
潘亮 郑州大学第一附属医院

XXX,女性,61岁
活动后心悸伴呼吸困难2月余,加重半月
危险因素:高血压、糖尿病

实验室检查:
cTnT 0.01ng/mL; BNP 332Pg/mL;
肌酐 76Umol/L;
eGFR 72.956ml/min/1.7m2;
空腹血糖 6.45mmol/L; 糖化血红蛋白 7.50%;
总胆固醇 2.88mmol/L;
低密度脂蛋白胆固醇 1.40mmol/L;
甘油三酯 1.17mmol/L。
血压:130/68mmHg
超声心动图:LVEF 63%; LVED 46mm; IVS 12mm; LAd 37mm
既往血运重建史:无
入院心电图:


冠心病 急性冠脉综合征 心功能II级(NYHA)
高血压病3级 很高危
2型糖尿病

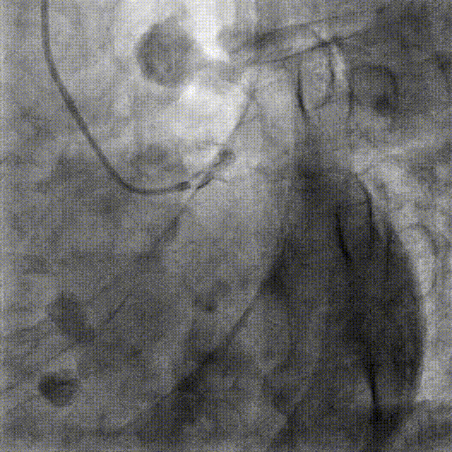
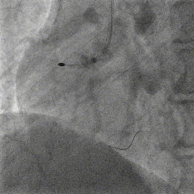
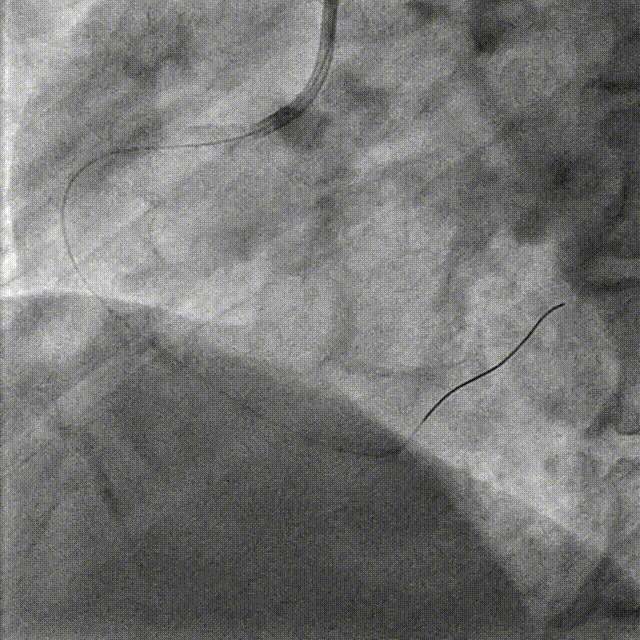
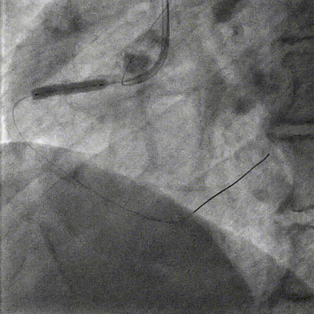
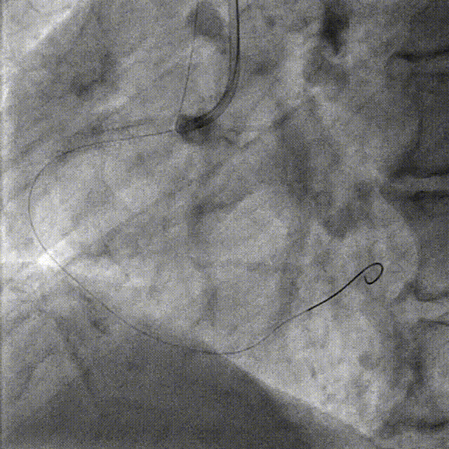
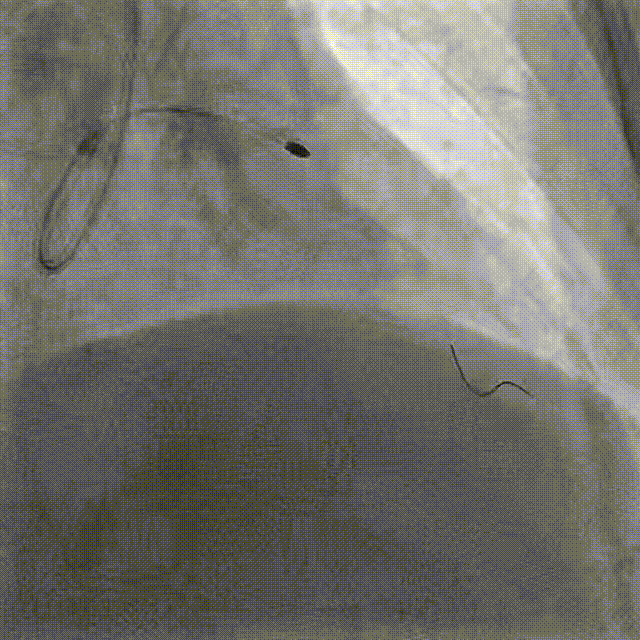
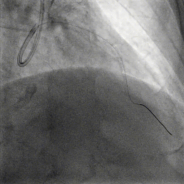
CAG-LCA-钙化、 分叉 、弥漫病变 TR, 5F TIG


