
刘兵 北京医院
![]()
陈 XX,女,74 岁
间断活动后喘憋 3 年,加重1月。
既往 高血压、血脂异常史,药物治疗不规律。
无不良嗜好。
外院 CTA 提示左主干中度狭窄。

体格检查: BP 130/69mmHg,HR 68BPM。
实验室检查:Cre 69 umol/L ,Ccr 87.4ml/min。
心电图:窦性心律,余无特殊。
超声心动图:EF 66%,心房大。
冠脉CTA(外院):LM 中度狭窄(阅片见 RCA 开口重度狭窄)。
![]()
【临床诊断】:
冠心病
不稳定性心绞痛
高血压 极高危组
【用药情况】:
ASA、波立维
立普妥、倍博特
ZOK

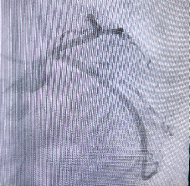
左主干、前降支 轻度狭窄。 右管开口局限偏心 90% 病变。




手术策略
A. 桡动脉入路,6F薄鞘;
B. osRCA B 型病变;
c. 术中患者稳定则先行 IVUS 检查,如导丝通过后患者不稳定,则迅速 POBA 后植入4.0-15mm DES 支架植入。
![]()
右管开口病变指引导管选择
基于以下考虑:
为什么是6F?
为什么是JR?
为什么是JR SH?
RCA 近段直径目测大于 4.0mm,计划植入40x15mm 支架;
RCA 开口病变,不需要也不宜选取强支撑指引导管;
RCA 病变偏心;
5F 造影导管压力嵌顿。
最终选择:6F JR 40 SH

JR优点:
易操控,安全性高
可通过主动操控获得额外的主动支撑
Launcher JR – 长同轴段设计 + 稳定有力第二弯曲 带来有力支撑

指引导管支撑力的评价体系:
入冠长度是导管支撑力的决定因素之一
入冠越深,支撑力越强
Ikari Y et al. J Invasive Cardiol. NO. 17, 2005
Launcher JR的长同轴段设计
更易入冠
更好的稳定性与支撑力
Launcher JR – 直角头端设计 + 强度适中第一弯曲 实现灵活操控

头端接近直角的走行设计
导管更易钩挂,轻松入冠
导管入冠后更稳定,不易脱出
强度适中的第一弯曲
可灵活操控,适应多种起始段走行方向的RCA

![]()
左图:导引导丝尝试后进入,患者胸闷明显,频发室早,放弃 IVUS,直接 20-15 FLEX 球囊 POBA。
右图:4.0-15 DES 植入。


DES 植入后 RCA 开口处一细小分支受压闭塞,患者胸痛。


4.5-12NC 球囊后扩张后 PILOT 50 及 XT 反复尝试无法进入闭塞分支。对症处理后,患者症状减轻。
4.5-12NC 球囊后扩张后 PILOT 50 及 XT 反复尝试无法进入闭塞分支。对症处理后,患者症状减轻。


![]()
开口病变避免选择侵入性导引导管,以降低冠脉急性闭塞风险。
JR导引导管被动支撑较弱,术者需要积累经验,灵活调用导引导管的主动支撑力。
开口病变的器械进入难度增加,需要合理选择预处理器械。
作者简介

刘兵,男,49岁,主任医师
内科学博士,中国协和医科大学硕士导师
【学会、社会任职】
中国介入心脏病杂志 编委;
中华中医药学会介入心脏病学分会委员;
中华医学会心血管病分会心血管信息化学组委员;
中国医师协会心血管病分会转化医学学组委员;
中国老年学和老年医学学会心血管病分会委员;
中国老年学学会老年医学委员会智慧医疗与养老照护专家委员会委员;
中国健康促进基金会心脑血管疾病防治专家委员会委员;
中国医疗保健国际交流促进会中老年医疗保健分会 全国委员;
海峡两岸医药卫生交流协会老年医学专业委员会委员;
擅长冠心病复杂(CTO,左主干,弥漫钙化病变)介入治疗;2018年开始开始带领团队成员常规开展心肌活检检查。






