
踝关节骨折是临床最常见的骨折之一,据统计,15%~23%的踝关节骨折因合并下胫腓联合损伤需要手术治疗。踝关节下胫腓联合的损伤在临床上容易被误诊漏诊,若得不到及时诊治,可能会出现慢性踝关节不稳定、疼痛和关节炎改变。骨折部位的解剖复位和下胫腓联合稳定是患者术后取得良好疗效和预防创伤后关节病的重要保障。本文就踝关节下胫腓联合的解剖、损伤诊断及治疗进行一个简单介绍。
下胫腓联合的解剖
.01
踝关节是胫腓骨远端形成的踝穴,并通过内、外侧两组韧带与距骨构成,下胫腓韧带复合体是踝穴的重要组成结构,连接胫腓骨,在解剖结构和维持功能方面起着重要作用。下胫腓联合包括胫腓骨远端和下胫腓联合韧带复合体。下胫腓联合韧带复合体由四条韧带组成,包括下胫腓前韧带、下胫腓后韧带、下胫腓横韧带和骨间韧带。在组成下胫腓联合复合体的诸韧带中下胫腓横韧带是最长的韧带,最宽的韧带是下胫腓骨间韧带,最厚的是下胫腓后韧带。下胫腓关节是一个微动关节,生理状态时可随着踝关节运动而出现旋转和平移的复合运动,包括上下、前后、旋转及侧方运动。踝关节骨折合并下胫腓联合损伤通常发生在旋前外旋、旋后外旋和旋前外展型损伤,其中以旋前外旋伴有下胫腓损伤最为常见。
上图为患者术后X线片检查图像,外踝骨折行钢板螺钉固定,下胫腓联合损伤行带袢钢板固定。图A为正位片;图B为侧位片;图C为踝穴位片。(来自参考文献5)
上图为下胫腓联合损伤不同固定方式,图A-D患者行下胫腓螺钉内固定术;图E-H患者行下胫腓Endobutton带袢钢板内固定术。(来自参考文献2)
下胫腓联合损伤的诊断
.02
下胫腓联合损伤的诊断主要通过临床评估、影像学检查和术中评估。一般患者会有踝关节外伤病史,在进行体格检查时会发现下胫腓联合位置压痛明显。影像学检查包括踝关节正侧位X线片检查、踝穴位X线片检查、CT以及MRI检查。CT有助于评估胫骨和腓骨之间的相对位置,可以更好地了解是否存在后踝骨折,以及隐匿性骨折的诊断。在多达40%的病例中,经过CT检查后原本治疗计划会改变。磁共振成像对于下胫腓联合损伤的诊断具有较高敏感性和特异性,并且对相关关节内病变可以提供更详细的评估。有报道指出关节镜检查是诊断下胫腓联合损伤的金标准,但其属于有创操作,有可能给患者带来疼痛等不适感觉。术中评估方法包括拉钩试验、外翻应力试验以及丝攻试验。完成固定后可以直视下行拉钩试验,如腓骨外移超过3mm或术中外翻应力位X线片与对侧相比胫腓切迹明显增宽等,都可作为判断下胫腓韧带复合体损伤的依据,丝攻试验作为上述2 种方法的补充和验证,当骨折固定后遗留下胫腓不稳定时,随着丝攻的拧入,使得下胫腓分离或内踝间距增大即为阳性。
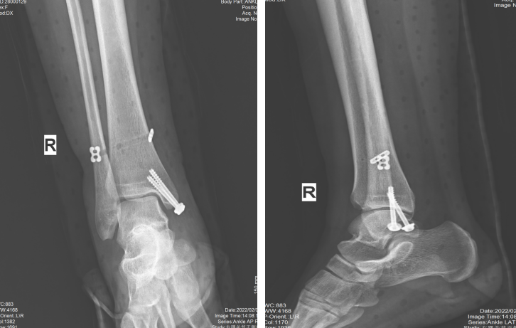
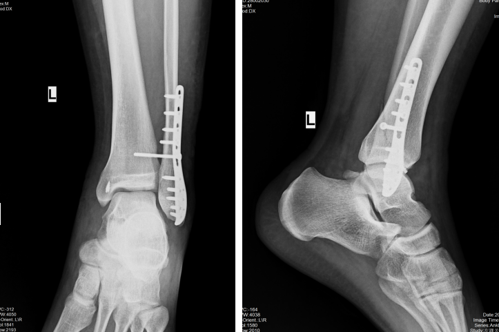
上图为踝关节骨折伴下胫腓联合损伤患者,图1、图2为下胫腓螺钉固定;图3、图4为下胫腓带袢钢板固定。(来自临床病例)
下胫腓联合损伤的治疗
.03
针对踝关节骨折合并下胫腓韧带损伤治疗的关键在于解剖复位骨性结构,重建踝关节稳定性,从而避免了踝关节间隙增宽或不对等,降低了踝关节不稳和创伤性关节炎的发生率。目前临床上对于下胫腓联合损伤常用的固定方式分为刚性固定和弹性固定。刚性固定一般是螺钉固定,螺钉固定也是下胫腓联合损伤最常用的治疗方式,螺钉固定的优势包括操作简单、花费相对较低、能够保证足够的固定强度等,也存在一定的不足,包括慢性残余疼痛、螺钉松动、螺钉断裂、踝关节僵硬、术后非负重康复时间较长等。且因下胫腓关节为微动关节,螺钉术后8~12周左右需要再次手术取出,若不及时取出便下地负重行走可导致螺钉断裂,取出螺钉增加了二次手术费用及手术相关风险。弹性固定一般为带袢钢板固定,弹性固定优势在于固定更符合生物力学要求、能够允许早期下地负重、无需二次手术取出等,当然该固定方式也存在一定弊端,包括手术操作时间相对更长、费用高、技术要求高,术后容易发生纽扣松动、皮肤激惹导致感染等并发症。近年来有研究报道指出用可吸收螺钉固定下胫腓联合损伤,与金属螺钉相比,可吸收螺钉的优势在于组织相容性好、无需二次手术取出等。各种固定方式各有利弊,目前对于治疗方式的选择尚无统一标准。