CAG-LCA-细小


CAG-RCA -钙化,开口,弥漫病变 TR, 5F TIG


病变特点:
RCA:钙化,开口,弥漫病变
LAD:钙化,分叉,弥漫病变
LCX:细小,可不处理
策略选择:
PCI, CABG, or OMT?
若PCI,
RCA first, or LAD first?
严重钙化,
主动旋磨?尝试扩张后旋磨?
腔内影像学,
IVUS, OCT, or NA?
策略选择:
考虑病变特点及家属意愿,决定行PCI
先处理RCA,后处理LAD
RCA开口严重钙化伴狭窄,但血管直径较大
采用主动旋磨
首选2.0mm旋磨头
无腔内影像学工具
弥漫性病变:DES, or DCB?
可根据病变预处理的结果选择DES、DCB或杂交策略
LAD/D分叉病变
边支导丝拘禁保护即可

基于以下考虑:
为什么是7F?
为什么是JR?
为什么是JR4.0?
RCAo-p:严重钙化、开口病变(2.0mm burr ROTA)
内径及器械兼容性?
弯型与解剖形态适应性?
指引导管支撑力?
头端安全性?
压力嵌顿可能性?
最终选择:7F JR4.0

JR优点:
易操控,安全性高
可通过主动操控获得额外的主动支撑
Launcher JR – 长同轴段设计 + 稳定有力第二弯曲 带来有力支撑

指引导管支撑力的评价体系:
入冠长度是导管支撑力的决定因素之一
入冠越深,支撑力越强
Ikari Y et al. J Invasive Cardiol. NO. 17, 2005
Launcher JR的长同轴段设计
更易入冠
更好的稳定性与支撑力
Launcher JR – 直角头端设计 + 强度适中第一弯曲 实现灵活操控

