来自: 蛛丝马迹学影像、内容主要来自《临床血管解剖学-介入放射学动脉图谱》、《EACVI心血管磁共振教程》及网络收集
主要内容:一、冠状动脉解剖;二、冠状动脉优势型;三、冠状动脉分段及供血区域;四、冠状动脉变异;五、X线造影、CTCA和MRI成像表现;六、冠脉狭窄的评估和分类;七、桥血管示意图。
本系列文章文字内容较多,读者也可以仅阅读文中插图,以快速浏览关键知识点。
一、冠状动脉解剖:
冠状动脉由升主动脉起始部的主动脉窦(又称冠状窦,包括左主动脉窦、右主动脉窦和无冠窦)发出,分为左右冠状动脉。
右冠状动脉(right coronary artery,RCA)由右冠状窦发出后,在肺动脉起始部和右心耳之间,沿冠状沟向右行,绕过心右缘经冠状沟后部至房室交点处转向下,移行为后室间支(后降支),沿后室间沟下行至心尖。其第一分支是圆锥支,供应右心室流出道。沿途发出分支,分布于右心房、右心室、部分左心室后壁及室间隔的后1/3,窦房结动脉和房室结动脉通常为右冠状动脉的分支。
左冠状动脉由左冠状窦发出后,在肺动脉起始部与左心耳之间向左行一短距离(短干),随即分为前室间支(又称前降支LAD)和旋支LCX。
LAD沿前室间沟下行,于心尖右侧转向后与右冠状动脉的后室间支吻合。前室间支分支分布于左心室前壁、室间膈前2/3及部分右心室前壁;第一间隔支供应房室束和近端左束支。前降支和旋支夹角处或2支主干部常发出对角支,出现率为42.3%,可有1~2支。起自于前降支的左室前支的第一分支往往在接近肺动脉瓣水平处分出,分布至肺动脉圆锥,称左动脉圆锥支,此支可与右动脉圆锥支吻合成坏(称Vieussen环)。
LCX沿冠状沟向左行绕过心左缘至心膈而,分支分布于左心房、左心室侧壁及左心室后壁。起自于旋支的左室前支往往有2~3支粗大分支分布于心脏钝缘,称钝缘支(或左缘支)。左冠状动脉也可有分支至窦房结。



二、冠状动脉优势型:
沿着心底部,RCA的长度与LCX的长度成反比。穿过心脏交叉点并发出后降支以代表冠状动脉的优势型。70%的人的冠状动脉是右优势型,10%是左优势型,20%是均衡型。

三、冠状动脉分段及供血区域:
影像学常采用分段法分析冠脉解剖和病变。



(图片来自鼎湖影像)



四、冠状动脉变异:
冠状动脉变异包括副冠状动脉、冠状动脉开口异位、冠状动脉分支变异等。副冠状动脉可有1~4支,出现率为43.5%~56.5%,其外径为1.0~2.0mm。副冠状动脉主要起自右主动脉窦,主要分布于肺动脉圆锥,占96.7%,还可分布于右心室前壁、左心房、肺动脉壁、升主动脉壁和左心室等。冠状动脉开口异位的变异比较少见,可有冠状动脉高位开口、多发性开口(最常见为右圆锥支)、冠状动脉起自不相应的主动脉窦、冠状动脉起自肺动脉或心室等,其出现率为1%左右。冠状动脉分支变异可有单个冠状动脉或一侧冠状动脉发出对侧分支,其出现率不足1%。由于冠状动脉变异比较复杂,一种变异类型可包含另一种变异类型,因此并不能把所有变异详细归类。

左右冠脉起源于窦瓣上方的主动脉壁,也可起源于肺动脉或一个主动脉窦有多个开口。

单一冠脉


右冠起源于左窦
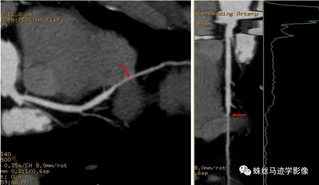
心肌桥/壁冠状动脉:冠状动脉及其分支通常走行于心包膜下方,但有时会以不同的深度在心肌纤维之间走行,然后重新出现在心脏表面,而在心肌纤维内走行的动脉被称为壁冠状动脉 mur alcoronaryartery,MCA),覆盖于冠状动脉上方的心肌称为心肌桥( myocardialbridging,MB)。


五、X线造影、CTCA和MRI成像表现:



冠状动脉CTCA




六、冠脉狭窄的评估和分类:

向心性狭窄:
冠状动脉粥样斑块以管腔中心线为中心均匀向中心缩窄,不同投照角度狭窄程度相同。少见,70%造影提示向心性病变IVUS证明为偏心性狭窄
偏心性狭窄:
冠状动脉粥样斑块以管腔中心线为中心不均匀向中心缩窄,或在中心线一侧缩窄;不同投照角度狭窄程度不相同,合理选择投照角度、以最重狭窄为准,已证明的偏心病变IVUS中仅63%显示为偏心性斑块,IVUS和造影评价病变偏心性的一致性仅为53%
局限性狭窄
定义:长度<10毫米的狭窄
特点:最常见
管状狭窄
长度10—20毫米之间的狭窄,发生率仅次于局限性狭窄
弥漫性狭窄
长度> 20毫米的狭窄,多合并高龄和糖尿病、常伴明显钙化、对血流动力学影响明显
管腔不规则
定义:狭窄程度<25%的弥漫性狭窄,造影提示长段管壁不规则或不光滑
特点:易痉挛、血栓、急性进展
管腔闭塞
定义:冠状动脉管腔完全闭塞,血流中断,远端无造影剂充盈
特点:分支难发现、多于近中段,多于分叉处
七、桥血管示意图:

-END-
声明:本文来源<蛛丝马迹学影像>, 转载于<东湖医学>,以上仅代表作者本人观点,仅用于学习交流,版权归原作者所有。









