
在后牙区,由于日常清洁较为困难,邻面龋坏总是导致邻面边缘缺损,无论合面缺损大小,我们都有必要使用曾被称之为“牙本质替代物”的东西,去提升邻面缺损,这样有以下几个好处:
牙本质的生物学保护
优化洞型设计,避免出现倒凹(在间接修复时)
抬高龈壁边缘,避免牙冠延长的需要。
已经提出了许多材料来满足生物学和临床要求。汞合金、玻璃离聚物、树脂改性玻璃单体、化合物、可流动复合材料、可注射双固化或化学固化复合材料。所有这些材料都展现出不同的结果,成功或失败。
1.树脂改良型玻璃离子,适用于口腔卫生条件较差、边缘较深且无釉质的患者
本文将介绍树脂改良型玻璃离子在边缘提升中的应用。

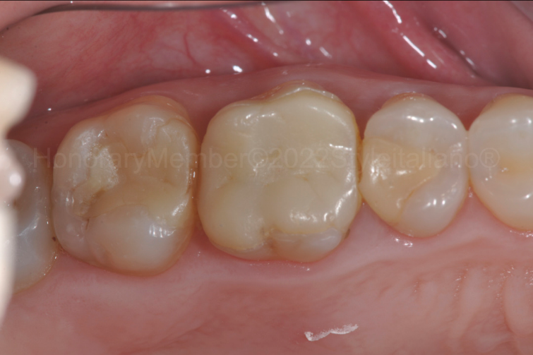
图一:患者男,47岁,因牙龈出血而来,原因可能是由于25、26、27邻接点的丧失导致的。目前25、26、27邻面的旧修复体为16年前进行修复的,使用了双固化复合树脂作为牙本质替代体,行嵌体修复。这次的治疗方案是:使用3个铸瓷修复体重新恢复邻接关系,替代原修复体。

图二:在去除原修复体后,于25、26牙邻面龈壁可发现一些腐质,去除这些腐质,边缘深至龈下,邻接区无残留釉质,因此,决定使用树脂改良型玻璃离子重建边缘解剖结构,为什么呢?有以下几点原因。
-
边缘封闭的完整性可经受时间的考验。 -
纯树脂对龈沟内的酸性环境更敏感。 -
化学固化阶段材料应力较低。 -
与牙本质的自然粘接。 另一方面,树脂改良型玻璃离子具有较低的机械性能和电阻。

图三:即使GIC对湿性环境不敏感,为了实现深边缘的完美隔离,仍上了橡皮障和金属成型器。这一步骤至关重要,因为它是修复生物相容性的基础。一个塑料楔子被牢固地放置,使金属成型器位于龈壁下方紧贴龈壁,避免血液渗透龈壁。

图四:使用聚丙烯酸在10秒内进行表面处理。然后吹干,并进行表面干燥。

图五:树脂改良型玻璃离子水门汀( DeltaFill , DMG公司)被激活,振动并放置到分配器中,并在邻接区域注射,以覆盖邻面缺损的下部。


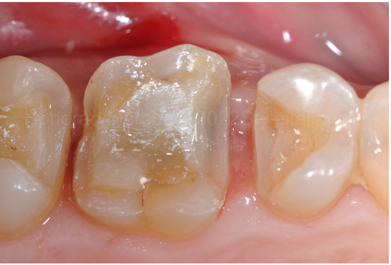
图六:为了减少材料的应力,必须进行一分钟的化学固化后,撤除橡皮障,楔子等工具。

图七:为了给嵌体修复提供所需的厚度,进行了嵌体修复的预备。深的龈壁边缘不再存在。由于牙本质替代物,我们将龈壁边缘提高到龈上水平,以精确所有即将到来的临床步骤(印模、临时和粘接方案)。

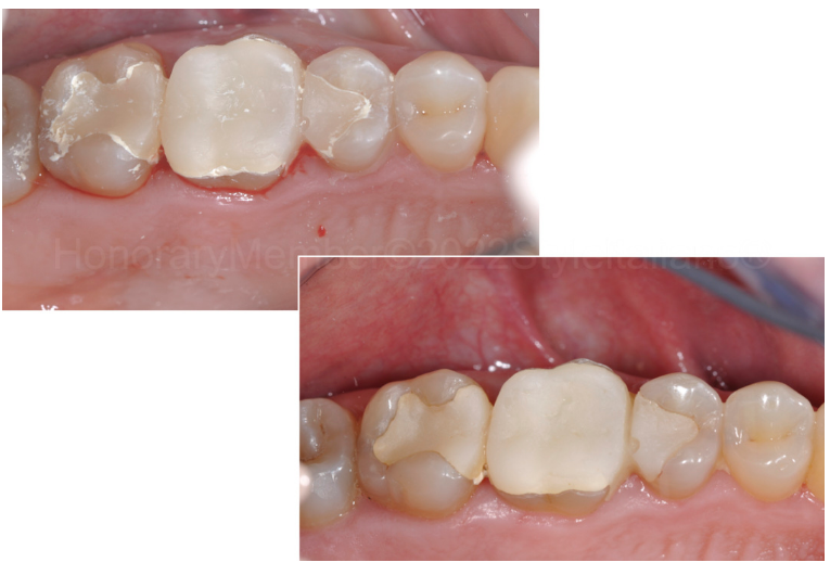
图八:印模制取。

图九:全瓷嵌体。

图十:临时嵌体的制作。

图十一:修复体粘接。

图十二:使用泡沫树脂塑型工具,保证修复体和牙面之间的粘接树脂厚薄均匀一致,提高粘接成功率。

图十三:最终。
总结:这种龈壁提升的有点是什么呢?我们为什么要花费时间进行龈壁提升?首先,进行牙本质密封(化学和机械)使修复体粘接术后不再敏感,为取模,最终修复,创造了良好的底部环境,提高了修复体的使用寿命,减少其脱落的风险。