头端接近直角的走行设计
导管更易钩挂,轻松入冠
导管入冠后更稳定,不易脱出
强度适中的第一弯曲
可灵活操控,适应多种起始段走行方向的RCA


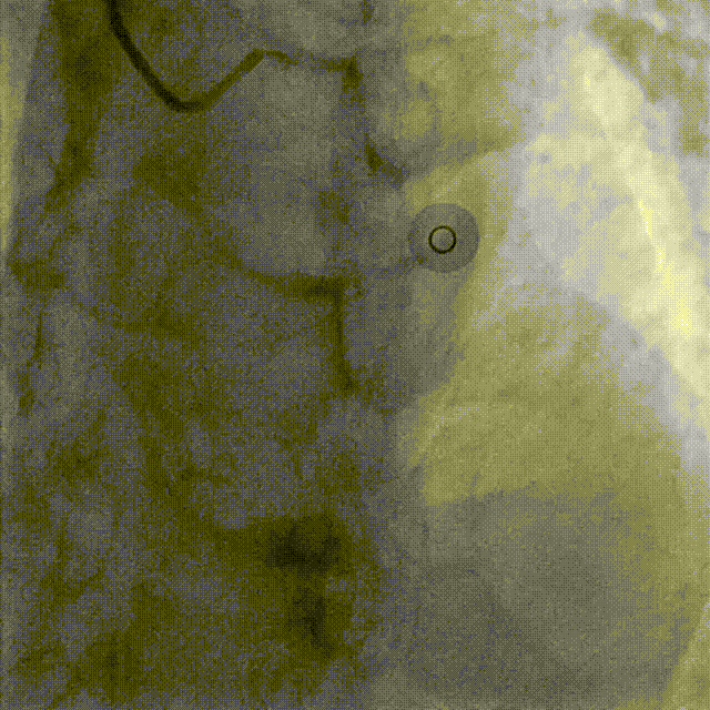
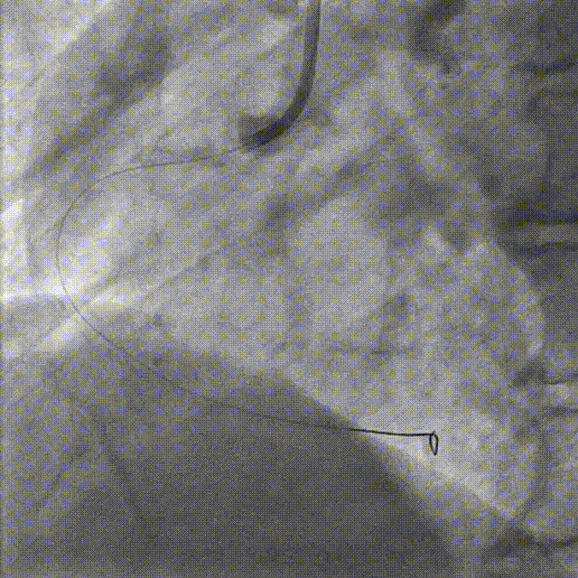
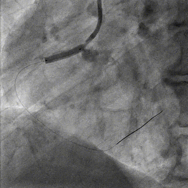
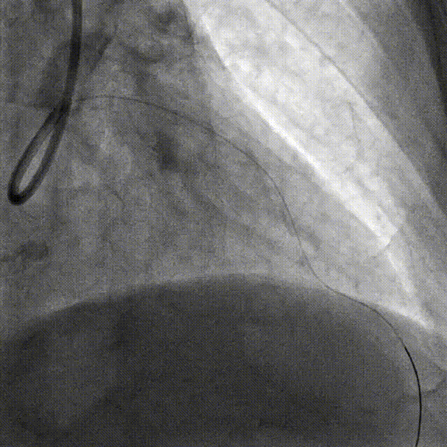
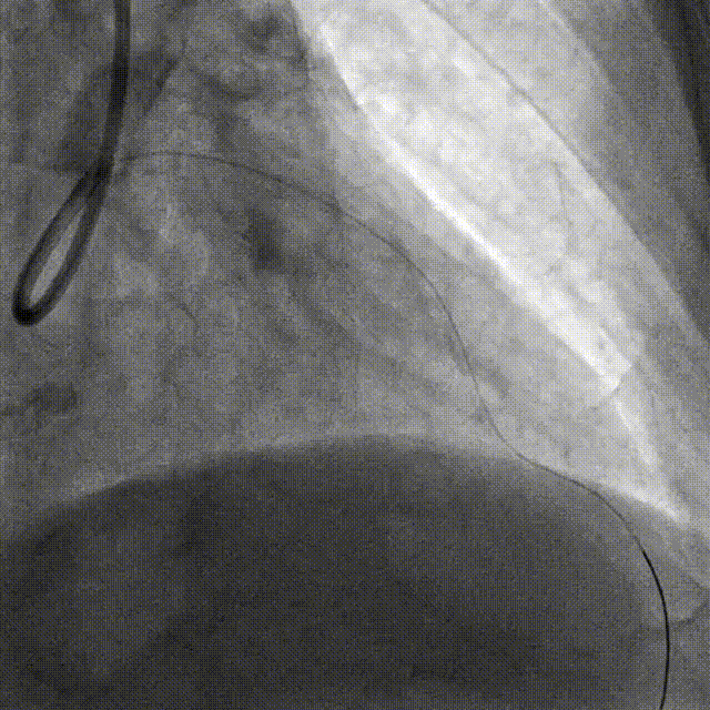
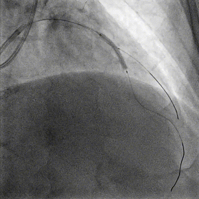
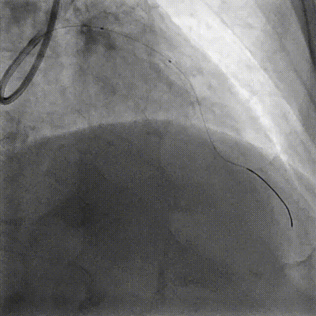
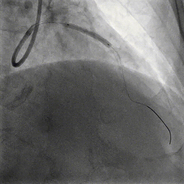
PCI-RCA TR, 7F JR4.0 ROTA with 2.0mm burr



