔积液取样,发现是恶性的。因此,病变无法手术。

非小细胞肺癌。左上塌陷几乎总是继发于支气管内支气管癌。

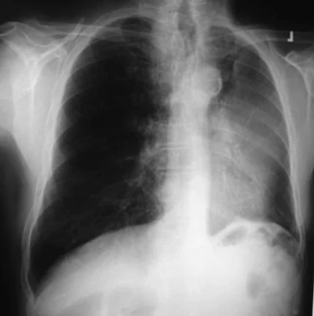
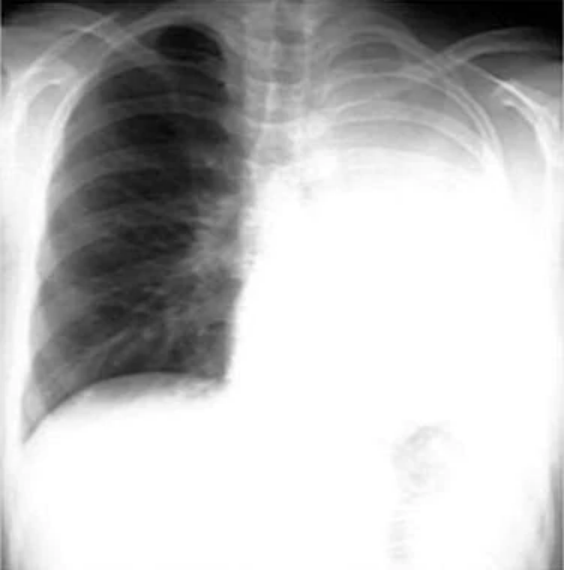
非小细胞肺癌。继发于左主支气管的支气管癌继发的完全左肺塌陷。

