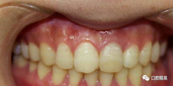
患者,女,31岁。于我院行21根管治疗。21呈生理动度。与邻牙参照略有变色。治疗数周无急性症状,但偶有不适。21唇侧根尖区有膨隆感,扪诊(+),质软,局部牙龈略红肿。转诊时口内照

CBCT检查发现21内吸收,已做根充。根尖周可见约10mm*7mm*7mm范围低密度影像,近11,22根尖区。边界清楚。可见超充药物,查看病历曾使用碘仿和VITAPEX。



考虑21慢性根尖囊肿。拟定行囊肿切除+根尖切除倒充术。详细交代可能出现并发症,病人理解同意手术治疗。延期进行牙齿美白和美容性修复。完善术前检查,择期手术。
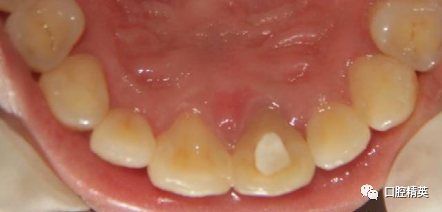
术前口内照

麻醉(唇系带同期修整)

改良梯形瓣切开,范围要充分

保留美学区域软组织及其附着



边角区轻柔翻全厚瓣,始终以轻柔动作处理软组织瓣并保湿。由两侧向中上方向翻开。

术前检查已知唇侧骨开窗,囊壁与软组织瓣会出现粘连,采用锐性分离,轻柔分开组织瓣并彻底清理瓣内侧。


初步分离后可见较厚的囊壁暴露,夹持后分离囊壁与骨面,争取完整分离。

囊肿后壁与骨面粘连严重,术中破裂,可见大量豆渣样组织和药物颗粒。

初步清除。21根尖完全暴露。刮除21根尖区腭侧囊壁,此区域操作不便,易留有残留组织。

种植手机球钻轻打磨骨窝洞,直至暴露新鲜骨面。21根切倒充,玻璃离子充填。骨窝洞开血井,保证血供。

BIO-OSS骨粉混合PRF填补骨缺损。

上方覆盖PRF膜3-5份。完全覆盖骨缺损,减张缝合。

唇系带处理后做第一缝合位点,梯形边角区做第二第三缝合位点。

缝合完成。塞治剂塞治,局部加压。

术后CBCT



术后两周拆线,复查X光片。



美学区软组织无退缩或外形改变。根尖区充填密实,根尖周组织初步愈合。记录牙体颜色变化。交代注意事项,4-6周复查。3-6个月完成美白及修复治疗。