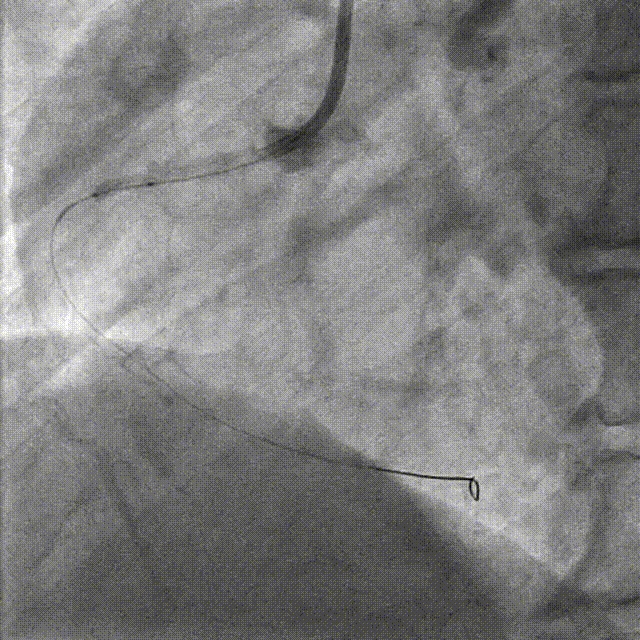
Angiography post-ROTA

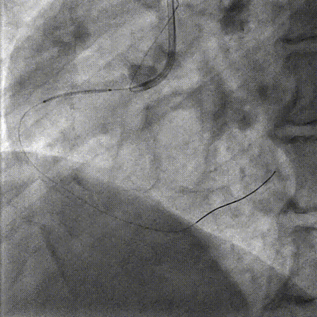
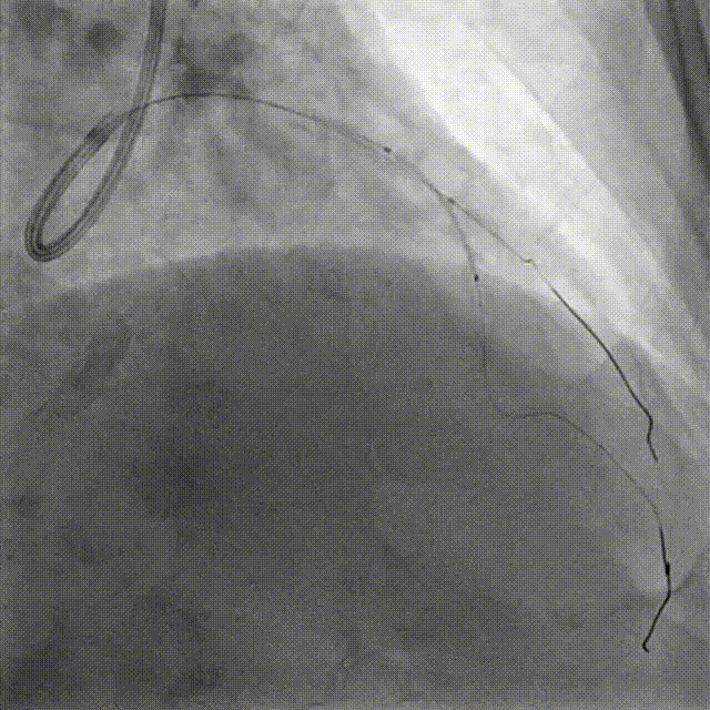
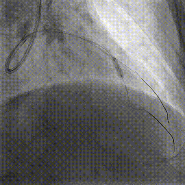
Lesion preparation NC 2.5*12mm → Cutting balloon 4.0*10mm @ 12atm


