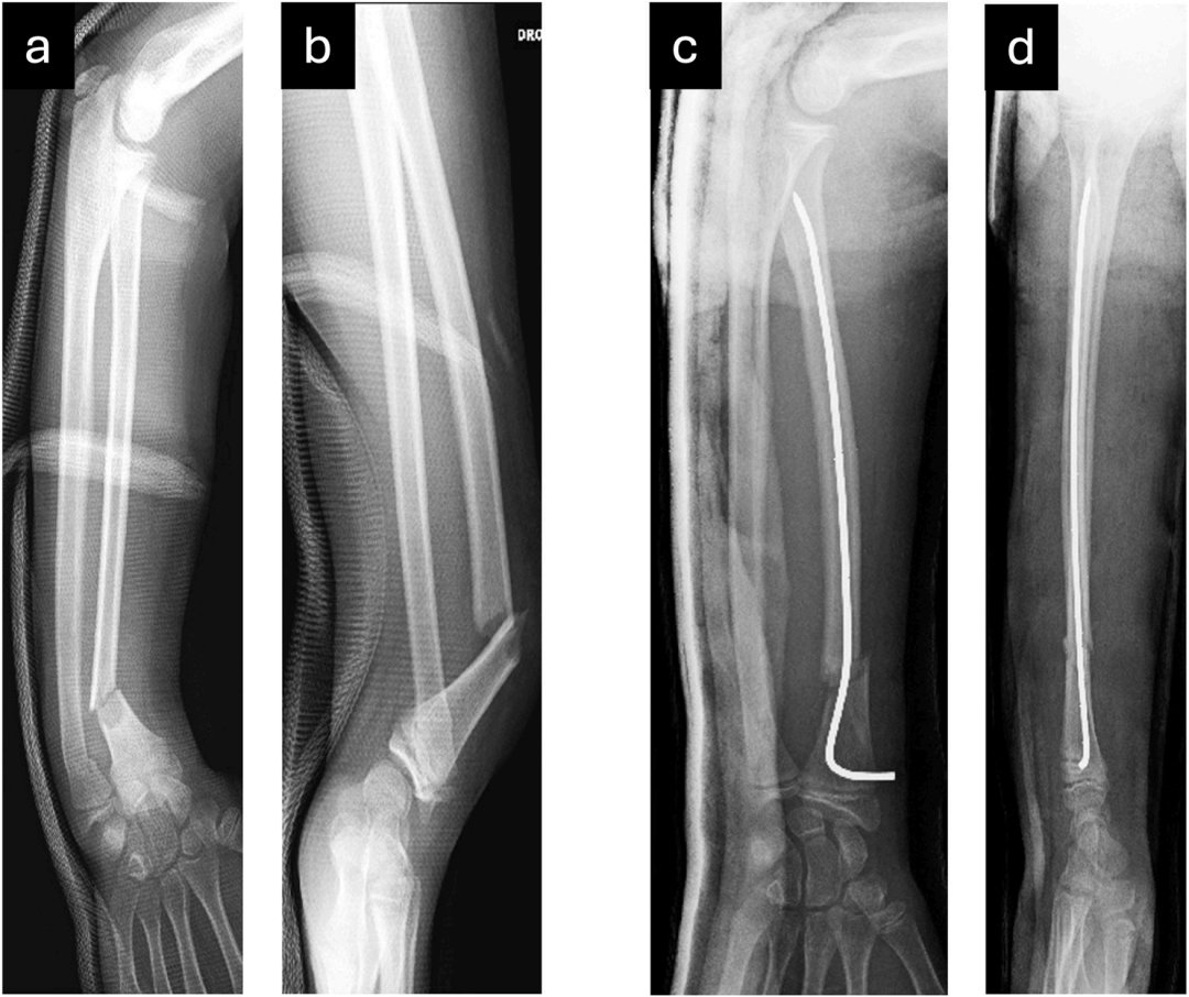
儿童桡骨骨折在复位后通常较为稳定,但极少数情况下,复位后仍存在不稳定,对于干骺端层面的骨折,可采用经骨折端穿针固定,该方法效果确切,对于骨干骨折,则可使用弹性稳定髓内钉(ESIN)。弹性稳定髓内钉具有诸多优包括微创操作、并发症发生率低以及固定稳定性佳等。 位于骨干与远端干骺端之间的中间区域,即远端干骺端-骨干连接部(DMDJ)的骨折,复位后稳定性较差。

这类骨折位置过于靠近端,不适用于经骨折端穿针固定,同时又过于靠远端,弹性髓内钉难以发挥充分的固定效果。因此术后常残留成角畸形。
