
陈代钦 厦门医学院附属第二医院

【人口学信息】
患者:女性 年龄:74岁
【简要病史】
代述:以“呕吐伴呼吸困难约1天。”为代诉入院。查床边肌钙蛋白I0.98ng/ml。D二聚体3.47mg/L。NTproBNP2609pg/ml。床边心电图,窦性心律一度房室阻滞完全性右束支阻滞 ST段抬高:提示急性下壁、侧壁急性心肌梗死部分导联ST-T改变 Q-T间期延长。
查体:
P:114次/分 R:16/分。
BP:114/90 mmHg。

【实验室检查】

【辅助检查】



【临床诊断】
1.急性下壁后壁右心室心肌梗死
2.KillipIV级
3.心源性休克
4.肠梗阻
5.肺部感染
6.肺气肿
7.低蛋白血症
8.低钾血症
【风险评估】
患者诊断急性心肌梗死,随时有发生心源性休克、恶性心律失常、心脏骤停、心肌梗死、心脏破裂等危及生命的可能。

左图:LAD:LM开口至近段30%局限狭窄;LAD开口至近段40%局限狭窄,近段可见动脉瘤,中段60%局限狭窄;LCX支近段50%局限狭窄。
右图:RCA:中段完全闭塞,远端血流TIMI0级。



手术策略
A.血栓抽吸?
B. IABP辅助?
C. 药物溶栓辅助?
D.是否存在不确定因素?如何排除?

右冠AMI直接PCI指引导管选择
基于以下考虑:支撑力 稳定性 相对灵活性
1.SAL1.0 导引导管的特点?
2.选择SAL1.0的适应症?
3.操作步骤与技巧?
4.关键操作建议?
5.常见问题及应对策略?
最终选择:
SAL1.0 型号
中度支撑

SAL1.0 导引导管的特点
1. 增强的支持力:SAL1.0导管相较于传统的Judkins导管提供了更高的支撑力,适合于右冠动脉的复杂病变(如右冠弯曲、钙化病变或多支病变)。
2. 灵活性与稳定性平衡:尽管具有较强的支撑力,但SAL1.0导引导管在操作过程中也相对灵活,能在复杂解剖情况下提供良好的稳定性,减少对血管壁的压力和损伤。
3. 特殊弯曲设计:导管的弯曲设计可以帮助其在较为复杂的右冠动脉弯曲、急性角度病变中,顺利到达病变部位。
4. 较小的内径与外径比:SAL1.0导引导管保持较细的管腔,但能提供强力支持,允许通过较大的导丝或其他介入工具。
选择SAL的适应症
右冠动脉近端弯曲或钙化:对于右冠动脉的急性心肌梗死(AMI)病例,尤其是近端弯曲或钙化病变,使用SAL1.0导引导管可以提供更好的支持力。特别是在处理急性右冠AMI时,强支持力有助于避免导引导管滑移或失去位置。
右冠动脉复杂解剖:如果右冠动脉呈现多支病变或起始部与近端有明显弯曲,SAL1.0可以帮助更好地通过复杂病变区域。
血栓或动脉狭窄:由于SAL1.0导引导管具有较强的支撑力,它能够帮助通过血栓或极度狭窄的冠脉,特别是在急性心肌梗死(AMI)伴有血栓形成时。
SAL导管的操作步骤与技巧
导管选择与准备:首先根据冠状动脉的解剖特点和病变类型选择合适的导引导管。对于右冠AMI,若判断病变较复杂(如右冠近端弯曲或钙化),可以考虑选择SAL1.0导引导管,并确保其与所选导丝和介入设备(如球囊、支架)匹配。
导引导管的引导:SAL1.0导引导管的较强支撑力使其能够顺利穿过冠状动脉的弯曲部位,尤其是在解剖结构较为复杂时。通过合理的导管引导技巧,可以避免在弯曲或钙化病变处失去引导,确保导管到达病变部位。
使用较软的导丝:尽管SAL1.0导引导管提供较强的支持力,但使用较软的导丝(如软性导丝)可以减少对血管壁的损伤,尤其是在处理钙化或高度狭窄的病变时,避免导管与血管的过度摩擦。
慎用力量:在穿过弯曲区域或复杂病变时,使用SAL1.0导引导管时要特别注意控制力量,避免过度推进导管。过大的推动力可能导致血管损伤或导管失位。可以通过小幅度调整导管角度和方向,以帮助导管顺利通过。
血栓处理与介入:如果右冠AMI患者有明显的血栓形成,可以在操作中使用血栓抽吸导管进行血栓清除。SAL1.0导引导管可以为这些操作提供较强的支持力,使得血栓抽吸导管和介入设备能够顺利通过血管并清除血栓。
SAL导管的关键操作建议
平稳操作:在进入急性右冠AMI的病变区域时,操作应尽量平稳,避免急速的导管推进。尤其在右冠弯曲和钙化较重的情况下,应当仔细操作,避免对血管的过度拉扯。
可考虑联合使用血管内超声(IVUS):对于右冠动脉钙化严重的患者,结合血管内超声(IVUS)进行影像学评估,可以进一步帮助指导导管选择与操作。
支架植入与后处理:当SAL1.0导引导管成功引导到病变区域后,球囊扩张和支架植入的过程应该依照标准的PCI程序进行。支架植入后,通常需要进行充分的血管扩张以确保血流恢复,并评估是否存在支架内再狭窄。
SAL导管的常见问题及应对策略
导管难以通过弯曲区域:如果SAL1.0导引导管在通过右冠近端弯曲或钙化区域时遇到困难,可以尝试使用更细、顺应性强的导丝,或者使用导管技巧(如旋转导管或轻微调整角度)帮助导管顺利通过。
血管损伤或穿孔:虽然SAL1.0提供较强支撑力,但如果操作不当,仍可能发生血管损伤。此时要特别小心,避免过度用力,必要时可以调整导管或换用更合适的导管进行处理。

