
要点
1 永久性下牙槽神经损伤 inferior alveolar nerve injury,IANI 损伤的发生率在0.35%至8.4%之间。
2 在安全的临床实践中,及时、准确地术前显示神经至关重要,可以减少不必要的诉讼风险。
3 与全景片片相比,CT成像在显示神经和牙齿关系方面具有更好的敏感性和特异性。
下牙槽神经系下颌神经的最大分支。下牙槽神经沿翼外肌内侧面下行,经下颌孔入下颌管,在管内发出多数小支,至下颌的牙齿和牙龈;终支出颏孔,称颏神经,分布于颏部和下唇的皮肤。下牙槽神经在入下颌孔以前,分出下颌舌骨神经,至下颌舌骨肌的下面,支配下颌舌骨肌和二腹肌前腹,为运动支。在进行下颌手术时,可在下颌孔及颏孔处麻醉此神经。
病例介绍
本病例报告介绍了一例伴有牙源性囊肿的阻生第三磨牙,其中下牙槽神经外露并沿下颌的外侧表面运行。
这是一种极其罕见的解剖变异,大多数下牙槽神经位于第三磨牙的下方和舌侧。

图1:下牙槽神经从下颌骨中穿出

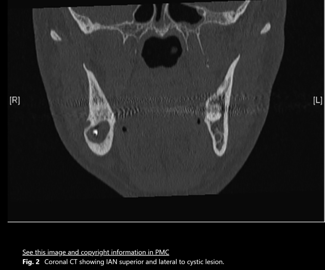
图2:冠状面看位于囊肿上方和颊侧(一般偏舌侧)

图3 骨板及位于颊侧的下牙槽神经(尚未分离)
在手术中进行翻瓣以暴露第三磨牙时,遇到了一些阻力。经过仔细检查,发现一根与骨膜瓣粘连的绳索状结构。将其轻轻分离后,确认该结构为下牙槽神经。该神经在距离口腔皮质骨外侧1.5厘米处穿出,且没有骨组织覆盖,随后重新进入下颌骨。

图4 分离后且非常清晰的下牙槽神经
下牙槽神经被提起后,骨板上的凹槽显露出来。进一步对CT图像进行检查,确认下颌神经从颊侧骨板穿出,并且在神经与囊肿之间存在正常骨质,下颌神经在一个开放的通道内自由移动。
这个放射学发现得到了临床验证:在摘除囊肿后,仍然存在坚实的骨质,左侧下颌神经的放射学检查显示其解剖结构正常。为了保护下颌神经,实施了牙冠切除术,并缝合了术区。术后3个月复查未发现下牙槽神经分布区域有感觉异常,复查的全景片显示骨愈合良好,剩余牙根位置稳定。组织病理学特征与牙源性囊肿一致,囊壁存在慢性炎症浸润,并被炎性鳞状上皮覆盖。
讨论
关于下牙槽神经的走向,已有众多解剖学和影像学研究。在大多数情况下,下颌神经位于阻生第三磨牙下方,且其与牙齿的位置关系通常在颊舌方向上变化。Maegawa等人发现,74%的下颌神经在下颌第三磨牙下方和舌侧运行。本案例中,下颌神经在第三磨牙上方和颊侧的位置非常罕见。我们认为这是第一个临床与放射学关联的外露下颌神经报告(图2、图3)。目前文献中尚无相关变异发生率的信息。
有观点认为我们的发现可能是囊肿造成的,而非解剖变异。然而,考虑到没有骨扩张或下颌轮廓变化,我们认为这种变异更可能是解剖性的。囊肿与神经之间存在完整的骨板进一步支持了这一假设。虽然已知牙源性囊肿可导致下颌神经管位移,但在18.1%的牙源性囊肿中,下颌神经的外露未被报告。因此,我们认为在此情况下看到的神经外露更可能是解剖变异,而非病理性结果。
下颌神经永久性损伤的发生率从0.35%到8.4%不等,尽管这种并发症罕见,但对患者的影响可能重大。术前准确地可视化神经对于安全的临床实践至关重要,且有助于降低不必要的诉讼风险。虽然全景片常用于预测下颌神经与下颌第三磨牙的位置关系,但其无法进行三维评估。锥形束CT(CBCT)在显示神经与牙齿位置关系方面显示出更好的灵敏度和特异性,能够帮助外科医生设计手术方案,最大限度地降低风险。
在本病例中,CT提供了有关神经接近程度和外露的重要信息,促使手术方案进行调整。若没有这些信息,翻瓣手术可能会导致下颌神经损伤。作者建议在评估普通X光片上显示不良特征的第三磨牙时使用锥形束CT。
参考文献:

本文来源于网络,转载仅作分享









