
李晓涛 望京医院

主诉:胸闷3小时
现病史:患者于住院当日3:00突发胸闷,伴大汗,3:38来我院急诊,心电图示:急性下壁心肌梗死,完全右束支传导阻滞;肌钙蛋白I:138.8ng/mL。
既往史:高血压史5年,2型糖尿病史5年,吸烟史40余年。

【体格检查】
HR 64次/分,血压:120/91mmHg,神清,双肺呼吸音清,未闻及干湿性啰音;心律齐,各瓣膜听诊区未闻及病理性杂音;腹部平软,双下肢无明显水肿。
【实验室检查】
血糖 7.99mmol/L,肌酸激酶同工酶 6.17ng/ml;D-二聚体 0.74mg/l;血常规检查正常。
【辅助检查】
心电图——窦性心律,完全右束支传导阻滞,II、III、avF导联ST段抬高。

冠状动脉粥样硬化性心脏病
急性下壁心肌梗死
Killip II级
高血压2级 极高危
2型糖尿病

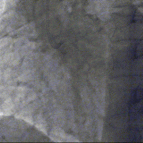
前降支中段重度狭窄,中间支近段重度狭窄。


右冠分叉病变:右冠状动脉扭曲较严重,近中段以及远段至后降支近段存在重度狭窄。



分析思路:从造影中看到了什么?
此患者为分叉病变,罪犯血管是右冠状动脉远段至后降支近段;
此病变类型为真性分叉病变;
右冠状动脉全程较为迂曲伴钙化,可能会为随后器械推送带来阻力和困难;
如出现推送器械困难情况,可加用延长导管或换用支撑力更强的指引导管。
手术策略
A. 患者右冠状动脉迂曲明显伴钙化,考虑手术过程中指引导管需要提供一定支撑力,选择了SAL0.75,必要时联合应用延长导管;
B. 考虑后降支和左室后支近段病变重,而左室后支开口病变不严重,考虑首选Crossover术式,必要时给予联合药物球囊或采用双支架技术;
C. 考虑近中段病变稳定,FFR评估后决定是否干预。

基于以下考虑:
由于经桡动脉鞘管为6F,右冠状动脉近中段可见明显扭曲钙化,预估器械推送阻力较大且术式相对复杂,而右冠状动脉远段分叉病变处理需要指引导管提供一定支撑力,因此选用6F SAL 0.75指引导管。端头SAL 0.75较长头SAL 1.0发生嵌顿风险较低,开口发生夹层并发症也较低,安全性相对较高。
最终选择:
6F SAL.75型号


安全无创
SAL头端入冠不深,几乎没有嵌顿现象,可避免刮伤主动脉窦,避免损伤靶血管和主动脉壁。
灵活操作
SAL指引导管在主动脉窦里可自如转动,入冠和撤出操作较简单,术者可灵活调整以适应不同右冠解剖形态及头臂干异常。



中强支撑
1、与AL相同,SAL指引导管的第2弯曲可下坐至窦底,提供后坐支撑力,术者还可通过型号选择及主动操控实现窦底+对侧壁支撑模式。
2、右冠开口不高时可进一步后座至右窦底,实现同侧窦底支撑模式。
3、可为绝大多数病变介入治疗提供支持力,可作为治疗右冠状动脉病变的常规选择。



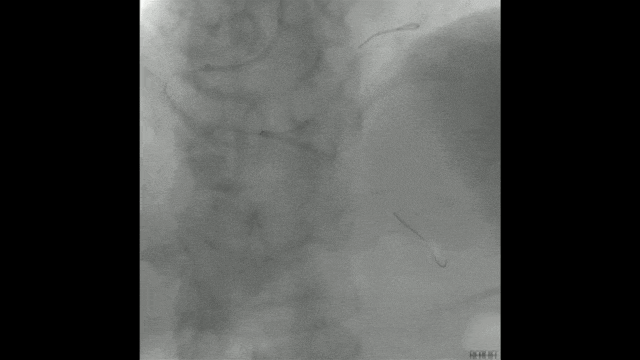
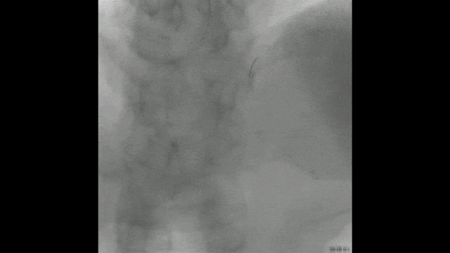
SAL0.75指引导管到位:坐到右窦底边顺时针旋转边上提。

双导丝分别到达后降支和左室后支远端,并进行球囊扩张。

右冠状动脉远段至后降支近段植入一枚支架,左室后支近段药物球囊扩张,最后欧进行对吻扩张,近中段FFR值在正常范围,未予以干预。



1、正常冠脉解剖形态最常用的SAL指引导管型号是SAL 1.0。临床术者在选择SAL指引导管的型号尺寸时,可结合对指引导管的支撑力需求、头臂干解剖形态、主动脉宽度、冠脉开口位置及对同轴段支撑力进行综合评估。
2、
需要AL强支撑,又担心损伤开口的情况下,可考虑大半号的SAL。3、
SAL指引导管深插操作:一般情况下适用于5F&6F的SAL指引导管,不建议用于7F&8F;
如果直接送导管,导管反而会脱离冠脉口, 应先退导管,使导管顺着导丝/球囊与冠脉口达到同轴状态,再滑入指引导管。
作者简介
李晓涛 望京医院
副主任医师,医学博士。
擅长冠心病介入、高血压、心力衰竭、心律失常、心脏神经官能症等心血管内科疾病的中西医诊治。
长期从事冠心病介入诊疗和心律失常疾病介入诊疗工作。对冠状动脉介入诊疗,特别是急性心肌梗死介入治疗方面有丰富经验;熟练掌握IVUS(血管内超声)、IABP(主动脉内球囊反搏)及临时起搏器等技术。
以第一作者或通讯作者在SCI和中文核心期刊发表专业论文30余篇。
主研方向:冠心病和常见心律失常疾病介入治疗和中西医结合治疗,心力衰竭、高血压中西医结合治疗。