非小细胞肺癌。空洞的右下叶鳞状细胞癌。

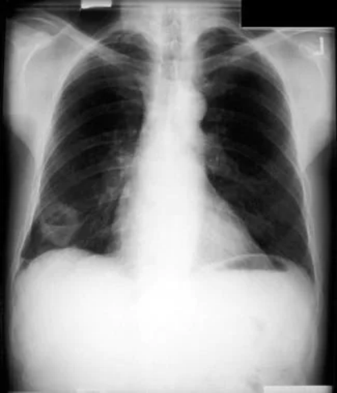
非小细胞肺癌。患者右下叶混浊。这不是很好的限制,并被发现是鳞状细胞癌。

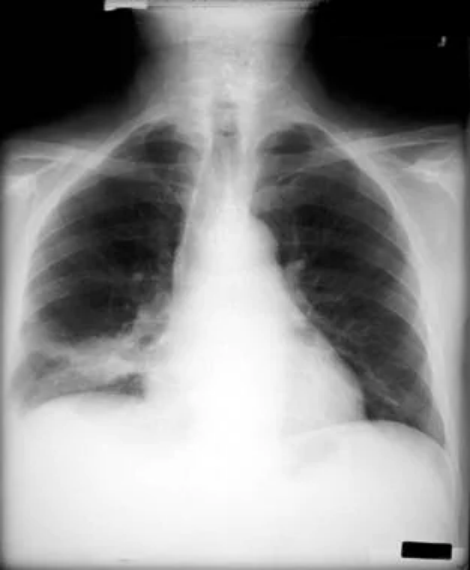
非小细胞肺癌。经皮活检诊断为右上叶病变为腺癌。

非小细胞肺癌。右上叶塌陷,伴有潜在的非小支气管小细胞癌继发金色标志。
支气管狭窄
支气管狭窄和狭窄后改变很常见,因为大多数NSCLC都显示管腔内生长。可以在胸部X光片上发现主支气管变窄或完全切除。
支气管内病变通常导致部分或完全肺不张,是支气管癌的最常见征兆。完全的支气管内阻塞有时会产生远端粘液样撞击,在平片上可能以管状或分支不透明可见。
可能发生节段,肺叶或整个肺部的肺不张。
放射线征象包括大叶状或节段性分布的斑片状不规则或均匀混浊。可以看到肺容量减少,以及叶间裂隙,纵隔肌和肋骨移位。
阻塞性肺炎可以以节段性或大叶性分布来识别。
区域超清
尽管空气量正常或增加,支气管内病变仍会减少通气。结果,缺氧性血管收缩减少了灌注,并且在胸部X光片检查中,衰减被视为是超透明的。在肺的部分不张区域,可能会出现超清而不是不透明的现象。
肺门质量
中枢支气管癌在肺门区域表现出增加的不透明性。在早期阶段,肿瘤可能充满了肺门阴影的侧凹,而在晚期阶段,所有的肺门结构都被消除了。淋巴管浸润性支气管癌可能表现为线状混浊,从肺门肿块放射到肺周围。
孤立性肺结节
孤立性肺结节可能相对边缘化,并表现为圆形的肺部混浊。据报道,在某些系列中,多达60%的患者孤立性肺结节是良性的。除偏心或散在的点状(点状)钙化外,所有钙化模式均与良性病变有关。在先前的胸部X光片上获取和识别病变非常重要。这可以帮助建立结节的倍增时间间隔。通常,将30-365天的倍增时间与恶性肿瘤相关。
其他可能的恶性体征包括:
1)直径>3厘米
2)病态或假边缘
3)瑞格勒切口征兆(结节上的切口对应于血管供应)
4)结节边缘的放射状横纹(称为电晕辐射)
5)厚壁腔
6)偏心钙化
非解析性肺炎
在节段性或非节段性分布中定义不明确的均匀或斑块状固结可能是支气管癌的征兆。有这些发现的患者通常会先接受肺炎的治疗。缺乏对抗生素治疗的反应提示诊断为恶性。
不透明性可能包含空气支气管图和肺泡图。这种表现通常见于腺癌和支气管肺泡癌。
连续结构参与
也可能发现有连续结构参与的间接迹象。支气管癌可能涉及周围的胸腔结构,这通常表明该肿瘤不可切除。调查结果包括以下内容:
1)肋骨和椎骨的溶骨性病变和病理性骨折;
2)神经受累导致diaphragm肌麻痹并累及diaphragm肌同侧抬高;
3)内脏胸膜受累或淋巴阻塞继发的胸腔积液(通过胸腔穿刺术确认是否存在恶性积液);
纵隔淋巴结肿大
可以在胸部X光片上识别到气管旁,气管支气管,支气管周,主肺和癌旁淋巴结的转移。影像学表现包括纵隔变宽,右气管旁气管条纹增加,纵隔凸缘,主肺门窗无凹痕以及隆起。
CT检查
胸部的CT扫描在评估支气管癌患者中起着多种作用。这些措施包括肺癌筛查,评估单个肺结节和分期。CT扫描被广泛用于NSCLC的分期。但是,CT分期导致大约40%的患者分期过高或过低。
在一些试验中,低剂量螺旋CT已用于筛查有患肺癌风险的患者。CT显示未钙化的结节,尽管发现有少量结节为恶性。在对比增强的CT扫描中,对20 HU或更多的衰减增加表明对肺癌敏感度为98%,特异性为73%。
孤立性肺结节
CT在孤立性肺结节的形成中起重要作用。CT扫描也可能有助于在某些患者中建立明确的诊断。CT密度计可帮助区分良性和恶性病变。此外,CT扫描可能有助于诊断动静脉瘘,圆形肺不张,粘液样撞击和肺梗塞。CT扫描也可能有助于识别在胸部X光片上未清楚划定的真菌球。
超过90%的患者恶性边缘呈结节状,边缘不规则和呈球形的结节为恶性肿瘤。此外,在恶性结节中空气支气管造影所见和伪空化(局部透明性)更为常见。下图所示的空化可能是恶性和良性病变的特征。

