
张博 兰州大学第一医院
![]()
男性,70岁
间断心悸、胸闷5年,加重1月
既往史及危险因素:吸烟史
入院诊断:陈旧性下壁心肌梗死
查体:T 36度,P71次/分,BP154/88mmHg,余阴性
检查结果:心电图下壁导联病理性Q波
![]()


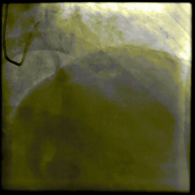
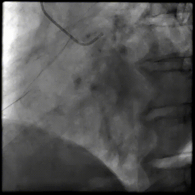
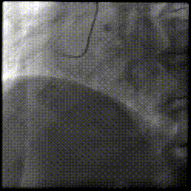
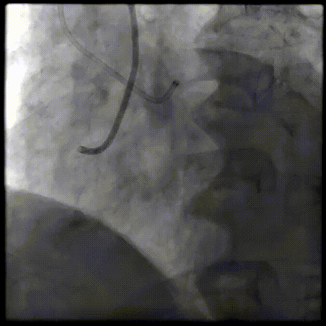
LCX远端100%闭塞;右冠低位开口且近端上翘走行,中远端闭塞。


![]()
A.优先考虑桡动脉入路;
B.分次手术,先干预LCX,再考虑开通RCA,必要时逆向,经间隔支CC;
![]()
右冠开口异常指引导管选择
基于以下考虑:
经桡入路,优先6F;
易操作,易到位,安全性高;
对于低位开口且近段上翘的右冠,可以考虑选用JL3.5/JL4指引导管,也可以使用JR3.5/JR4深插来实现良好的同轴及支撑;
右冠CTO病变需要使用7F导管,提升支撑性。
最终选择:
RCA:7FJL4 GC LCA:6FJL4型号
JL导管的优势
1、常规处理左冠病变,JL导管到位简易,操作简便;
2、长头同轴设计,提高稳定性和支撑性;
3、对于部分上肢入路困难的病例,考虑到更换指引导管困难,又需要同时干预左右冠病变,可以考虑使用JL,先后处理左右冠,避免更换指引导管带来的不变和风险;
4、对于低位开口且近段上翘的右冠,可以考虑选用JL3.5/JL4指引导管,也可以使用JR3.5/JR4深插来实现良好的同轴及支撑。
![]()
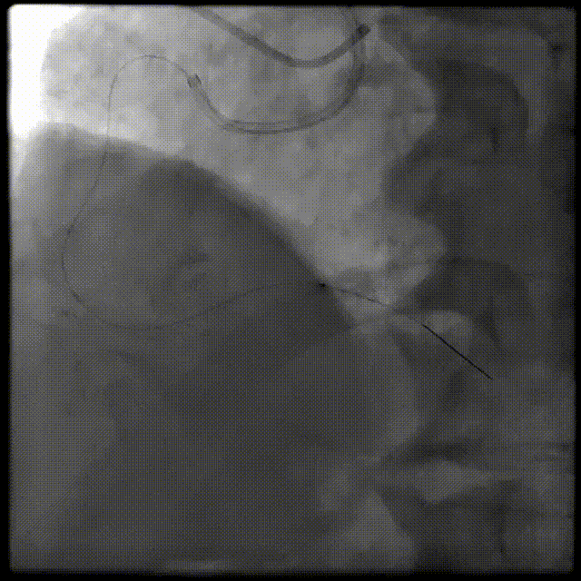
介入经过-第一次PCI旋支血运重建成功


介入经过-第二次PCI
RCA : 7F JL4 GC LCA : 6F JL4


介入经过-第二次PCI
FINECROSS MC + Pilot 50


介入经过-第二PCI
Sprinter1.25*6mm&2.5*15mm,2.5*35mm&2.5*15mm Stent


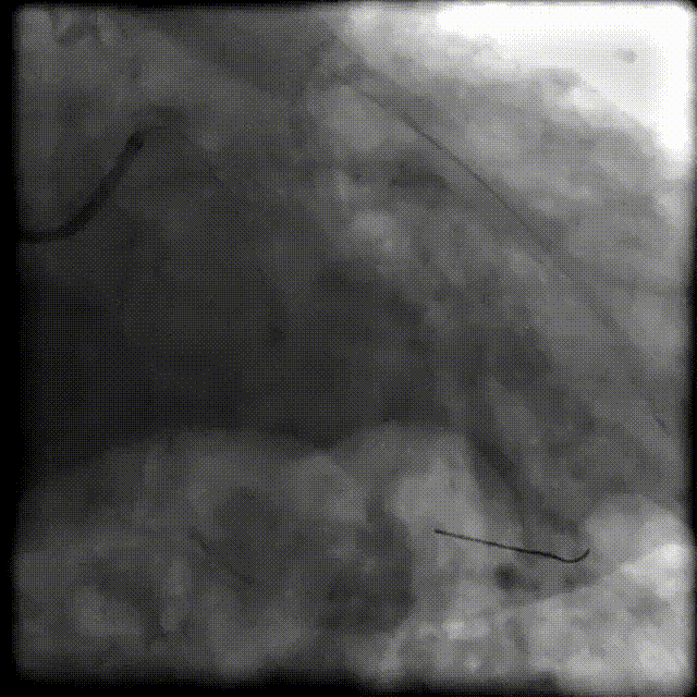
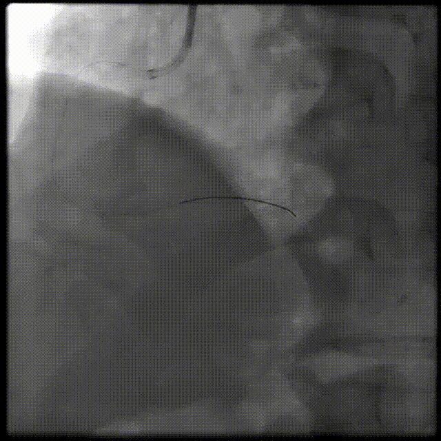
介入经过-最终造影

![]()
1、经桡入路优先考虑6F GC;
2、对于CTO和其他复杂病变,GC的支撑力是首要考虑因素;
3、常见选择的RCA强支撑导管主要是AL、XBRCA、MAC等;
4、部分开口异位或者升主动脉内径增宽的病例,以上常见的强支撑右冠GC:AL、XBRCA、MAC无法提供足够的支持,往往需要换用其他指引导管,例如JL、EBU、MP1-2等;
5、右冠开口呈牧羊鞭样病例,或者升主动脉内径增宽的病例,在需要超强支撑指引导管时候,JL导管有独特优势,可以提供术者需要的足够支撑力;
6、对于部分上肢入路困难的病例,考虑到更换指引导管困难,又需要同时干预左右冠病变,可以考虑使用JL,先后处理左右冠,避免更换指引导管带来的不变和风险;
7、对于低位开口且近段上翘的右冠,可以考虑选用JL3.5/JL4指引导管,也可以使用JR3.5/JR4深插来实现良好的同轴及支撑。
作者简介

张博
张博,兰州大学第一医院心内科主任医师,特长复杂冠脉介入治疗。
中国医师协会心脏重症分会心衰学组委员,
中国医师协会心血管分会影像及超声学组委员,甘肃省心血管介入质控中心副主任。





