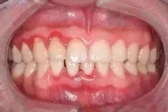
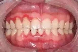
对于牙龈上长脓包,可能很多人以为是简单的牙龈发炎,吃点消炎药就没事了,甚至有些人会想要自己挑破脓包。其实这些做法都是不正确的,应对脓包,一定要从「根源」了解牙龈为什么会长脓包。
牙龈长脓包,通常有两种情况
牙根发炎导致
牙龈脓包治疗方式
根尖炎导致的治疗方式:
-END-
声明:本文转载自<口腔科普网>,仅用于学习交流,如有侵权,请立即联系我们处理。内容仅代表作者个人观点,望大家理性判断及应用。









