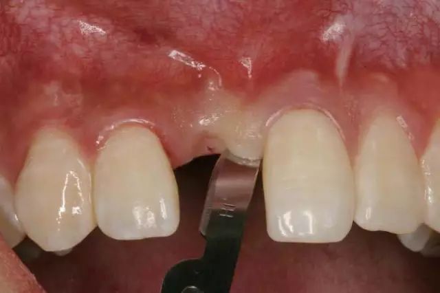
翻瓣术是用手术方法将部分牙周袋及袋内翻,并翻起牙龈的粘骨膜瓣,在直观下刮治净龈下牙石和肉芽组织,必要时可修整牙槽骨,然后将牙龈复位、缝合,达到消除牙周袋,或使牙周袋变浅的目的。翻瓣术是应用最广泛的牙周手术方法,也是很多其他手术如骨成形术、植骨术、引导性组织再生术等的基础。
适应症
1、经基础治疗后牙周袋仍在5毫米以上,且探诊后出血者。
2、袋底超过膜龈联合界,不宜作牙周袋切除者。
3、有骨下袋形成,需做骨修正或移骨者。
4、根分叉病变伴深袋或牙周——牙髓联合病变需暴露根分叉者。































-END-
声明:本文转载自<口腔视频>,仅用于学习交流,如有违规侵权,请立即联系我们。内容仅代表作者个人观点,望大家理性判断及应用。









