1. 分型背景
后交叉韧带止点撕脱骨块

镜下双袢联合高强线“三重固定”

镜下双袢联合高强线“三重固定”

镜下双袢联合高强线“三重固定”

3D Model Demonstration
2. 手术步骤
步骤1:暴露骨折段,插入定位器械,并构建一个直径为4.0mm的骨隧道。

步骤2:插入两条PDS线并引入高强线,分别并将其穿过后交叉韧带,以形成初始的吊带环。

第三步:双套环高强线复位骨折块,并穿入固定微孔钛板。

步骤4:将一根高强度缝合线穿过骨隧道,并牢牢收紧,以准确复位骨折段。

第五步:拉紧双环以稳定骨折部位,并抓住两条牵引缝线。

步骤6:紧固牵引缝线以防止固定环滑脱。


3.分型及术式
我们的分型
总结我科临床资料,提出后交叉韧带止点撕脱骨折分型,并据分型设计
相应术式选择!依据:
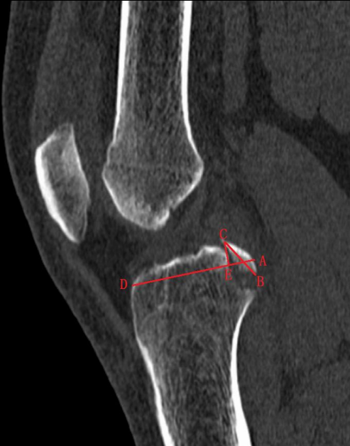
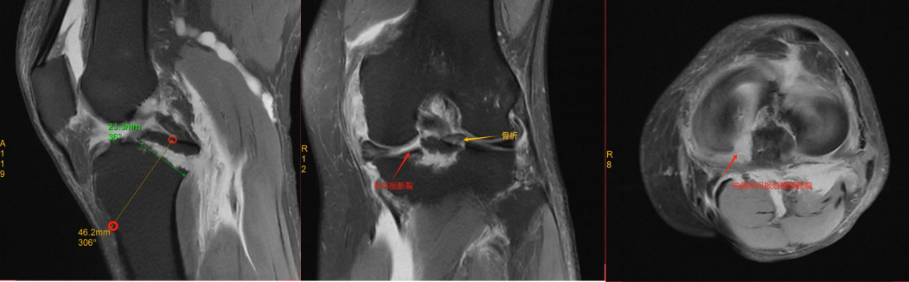
1.CT与MRI矢状位骨折块长度(BC);
2.矢状位撕脱骨折前后距与胫骨平台前后距比例(AE/AD);
Ⅰ型:撕脱骨折块BC小于15mm,AE/AD小于1/2;
Ⅱ型:撕脱骨折块BC大于/等于15mm,AE/AD小于1/2,常见;
Ⅲ型:撕脱骨折块BC大于15mm,AE/AD大于或等于1/2;
ⅢA型:多块撕脱骨折块,BC大于15mm,AE/AD大于1/2;
ⅢB型:骨折块合并半月板撕裂,BC大于15mm,AE/AD大于或等于
1/2。
ⅢC型:髁间棘陈旧性撕脱骨折, BC大于15mm,AE/AD大于或等于
1/2。