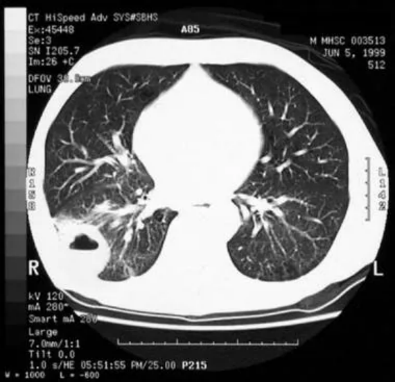
非小细胞肺癌。CT扫描显示气蚀和空气液位。
壁腔的厚度可能有助于区分良性和恶性病变。<1 mm的壁表示95%的患者为良性病变,>15 mm的壁厚度表示>80%的患者为恶性病变。
CT光密度法
CT密度计可用于检测孤立结节内钙化和脂肪的存在和分布。CT扫描比X线胸片更灵敏,可检测钙化的存在。胸部X线检查发现的不确定结节中约有三分之一在CT扫描中被证明含有钙。可以通过将光标放在病变上来获得CT编号。大于200 HU的值表示钙化。通过直接可视化或从–40至–120 HU的CT值检测到的脂肪的存在是对错构瘤的诊断。
对比增强CT
增强扫描可能有助于区分恶性和良性病变。对比剂给药后,恶性病变的增强程度大于良性病变。但是,活动性肉芽肿或其他感染性病变也会增强。增强过程中CT数的测量非常有用。增加20 HU或更多表明对肺癌的敏感性为98%,特异性为73%。 造影剂可用于没有恶性或良性病变特征性发现的患者。只要不存在表明恶性肿瘤的其他特征,就可以监测非增强性结节。
使用CT进行肺癌分期
CT扫描可能有助于评估原发性肿瘤。尽管肿瘤的大小(无论病变是T1还是T2)都可能不会改变手术方式,但肿瘤的部位对于识别还是很重要的。CT扫描可能有助于确定整个大裂隙处的肿瘤扩展。CT扫描有助于评估胸壁,纵隔,主干支气管,中央静脉和动脉的局部浸润。胸壁浸润的迹象包括骨破坏,肿瘤扩展到胸壁,胸膜增厚和胸膜外脂肪平面的丢失。CT鉴别纵隔浸润通常是不可靠的。另外,在许多情况下,最小的纵隔脂肪浸润可以切除。可以通过CT识别肿瘤侵犯中央动脉和静脉,这表明需要进行肺切除术。主干支气管的肿瘤浸润也可以在CT扫描上看到。这对于计划外科手术程序是有用的发现。CT是无创解剖评估肺门和纵隔的有用的放射学手段。转移的指征主要基于大小标准。短轴直径大于1 cm的淋巴结定义为扩大。尽管转移的可能性随淋巴结大小的增加而增加,但CT扫描无助于将转移与良性病变区分开。
微观转移
据报道,接受CT分期的患者中有7-33%的淋巴结大小正常。另外,在成像中应使用短轴直径还是长轴直径存在争议。另一个限制可能是影像学研究解释中的观察者间差异。尽管有这些限制,CT仍可为外科医生提供有用的分期信息。注意特定位置的扩大可能有助于外科医生计划治疗,包括纵隔镜检查,纵隔切开术或经皮穿刺活检。CT可用于证实胸外转移。CT证实的远处转移包括肾上腺,脑,骨骼,肝脏和软组织的转移。胸部CT应包括上腹部,以评估肝脏,上腹部淋巴结和肾上腺。但是,在穿刺活检中,大多数肾上腺肿块显示为腺瘤而不是转移瘤。
磁共振成像
MRI是一种具有多种优势的成像方式,包括缺少电离辐射,无需造影剂即可对血管结构成像的能力,在任何平面上成像的能力以及出色的对比度分辨率。MRI不能用作初始成像工具,但在评估局部浸润和肺门淋巴结病的检测方面,MRI可能优于CT。尤其是,MRI可用于评估根尖或上沟肺肿瘤。臂丛神经,锁骨下血管和邻近椎体的浸润可通过MRI证实。与其他技术相比,MRI在检测结外肿瘤扩散到纵隔方面可能更准确。MRI的多平面功能比CT扫描能够更准确地评估肺门淋巴结,肺门窗淋巴结和软骨下区域淋巴结。此外,MRI有助于确定肿瘤与中央肺动脉,主动脉,隆突和主支气管的关系。MRI取决于检测纵隔转移的大小标准。MRI在检测包含微小沉积物的小淋巴结方面受到限制。MRI在检测胸壁,椎体,锁骨下血管和臂丛神经浸润方面具有优势。为了检测胸壁浸润,已经报道了大约90%的敏感性和96-100%的特异性。MRI无法描绘钙化。低流量的血管可能被误诊为淋巴结或肿块。呼吸或其他运动可能导致图像模糊,导致漏诊为淋巴结病。
核成像
对于具有骨转移的生化或物理证据的患者,作为术前检查的一部分,需要进行骨扫描。无症状患者通常不建议常规的骨扫描。
正电子发射断层扫描(PET)可用于确定代谢活性,而不是病变的形态特征。支气管癌与葡萄糖代谢率增加有关。PET使用与氟18(正电子发射体)连接的脱氧葡萄糖。2- [氟-18]-氟-2-脱氧-D-葡萄糖(FDG)试剂与葡萄糖竞争转运进入细胞,并在磷酸化后积聚在肿瘤细胞中。肺肿瘤细胞的葡萄糖代谢增加;但是,这不是专门针对肿瘤的,可能会在传染性或炎性过程中发生。
FDG-PET扫描已被用于区分良性和恶性肺结节。当进行全身成像时,PET扫描对于检测远处转移也可能有用。由于假阳性率高,在拒绝可能的治愈性外科治疗之前,仍可能需要采用侵入性分期程序。
置信度
在分期纵隔疾病中,PET成像比CT扫描具有更高的敏感性,特异性和准确性。已发表的研究表明,敏感性为80%,总体特异性为92%,准确性为92%,阳性预测值为90%,阴性预测值为93%。类癌综合征,支气管肺泡癌和小于10毫米的支气管癌患者中可能发生假阴性研究。已知假阳性结果出现在传染性或炎性疾病中,例如结核病,组织胞浆菌病和类风湿结节。