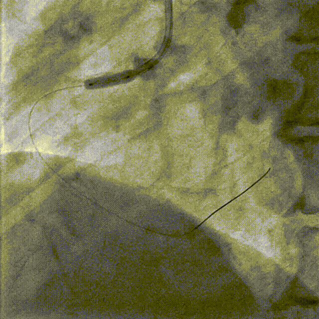
Angiography & DCB Angioplasty DCB 4.0*20mm @ 8atm, 60s


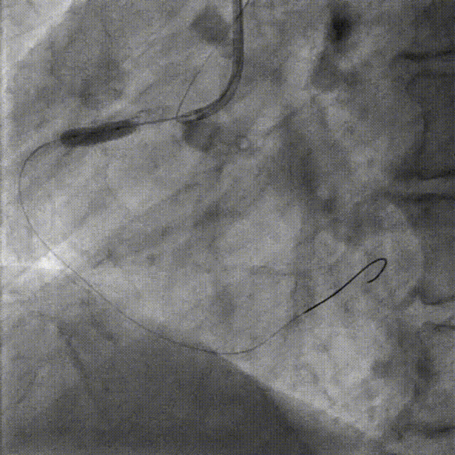
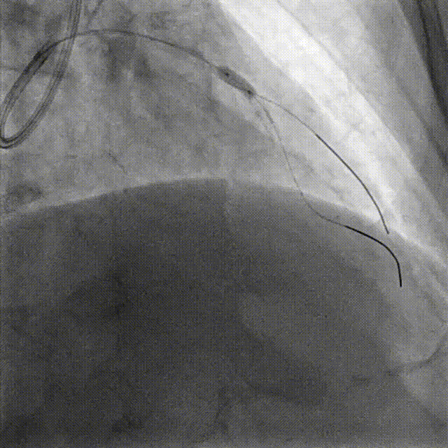
DES Deployment & Optimization DES 4.0*20mm → NC 4.0*12mm @ 20atm



