
莫凡睿 柳州市工人医院
![]()
患者赵某某,男性,64岁,因“反复胸闷痛3月余。”于2025-03-10入院
![]()
【体格检查】
入院时查体:T:36.5℃,P:78次/min,R:20次/min,BP:153/75mmHg;神清,两肺双肺未闻及干湿性罗音,HR78次/分,律齐,心音正常,各瓣膜未闻及杂音。
【入院前检查】
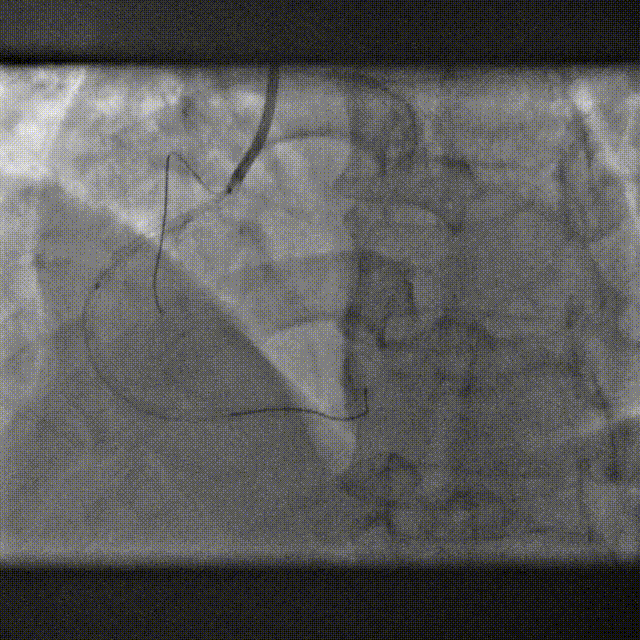
入院前检查(2025-01-14外院)行CAG术提示:左主干未见狭窄,前降支近中段后完全闭塞,前向血流TIMI 0级,回旋支近段60%-70%狭窄,远段95%狭窄,前向血流TIMI3级。右冠全程弥漫病变,近段至中远段,弥漫80%-90%狭窄,远段次全闭塞,前向血流TIMI3级,可见逆向血流供应前降支远段。
【辅助检查】
随机血糖: 葡萄糖 10.53↑ mmol/L。糖化: 糖化血红蛋白A1C 8.0 ↑ %。空腹血糖: 葡萄糖 18.22↑ mmol/L。血常规、凝血功能、肝肾功能、电解质、心肌酶、血脂、甲功未见明显异常。2025-03-10柳州市工人医院心电图报告单:1、窦性心律 2、ST-T改变。心脏超声心动图:室间隔与左室壁增厚左室收缩功能未见异常 左室舒张功能减低I级。
![]()
【临床诊断】
1 冠心病 不稳定型心绞痛 心功能Ⅱ级 PCI术后;
2 高血压病3级(极高危)3.2型糖尿病
【用药情况】
阿司匹林肠溶片 100mg qd
替格瑞洛 90mg bid
阿托伐他汀 20mg qd
麝香保心丸 45mg tid
达格列净 10mg qd
二甲双胍 0.5 bid
司美格鲁肽 0.5mg qw
![]()