分型与术式选择

分型及术式
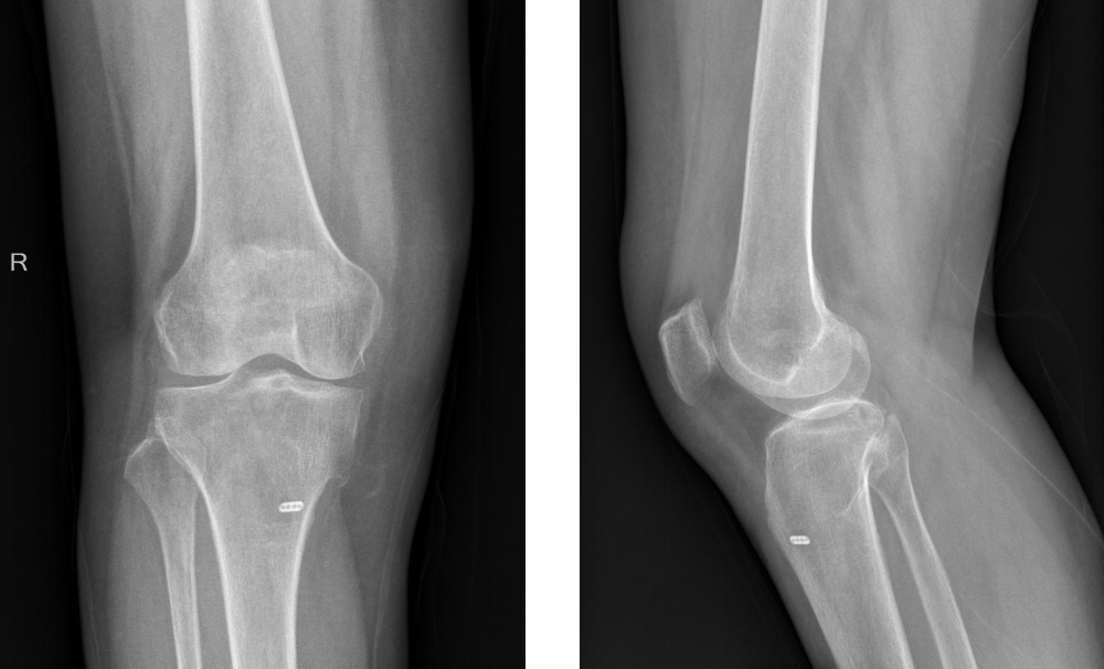
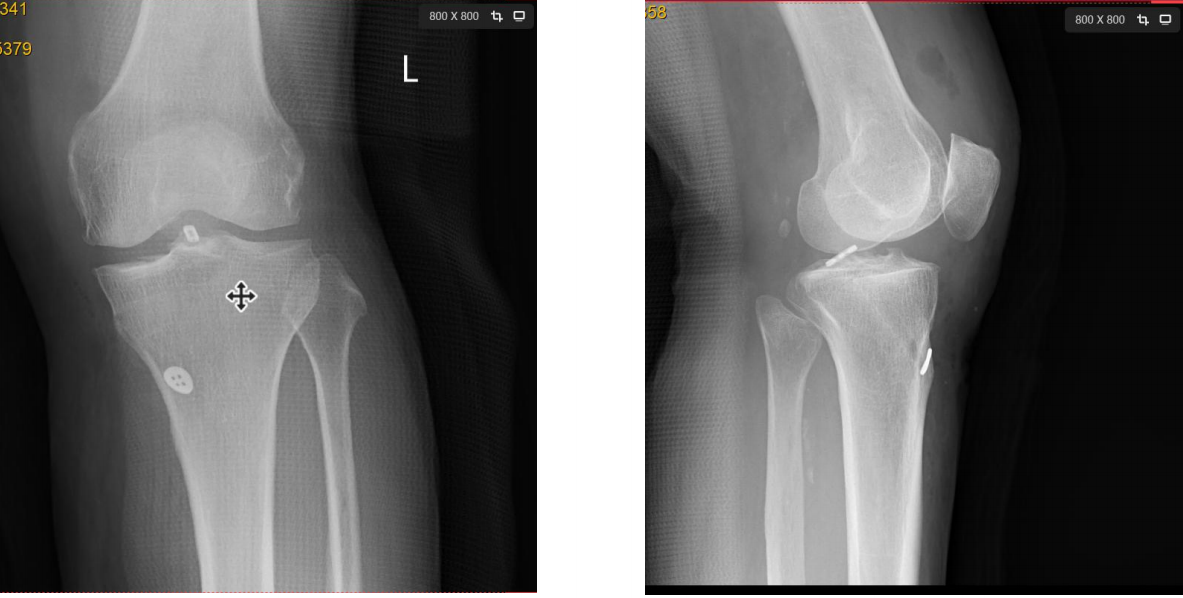
Ⅰ型:撕脱骨折块 BC≤15mm;AE/AD <1/2
术式:高强线“双环扣”+单袢



手术技术:高强度缝线双环钛扣技术

术后X线片

分型及术式
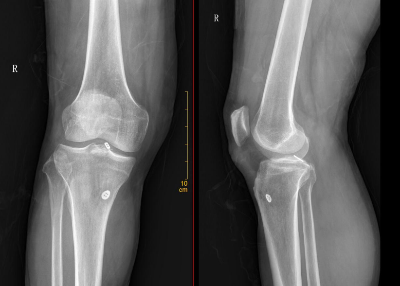
Ⅲ型:撕脱骨折块;BC>15mm;AE/AD≥1/2。
术式:双袢+后叉前建立骨道