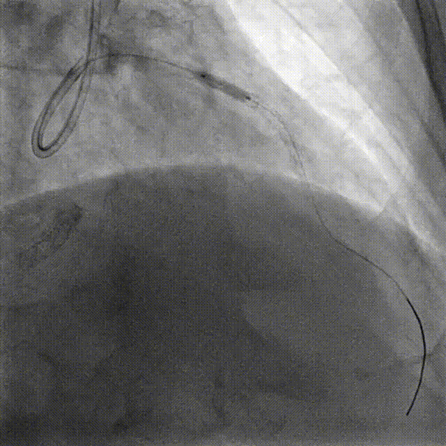
Final Results


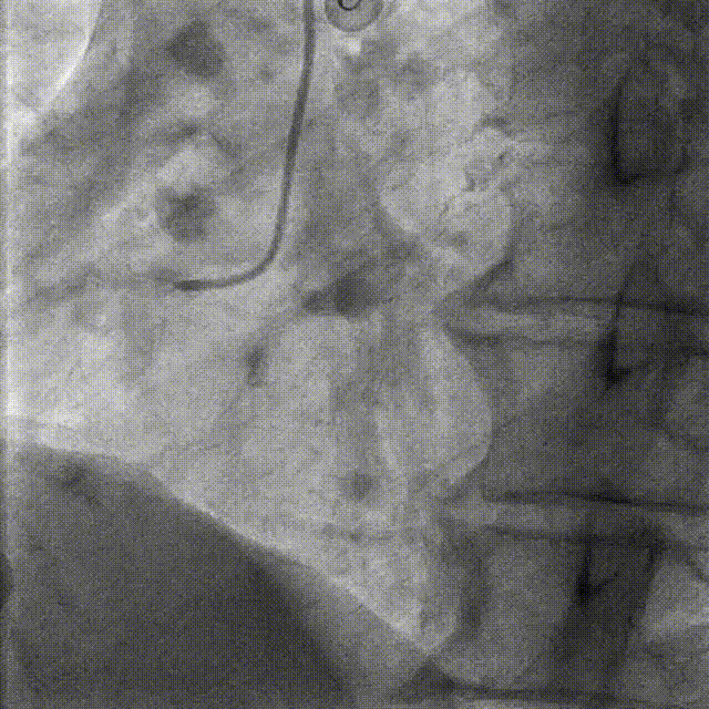
PCI-LAD TR, 7F EBU3.5

ROTA with 2.0mm burr


Angiography & Angioplasty NC 2.5*12mm


Stenting DES 2.5*24mm


Stent Optimization NC 2.5*12mm + NC 2.75*8mm


Lesion Preparation Cutting balloon 2.75*10mm @ 14atm


DCB Angioplasty DCB 2.75*25mm @ 8atm, 60s


Final Results




Launcher引导导管:复杂介入治疗的可靠基础
- 强大支撑,助力旋磨术,扩大管腔:
7F大内腔设计(内径≥0.078英寸)与旋磨术磨头(例如1.5-2.0毫米)兼容,特别适用于大血管钙化病变的旋磨术。使用较大磨头可实现更好的组织清除,从而获得更大的管腔,为后续治疗创造有利条件。
- 同轴性与稳定性,确保精准操作:
JR 4.0尖端形状贴合右冠状动脉开口,尤其适用于开口病变的治疗。该导管形状确保器械顺畅进入,实现JR引导导管与右冠状动脉开口的良好同轴性,减少磨头阻力,并防止旋转导丝缠绕等不良事件。
EBU 3.5深嵌设计提供主动支撑,减少旋磨术/支架输送过程中的系统移位。这对于需要精准操作和强力支撑的弥漫性钙化前降支(LAD)病变尤为重要,可最大限度降低手术风险。
- 抗扭结与安全性,减少血管损伤:
柔软尖端设计降低了血管损伤风险,尤其适用于复杂解剖结构(如严重右冠状动脉开口狭窄),使手术更加安全。
钙化病变管理的核心策略:突破、准备与优化
- 旋磨术:突破钙化屏障的关键:
环形钙化(>270°)需要通过旋磨术突破,以防止球囊/支架输送失败(证据等级:ACC/AHA IIa类推荐)。在本案例中,旋磨术应用于右冠状动脉(RCA)和前降支(LAD),这对于成功治疗严重钙化病变至关重要。
- 充分预扩张:改善血管顺应性的基础:
切割球囊血管成形术通过定向切割改善斑块顺应性,降低支架扩张不足的风险。充分的预扩张是确保支架充分扩张和贴壁的关键。
作者简介

