
刘微 贵州省人民医院

主诉:胸痛3小时。
现病史:3小时前患者无明显诱因出现胸痛,以心前区压榨性疼痛为主,伴全身大汗、全身酸软不适,2小时前就诊于贵阳某医院,完善首份心电图检查考虑急性下壁心肌梗死。10分钟前到达我院急诊,予阿司匹林肠溶片300mg、替格瑞洛180mg、瑞舒伐他汀钙片40mg口服,立即送至心导管室急诊行PCI治疗。
既往史:2型糖尿病病史20年,平素予“甘精胰岛素、阿卡波糖、西格列汀”控制血糖,血糖控制可;否认高血压、否认脑血管病、无肝炎、结核、伤寒病史,否认手术史、外伤史、输血史,无药物或食物过敏史,预防接种史随当地。

【急诊科查体】
脉搏34次/分,呼吸20次/分,血压:101/58mmHg,双肺呼吸音清,双下肺闻及湿性啰音;心律齐,各瓣膜听诊区未闻及病理性杂音;腹部平软,双下肢无明显水肿。
【实验室检查】
快速超敏肌钙蛋白Ⅰ检查0.013ng/ml,D二聚体:493.4ng/ml, NT-ProBNP200.5pg/ml。
【辅助检查】
急诊心电图提示:1、窦性心律;2、III°房室传导阻滞;3、交界性逸搏;4、急性下壁心肌梗死。
血气分析:PH7.42,PCO2 27mmHg, P02 92mmHg, Na+ 133mmol/L, K+ 4. 0mmol/L,HC03- 17.5mno2/L.,BE -5. 5mmo l/L。
【临床诊断】
1. 冠状动脉粥样硬化性心脏病
急性下壁ST段抬高型心肌梗死
心律失常(三度房室传导阻滞)
心功能II级(killip分级)
2. 2型糖尿病
【诊治经过】


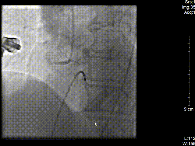
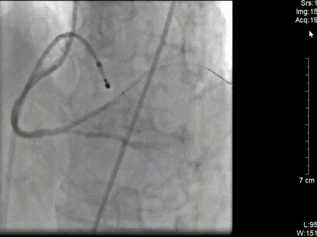
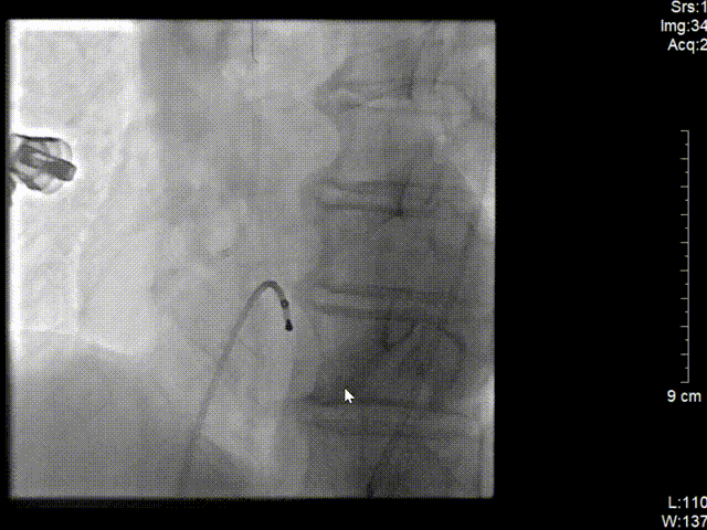
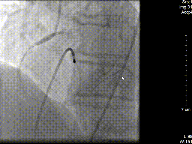
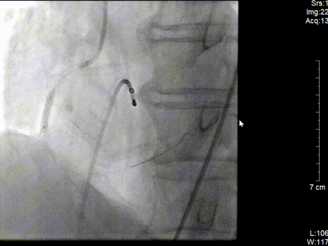
冠脉造影结果(右冠近段病变)
冠脉三支病变 右冠近端完全闭塞病变。