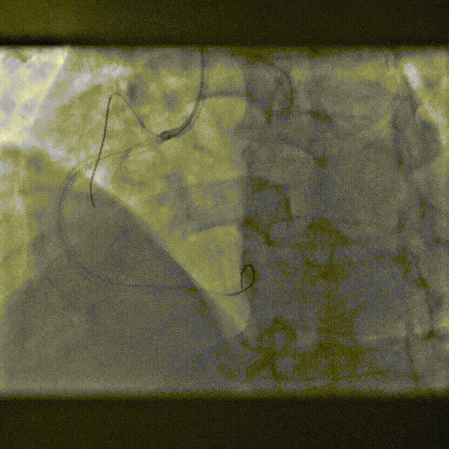
LM未见明显狭窄,LAD近段至远段支架内无再狭窄,支架出口狭窄95%,LCX近段狭窄75%,远段次全闭塞,RCA近中段段狭窄80-95%,远段次全闭塞。
![]()
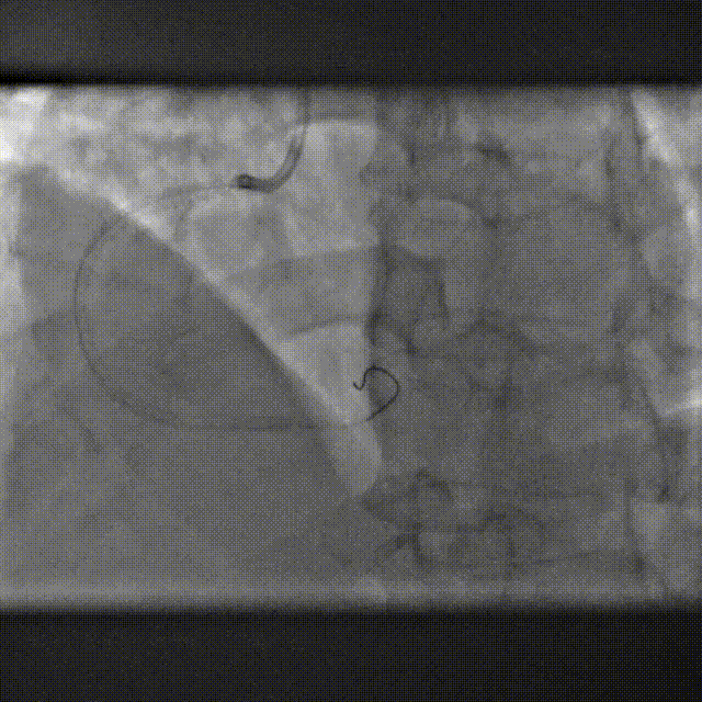
手术策略:
A. 患者RCA及左冠均有严重狭窄病变,但是左冠病变在远段,RCA全程弥漫性严重狭窄,所以首先处理RCA。
B. RCA钙化,管腔偏小,次全闭塞,需要强支撑的指引导管。
C. RCA开口及近段偏小,避免开口损伤及嵌顿,又要保证足够的支撑力应对弥漫性病变,选择SAL系列。
![]()
基于以下考虑:
为什么是SAL?患者右冠弥漫性严重狭窄病变,并且管腔偏小,需要支撑强并且头端短指引导管,避免损伤开口及嵌顿,弧度平缓,同轴性较好,操作更安全,也可以结合深插或塑形技术提升支撑力。
为什么是SAL10?弧度更大,强被动支撑力,无需深插即可稳定导管,适合钙化、弥漫性病变等高阻力患者。
选择:6F SAL10
![]()

置入6F SAL 1.0指引导管,送入0.014英寸Sion指引导丝跨过狭窄处至RCA远端,Sion-blue送入园锥支远段以保护。


将2.0mm×20mm Maverick球囊送入RCA并定位于远段至近段狭窄处,以8-12ATM×10"扩张,送入2.25mm×33mm药物支架定位于RCA远段段狭窄处,以8ATM×10"扩张。


依次送入2.5mm×33mm、2.75mm×29mm Firebrid2雷帕霉素药物支架定位于RCA中段至开口狭窄处,支架连接处重叠1-2mm,分别以10ATM×10"、12ATM×10"扩张。


复查造影提示远段支架出口以远出现夹层影,遂送入2.25mm×14mm吉威药物支架定位于RCA远段夹层处,以8ATM×10"扩张释放,复查造影提示支架贴壁不良,依次送入2.5mm×8mm、2.75mm×12mm高压球囊定位于远段、近中段支架内处,以12-18ATM×10"后扩张。


复查冠脉造影示血管成形良好,前向血流为TIMI 3级。术毕,术中顺利,术中生命征平稳,病人无不良反应。
![]()
1.对于指引导管要求支撑力和操控性兼具时,可考虑使用SAL,SAL可在窦底自如旋转,出入冠容易,避免对主动脉壁的刮伤。
2.在选择SAL型号时,需考虑支撑力、操控性、头臂干的解剖形态、冠脉开口的位置进行综合考虑,选择合适的导管,事半功倍。


SAL导管特点
SAL比同型号的AL头端短 6-8 mm
头端安全,操控灵活
稳定的被动支撑,不需要过多主动操作
作者简介

莫凡睿
柳州市工人医院心内二病区副主任,主任医师,医学博士,硕士研究生导师。
任柳州市医学会脑心同治分会副主委,广西医师协会心血管内科分会中青年委员。
擅长冠脉介入及结构性心脏病介入治疗。
主持2项市科研课题,以第一作者或者通讯作者发表中文核心及SCI论文10余篇。