姓名:潘亮
性别:男
单位:郑州大学第一附属医院
科室:心血管内科三病区
社会兼职:河南省心电学会心血管内科分会委员
简介:医学博士,主治医师,毕业于郑州大学第一临床医学院,师从我国著名心脏病介入专家邱春光教授,后留院从事心血管相关临床及科研工作。熟练掌握心血管系统疾病的诊疗,擅长心血管疾病介入治疗,包括复杂冠脉介入治疗(尤其是腔内影像学及功能学指导下)、起搏器植入、先心介入封堵等。多次受邀参加国内外大会授课、病例分享等学术活动。主持河南省医学科技攻关联合共建项目1项,作为项目骨干参与2023年度科技创新2030“四大慢病”国家科技重大专项、省级及以上重点课题10项,参编《冠脉药物涂层球囊精选病例解析》、《心脏病学进展》、《冠状动脉慢性完全闭塞病变介入治疗:策略、技术与病例精选》、《心脏病学实践》等多部著作,发表期刊及会议论文四十余篇,获专利4项。
近5年发表的SCI论文:
[1] Pan L, Lu W, Han Z, et al. Drug-coated balloons for the treatment of ostial left anterior descending or ostial left circumflex artery lesions:a patientlevel propensity score-matched analysis[J]. J Geriatr Cardiol, 2023;20:716-727.
[2] Pan L, Lu W, Han Z, et al. Clinical outcomes of drug-coated balloon in coronary lesions: a real-world, all-comers study[J]. Clin Res Cardiol, 2022;111:732-741.
[3] Pan L, Lu W, Han Z, et al. Clinical Outcomes of Drug-Coated Balloon in Coronary Patients with and without Diabetes Mellitus: A Multicenter, Propensity Score Study[J]. J Diabetes Res 2021;2021:5495219.
[4] Pan L, Lu W, Han Z, et al. Drug-coated balloon in the treatment of coronary left main true bifurcation lesion: A patient-level propensity-matched analysis[J]. Front Cardiovasc Med, 2022; 9:1028007.
[5] Lu W, Pan L, Han Z, et al. Stentless at ostium: a novel approach for treating ostial left anterior descending or left circumflex coronary artery lesions with drug-coated balloons[J]. Am J Transl Res, 2022;14:6256-6267.
[6] Yang X, Lu W, Pan L, et al. Long-term outcomes of drug-coated balloons in patients with diffuse coronary lesions[J]. Front Cardiovasc Med, 2022;9:935263.
[7] Benjamin BK, Qiu C, Han Z, Lu W, Sun G, Qin X, Wang X, Wang X, Li R, Pan L. The Association between Type-2 Diabetes Duration and Major Adverse Cardiac Events after Percutaneous Coronary Intervention[J]. J Diabetes Res, 2021;2021:7580486.
[8] Benjamin BK, Lu W, Han Z, Pan L, Wang X, Qin X, Sun G, Wang X, Shan Y, Li R, Zheng X, Zhang W, Shi Q, Zhou S, Guo S, Qin P, Singh CP, Dong J, Qiu C. Drug-Coated Balloon-Only Angioplasty Outcomes in Diabetic and Nondiabetic Patients with De Novo Small Coronary Vessels Disease[J]. J Interv Cardiol, 2021;2021:2632343.
[9] Wang X, Lu W, Wang X, Pan L, Fu W, Liu Q, Han Z, Sun G, Qin X, Li R, Zheng X, Shan Y, Qiu C. Drug-coated balloon angioplasty: predicting outcomes based on different patterns of drug-eluting stent restenosis[J]. Int J Cardiovasc Imaging, 2020;36(2):171-178.
[10] Lu W, Zhu Y, Han Z, Sun G, Qin X, Wang Z, Liu G, Xi W, Wang X, Pan L, Qiu C. Short-term outcomes from drug-coated balloon for coronary de novo lesions in large vessels[J]. J Cardiol, 2019;73(2):151-155.
[11] Wang X, Song B, Qiu C, Han Z, Wang X, Lu W, Chen X, Chen Y, Pan L, Sun G, Qin X, Li R. The effect of left atrial remodeling after cryoballoon ablation and radiofrequency ablation for paroxysmal atrial fibrillation[J]. Clin Cardiol, 2021;44(1):78-84.
近5年主持或参与的课题:
[1] 药物包被球囊在冠状动脉慢性完全闭塞病变中的应用,河南省医学科技攻关计划项目(在研,主持,LHGJ20230176)
[2] 早发冠心病非STEMI患者介入无植入治疗临床研究,科技创新2030-“四大慢病”国家科技重大专项(在研,参与,2023ZD0504105)
[3] 定量血流分数评估药物包被球囊治疗冠脉原位病变的结局:指导病变准备和选择药物包被球囊治疗的新方法,河南省科技攻关项目(在研,参与,242102311113)
[4] 慢性萎缩性胃炎胃内微生态特征及临床预后模型的建立,河南省高等学校重点科研项目(在研, 参与,24A320022)
[5] 血管内超声/光相干断层显像指导下药物球囊在前降支开口邻近病变中的应用研究,河南省医学科技攻关计划省部共建项目(结题, 参与,SB201901010)
[6] 药物包被球囊在冠状动脉真性分叉病变中的应用,河南省医学科技攻关计划省部共建项目(结题, 参与,SB201901027)
[7] 比伐芦定在急性冠脉综合征合并肾功能不全患者经皮冠脉介入治疗术中的应用,河南省高等学校重点科研项目(结题, 参与,19A320084)






