
张巍 遵义医科大学附属医院

现病史:因“反复心慌、胸闷4+年”入院。4+年前无明显诱因出现活动后心慌、胸闷,伴全身乏力、大汗淋漓,休息时缓解,无胸痛、心悸,无气促、呼吸困难,无恶心、呕吐,无腹痛、腹泻及黑便。期间患者反复发作,无明显好转,分别于2017-8、2018-9、2019-4、2019-11等多次在外院行“CAG+PCI术”(具体不详),手术顺利,术后规律服用冠心病二级预防药物。术后患者仍感胸闷不适,现为进一步诊治,就诊于我院门诊,门诊以“冠心病”收入我科。病来精神、睡眠,饮食尚可,大小便如常,体重无明显变化。
既往史:高血压病史10+年,最高血压190+/?mmHg,自诉口服药物治疗,血压控制欠佳;糖尿病9+年,自诉口服及皮下注射胰岛素治疗,血糖控制可。否认“肝炎、结核、伤寒”等传染病病史,否认重大外伤、手术及输血史。无食物及药物过敏史。吸烟10+年、2包/天,已戒烟3年,偶有饮酒。

心脏彩超:
LAs35mm、IVSd13mm、LVd60mm、LVs41mm、PA20mm、RVd30mm、RAs33mm、EF:60%,FS:32%,静息状态下:左室下壁运动异常;左室增大;室间隔增厚;主动脉瓣钙化并轻度关闭不全;二尖瓣轻至中度反流;三尖瓣轻度反流;左室收缩功能测值在正常范围。
心电图

1.冠状动脉粥样硬化性心脏病,不稳定型心绞痛,PCI术后,三支血管病变,心功能III级。
2.原发性高血压,3级。

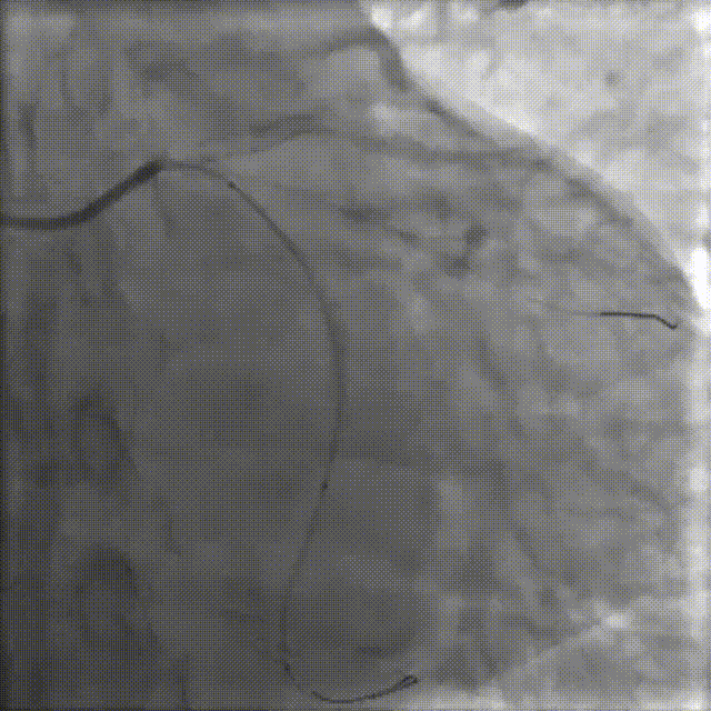
冠脉造影结果(右冠开口ISR)


RCA近中段可见支架影,右冠开口处支架内ISR99%,中段支架内通畅,TIMI血流3级,LCX近远段可见支架影,近段支架内ISR95%,远段支架内闭塞,OM支开口处支架内ISR80%。LAD近中段可见支架影。

患者为三支血管病变,植入支架多枚,CABG困难大,再次植入支架金属负荷重;
可考虑使用DCB治疗,而ISR病变行DCB治疗应用OCT进行指导最佳,但针对RCA开口处ISR行OCT检查可能存在红细胞清除困难而影响OCT成像质量;
可选用JR4.0指引导管尝试行RCA-OCT检查。