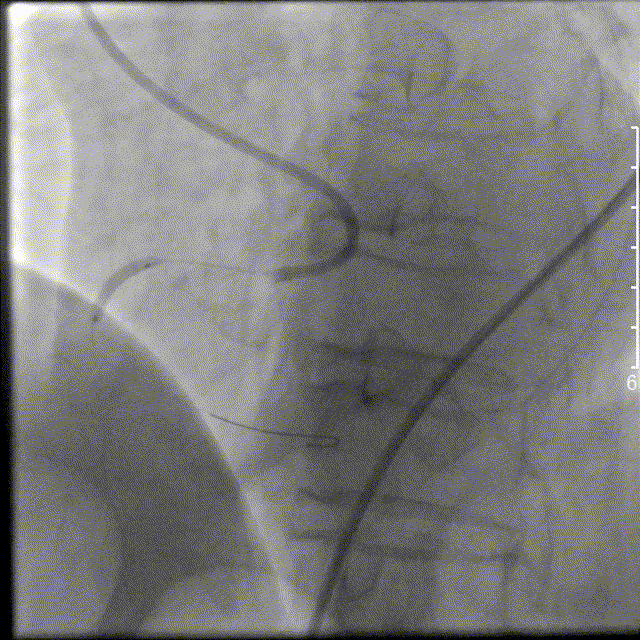
左图:选择6F SAL1.0指引导管,放至右冠状动脉开口,将Runthrough钢丝放至右冠状动脉远段。
右图:以博迈Artimes 2.0×20mm球囊对右冠状动脉中段病变进行扩张,造影见右冠状动脉血流恢复,血流缓慢,可见血栓影。


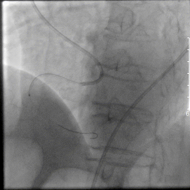
左图:以泰尔茂EXTRACTOR抽吸导管反复进行血栓抽吸。造影见右冠状动脉远段不显影。
右图:将北芯True Reach双腔微导管送至右冠状动脉远段,通过微导管注射替罗非班注射液500ug及硝酸甘油50ug。


右冠远段血流恢复,PDA近段90%局限狭窄,先后以 2.0×20mm球囊及2.5×10mm棘突球囊对后降支近段病变处进行扩张。右冠状动脉血流恢复,血流TIMI3级。术中患者心率慢、血压低,予阿托品注射液0.5mg静脉注射,予去甲肾上腺素持续静脉泵入并间断予间羟胺注射液静脉注射。术后经左侧股动脉行主动脉内球囊反搏。术中共用碘克沙醇90ml。术毕安全送至ICU病房。


术后结果

右冠

IABP

SAL1.0导引导管在急性右冠AMI的PCI治疗中具有重要作用,尤其是在右冠动脉解剖复杂、弯曲或钙化时,能够提供足够的支撑力,帮助导管顺利通过病变部位并完成支架植入。通过合理选择和精细操作,能够有效地提高PCI治疗的成功率和患者的预后。
1.急性下壁心肌梗死的罪犯血管主要为RCA或LCX,其中以RCA闭塞所致心肌梗死最多见。有文献报道,急性下壁心肌梗死中,LCX闭塞的比例约为14.8%~19.5%
2.SAL导管,即短头的AL指引导管,不仅适用于RCA,还能应用于简单的LCA操作。它比传统的AL指引导管头端要短6~8 mm,可以在主动脉窦里灵活转动,对于正常开口位置的冠状动脉,能够较为容易的到位。经桡动脉路径使用SAL指引导管进行冠状动脉造影,操作简单、快捷,并不逊于普通的造影管。
3.直接使用SAL指引导管进行造影及PCI操作,减少了撤出造影管及重新选择导管再次送入冠状动脉的时间(尤其是当靶血管为RCA时),能够缩短D-to-B的时间,尽快开通梗死相关血管。
4.SAL指引导管和普通的AL指引导管一样,对于RCA病变的支撑力要强于常用的JR指引导管,适合经桡动脉进行RCA的PCI手术。我们以往的经验也显示,使用SAL指引导管处理RCA病变安全有效,极少出现导管相关的介入并发症。
作者简介

陈代钦:副主任医师,擅长高血压病、冠心病、心肌病、心律失常、心瓣膜病、急慢性心衰治疗,尤其擅长心内科介入治疗〈冠脉内支架植入木、冠脉内旋磨术、IVUS 检查、FFR 检查、成人及儿童先心病的介入封堵术、TAVR、TEER、临时及永久起搏器植入术。