步骤: 明确骨折、建立骨道、置袢复位骨折

术后X线片

分型及术式
ⅢA型:多块撕脱骨折块,BC>15mm,AE/AD>1/2;
术式:双袢(后叉前建立骨道)+高强线

步骤: 明确骨折、建立骨道、引入袢+预置高强线

步骤: 建立平台骨道、复位收袢

术后X线片

分型及术式
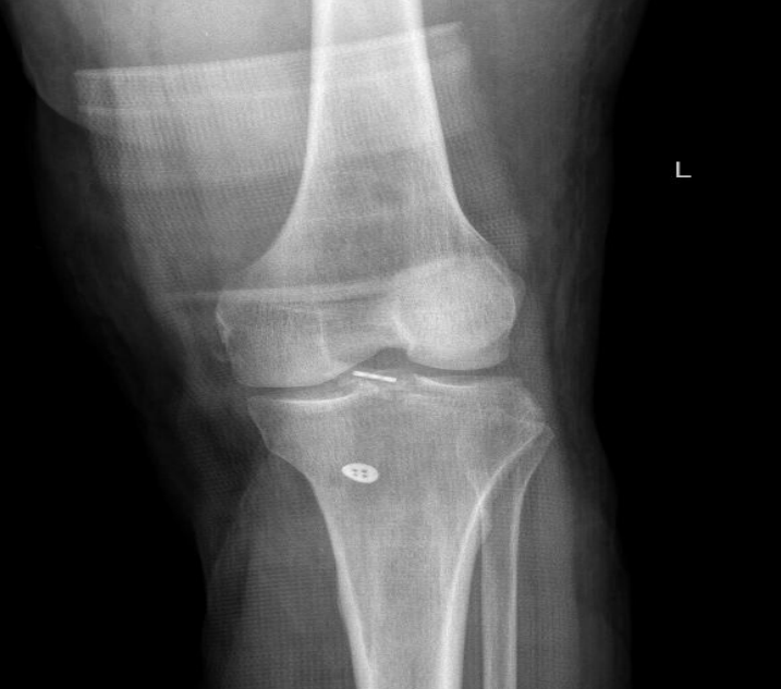
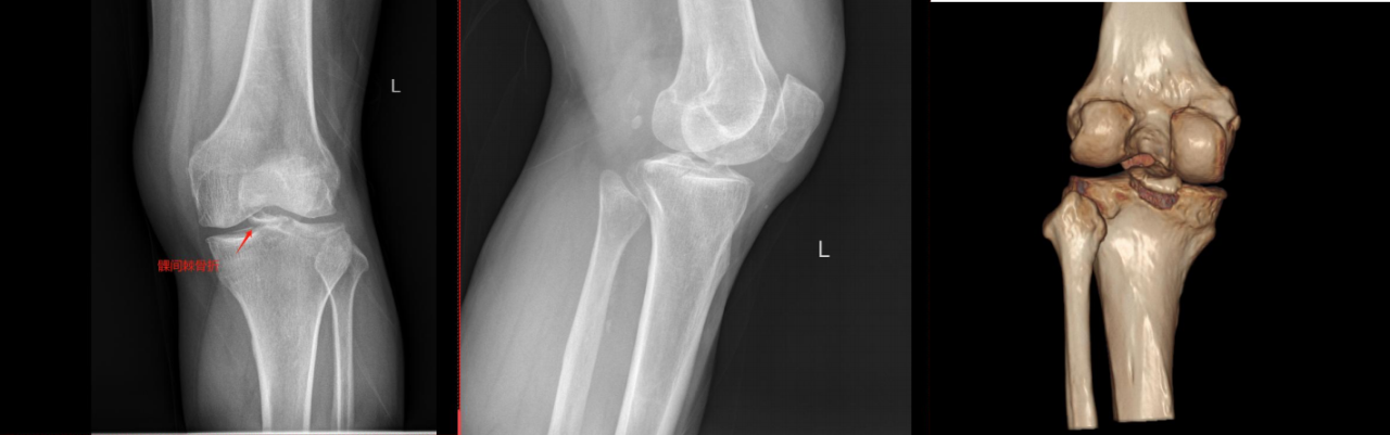
ⅢB型:多块撕脱骨折;合并半月板撕裂;BC>15mm;AE/AD≥1/2。
术式: 双袢(后叉前建立骨道)+骨道固定

合并内侧半月板放射裂

撕脱骨折、内侧半月板放射裂

半月板骨道固定、双袢固定撕脱骨折

术后X线片

4.小结
高强线+双袢+辅线防脱袢:“三重固定”;
不同骨折类型采取不同术式选择固定策略;
作者:李政
作者单位:深圳市骨伤科医院/深圳平乐骨伤科医院,骨关节∙运动医学科
-END-
声明:本文为原创内容,作者<李政>,版权归原作者所有,仅用于学习交流,未经授权禁止转载!