基于以下考虑:
6F不会引起嵌顿
JR弯型与解剖形态适应性
易操控,容易同轴
头端安全性高
不会深插
最终选择:
6F JR4.0型号

JR优点:
√易操控,安全性高
√可通过主动操控获得额外的主动支撑
Launcher JR – 长同轴段设计 + 稳定有力第二弯曲 带来有力支撑

指引导管支撑力的评价体系:
√入冠长度是导管支撑力的决定因素之一
√入冠越深,支撑力越强
Ikari Y et al. J Invasive Cardiol. NO. 17, 2005
Launcher JR的长同轴段设计
√更易入冠
√更好的稳定性与支撑力。
Launcher JR – 直角头端设计 + 强度适中第一弯曲 实现灵活操控

头端接近直角的走行设计
√导管更易钩挂,轻松入冠。
√导管入冠后更稳定,不易脱出。
强度适中的第一弯曲
√可灵活操控,适应多种起始段走行方向的RCA。

RCA—OCT术前检查

右冠开口ISR,最狭窄平均直径2.11mm;管腔面积 3.54mm²;以纤维斑块为主。
LCX—OCT术前检查

回旋支近段,远段ISR,最狭窄平均直径1.26mm;管腔面积 1.26mm²;以纤维斑块为主。
PCI干预
1.回旋支近段至远段可见支架影,开口及近段支架内狭窄95%,远段支架内闭塞,OM近段可见支架影,支架开口及近段狭窄80%,TIMI血流0级;于LCX近段及远段病变处分别植入B.Braun2.75×20mm、B.Braun2.5×20mm药物球囊一枚。
2.右冠脉开口至近段可见支架影,开口支架内狭窄99%,TIMI血流3级;该患冠脉为右优势型。于RCA开口病变处植入CARDIONOVUM 3.5×15mm药物球囊一枚。
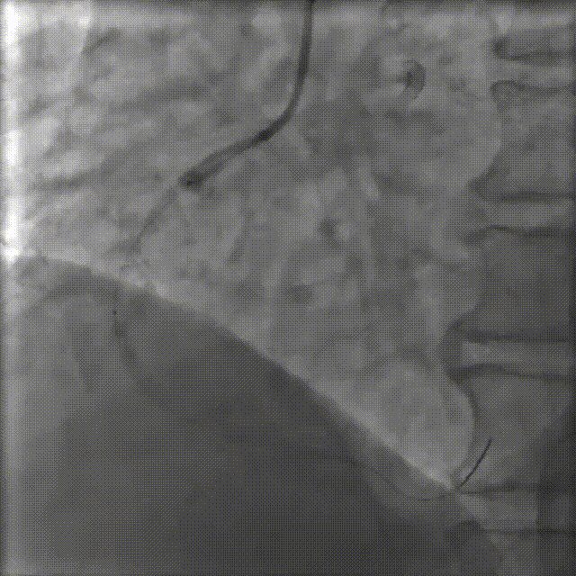
RCA—OCT术后检查

LCX—OCT术后检查

术后CAG



ISR是DCB主要临床适应证之一,指南IA类推荐;
OCT可鉴别ISR斑块性质,均质性、多层结构更合适DCB治疗;
ISR病变进行充分预处理可显著降低DCB治疗1年后TLR;
OCT可准确测量血管尺寸,明确预扩器械及DCB规格;
常常右冠开口再狭窄病变多种指引导管可以同轴但行OCT检查开口被指引导管覆盖不能明确ISR斑块性质;
而这种特殊情况应用JR4.0指引导管配合匀速推注纯造影剂使造影剂刚好反流,可获得右冠开口清晰的OCT影像。
作者简介

张巍
副主任医师 硕士学位 硕士研究生导师;
遵义医科大学附属医院;
2005年毕业于遵义医学院一直从事冠心病介入治疗;
2018年于复旦大学附属中山医院进修冠脉介入治疗;
中国胸痛中心飞行检查专家;
冠脉介入诊疗培训导师;
CTOCC正式会员;
CCI第五期学员;
冠状动脉旋磨/血管内超声 带教术者;
主持省科技厅课题一项;参与多项国家自然科学基金;
以第一作者及共同第一作者发表SCI论文4篇;
中国心胸血管麻醉学会基层心血管病分会全国委员。






