写在文章之前:
股骨转子下骨折是一种具有治疗挑战的损伤,有些报道其不愈合率高达15%,畸形愈合率为10% - 15%。改善的结果依赖于适当的复位和稳定的固定,所以医生必须彻底了解损伤特征和复位技术。
一、了解区域解剖和股骨近端变形力。
股骨转子下骨折近端常见的畸形是外展、屈曲和外旋。然而,粉碎性骨折可以改变作用于主要股骨近端的力。比如大转子和/或小转子的移位骨折可以减轻这些变形力。如下图:

与大多数骨折一样,了解骨折类型很重要,重点是识别转子下区域的骨与股骨近端的连续性或整个区域是否粉碎。建议CT扫描进一步描绘骨折类型。

二、复位技术一(参考解放军总医院创伤骨科手术学)
1、外展屈曲移位骨折:

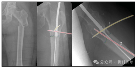
2、近端屈曲畸形的骨折,可以在前方钻入一枚单皮质 Schanz针,连接T形手柄向远端牵拉,下压近端骨块,进行复位;或者在近端骨块外侧和前方经小切口分别置人两枚顶棒,下压并向内顶推复位。

3、近端外展、屈曲的骨折,还可以将髓内钉插人骨折近端,利用髓内钉作为摇杆,控制骨折近端进行复位。但该方法难以控制进针点和进针方向,较少使用。

4、远端向内移位的骨折,可以在远端使用骨钩,同时近端配合顶棒进行复位。

复位技术二(参考实用髓内针治疗学:王秋银主编2023年)
1、


2、


3、

4

5、

三、进针点扩髓对复位的影响
适当的进针点和适度的扩髓可以矫正成角畸形。进针点偏外导致内翻复位不良,在需要扩髓的髓内钉,转子下区与股骨近段相连的部分,如果扩髓不充分,可作为一种变形力(如下图)。外侧皮质会导致内翻畸形,内侧皮质则会导致外翻畸形。

四、阻挡钉辅助复位
髓内钉内固定是一种安全有效的复位方法。阻挡钉可以用螺针、钻头或克氏针来完成。我们提倡使用阻塞针而不是螺钉或钻头,因为能够很容易地作出纠正。在常见的骨折类型中,股骨近端有完整的外侧和前皮质。两根阻挡钉,一根内侧一根后侧,此外,阻断针可作为一种操纵杆,辅助维持复位。

-END-









