
夏茏 成都市第三人民医院

79岁 老年男性
主诉:反复胸闷1+月
现病史:1+月内,患者活动后出现胸闷症状,伴心悸,持续10min,休息可缓解,剧烈活动可加重,为进一步治疗,收入我科。
慢病史:2型糖尿病病史13+年,平素服用二甲双胍、阿卡波糖控制血糖,未规律监测血糖。类风湿性关节炎10+年,未诊治。前列腺增生病史5年,长期服用保列治及哈乐治疗。
既往史:自诉1976年曾诊断病毒性心肌炎(具体不详)。
个人史:不抽烟、不酗酒。



【检查结果】




【化验检查】





1. 冠状动脉粥样硬化性心脏病
不稳定性心绞痛
2. 2型糖尿病
3. 类风湿性关节炎
4. 前列腺增生







综合评估


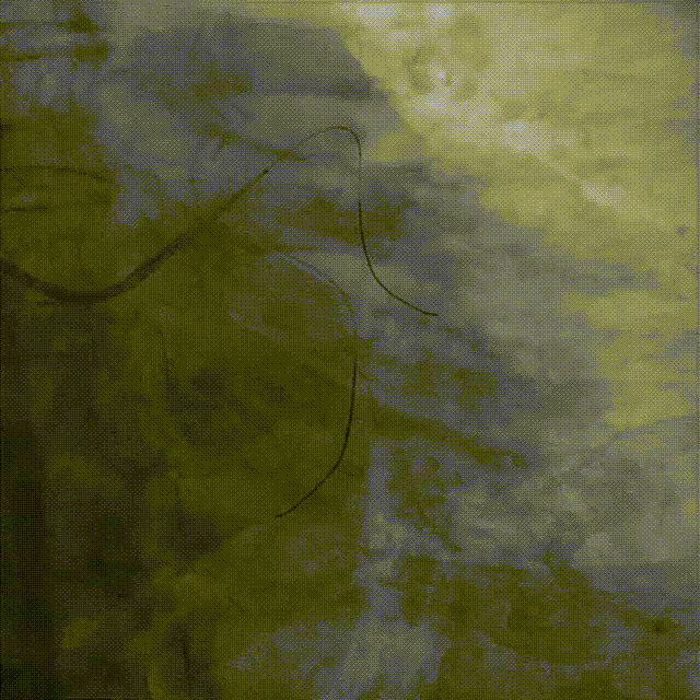
1、有症状,心电图有变化,造影提示临界病变;
2、提示罪犯病变可能是左主干or对角支。腔内影像学+功能学评估罪犯血管?
3、基于患者年龄偏高,整体血管情况还比较好,又是临界病变,不确定2处病变是否都需要处理;所以先选用JL3.5常规开局;若影像学判断后需要更强支撑则可以坐窦底获取双点支撑,也能满足手术需要;
4、基于患者血管情况判断手术难度不会太大,6F足以提供器械兼容需求;

1.容易到位,操作相对简单;6f 完全足够器械操作要求;
2.左主干病变,尤其是左主干开口病变,JL是首选;
3.如担心支持力不足,可深插Guiding,以主动脉壁及窦底提供双重支撑力;

Launcher JL 长同轴段设计,更加稳定。

其他品牌JL35

Launcher JL35
Launcher JL的头端同轴段相对其他品牌JL长3mm,临床获益显著:
√更易入冠;
√更加稳定,更好支撑,改善JL在支撑力方面的短板;

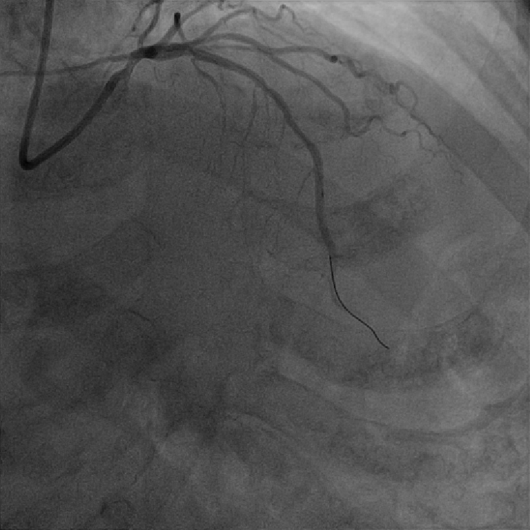
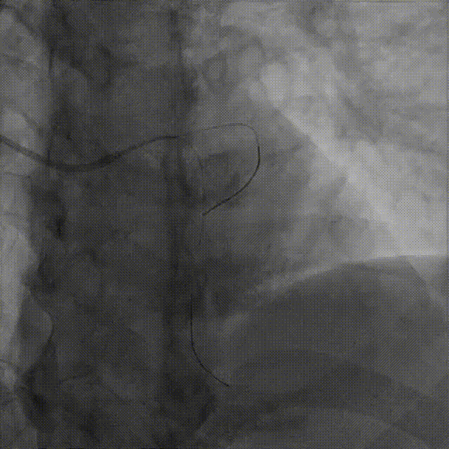
1,过导丝,通过病变,行IVUS


2,由远至近IVUS评估,不同切面对应不同面积,提示左主干面积4~5mm²,属于重度狭窄,需要介入治疗。





3,担心guiding深插对开口2次损伤,放窦外导丝进一步保护,根据ivus指导,植入4.0x18mm 支架。


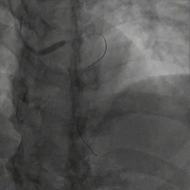
4,不同体位确定开口位置,释放支架。


5,植入后,复查ivus,评估支架植入效果。


6,IVUS 评估后,最小面积未达到8mm²最小官腔面积。需进一步后处理。



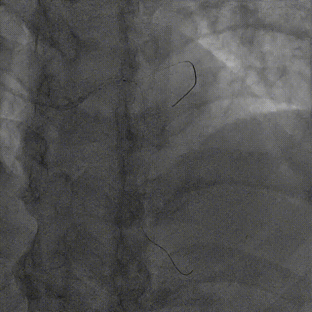
介入经过——最后影像
7,给与4.0x15mm非顺应性球囊进行高压后扩张,压力维持在16~20atm。最后检查血管影像。


非顺应性球囊4.0*15mm。

1.造影不能确认的病变,腔内影像学指导至关重要。
2.左主干病变,JL3.5指引导管进可攻(提供足够的支撑力,通过需要的器械),退可守(可随时离开冠脉口,便于左主干支架开口处精确定位),是首选。
作者简介

夏茏 成都市第三人民医院
成都市第三人民医院心内科 主治医师。
现主要从事临床、冠心病、介入治疗等领域的研究工作。
成都市胸痛联盟秘书。
四川省医学会委员。
成都市冠脉先锋成员。
四川省医疗卫生与健康促进会委员。
国家卫健委冠脉介入培训基地秘书。
四川省医学科技创新研究会肥胖与代谢疾病分会委员。
四川省医学数字化科技应用研究会心血管专委会委员。
承担成都市卫健委课题一项,参与国自然课题一项。