为解决上述问题,本文提出一种改良的弹性稳定髓内钉技术,用于治疗桡骨远端干骺端-骨干连接部骨折。
手术方法
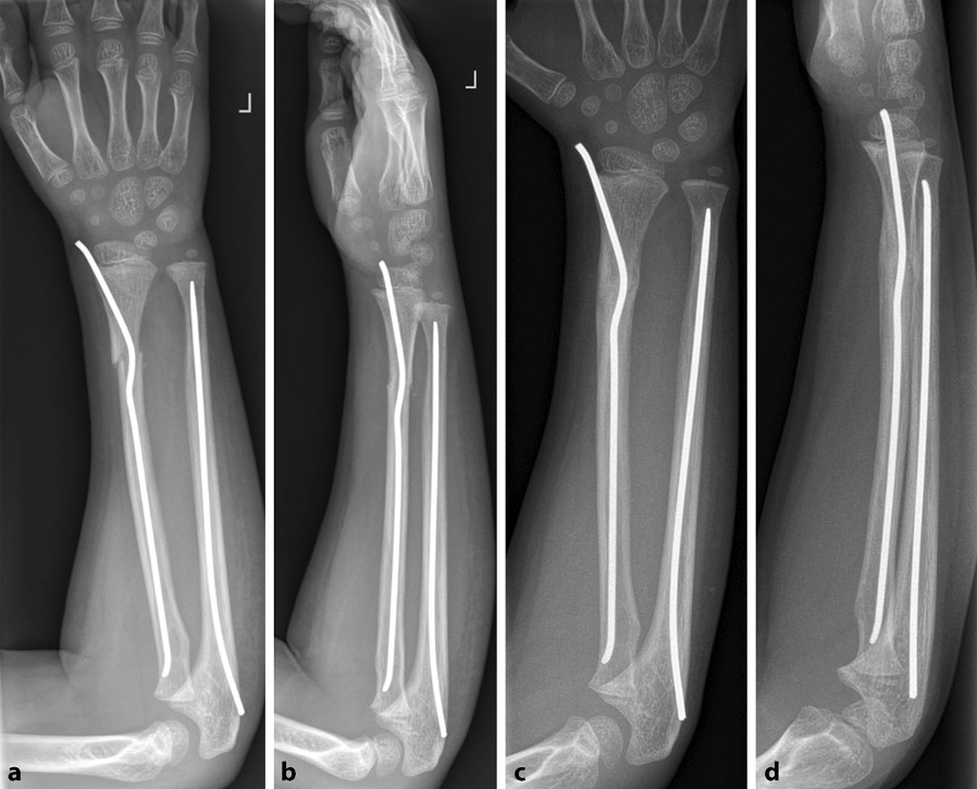
1. 经桡骨入点置入经皮髓内钉,直至抵达桡骨近端。
2. 将髓内钉回撤4cm。
3. :在入点近端4cm处将髓内钉弯折90°。
4. 将弯折段再次推送,直至抵达桡骨近端。
还有学者将90°折弯改为S行,也增加了骨折的稳定性:
将S形结构进行如下折弯:使近端反折点支撑于桡侧骨皮质壁,S形的斜向部分穿过骨折线,远端反折点随即在尺侧支撑于骨皮质,如下图:
-END-