左图:6F JR4.0指引导管造影。
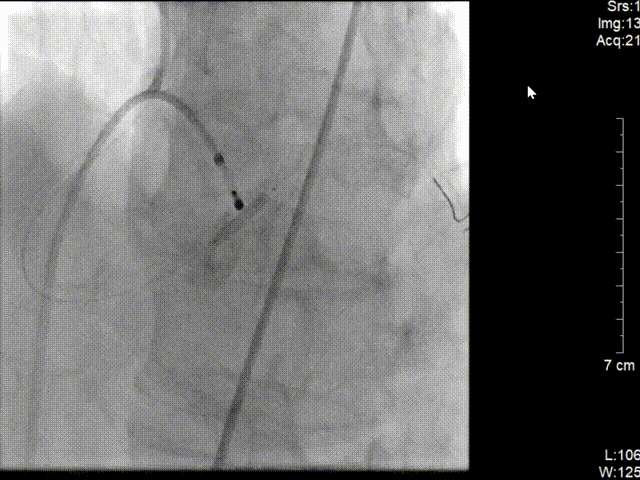
右图:右冠远段、近段各植入药物支架1枚。

A. 心电图提示急性下壁心肌梗死,合并III°房室传导阻滞,考虑罪犯血管为右冠可能性大;
B. 患者在消毒铺巾时突发意识障碍,心电监护示室颤,予电除颤后意识恢复,心电图仍提示下壁心肌梗死,III°房室传导阻滞;
C.立即穿刺股静脉行临时起搏器植入;
D. 时间急迫,穿刺股动脉建鞘行急诊PCI;
E. 为节省时间,选择6F JR4.0指引导管进行冠脉造影,提示右冠近段完全闭塞,通过JR4.0行急诊PCI,迅速开通闭塞右冠,于右冠远段、近段各植入药物支架1枚。

急诊指引导管选择
基于以下考虑:
为什么是6F?
——患者急性下壁心肌梗死明确,冠脉造影后需进一步行介入治疗,选择6F指引导管同时完成造影,并且直接完成急诊介入治疗。
为什么是JR?
——患者罪犯血管考虑右冠可能性大,JR导管易操控,易挂冠,安全性高,可完成大部分右冠造影及急诊介入,减少器械交换,尽可能节省时间。
为什么是JR4.0?
——根据造影导管评估主动脉宽度正常,因此常规选择JR4.0导管顺利到位。
最终选择:
6F JR4.0型号

JR优点:
√易操控,安全性高
√可通过主动操控获得额外的主动支撑
Launcher JR – 长同轴段设计 + 稳定有力第二弯曲 带来有力支撑

指引导管支撑力的评价体系:
√入冠长度是导管支撑力的决定因素之一
√入冠越深,支撑力越强
Ikari Y et al. J Invasive Cardiol. NO. 17, 2005
Launcher JR的长同轴段设计
√更易入冠
√更好的稳定性与支撑力。
Launcher JR – 直角头端设计 + 强度适中第一弯曲 实现灵活操控

头端接近直角的走行设计
√导管更易钩挂,轻松入冠。
√导管入冠后更稳定,不易脱出。
强度适中的第一弯曲
√可灵活操控,适应多种起始段走行方向的RCA。


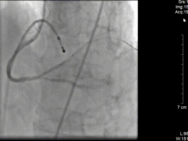
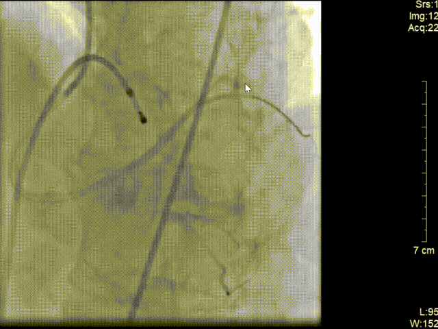
在J型导丝指引下6F JR4.0指引导管于右冠口,行造影提示右冠近段急性闭塞,将SION blue导丝操作通过右冠近端闭塞处并达远段真腔,予2.0*15预扩张球囊行病变处预扩张处理,复查造影可见血栓,予血栓抽吸导管反复抽吸,抽出大量红色血栓。


再次予2.0*15预扩张球囊行病变处预扩张处理,右冠近中置入3.5*40mm药物支架1枚,继续予以3.5*15m后扩张球囊行支架内优化扩张。


复查造影可见右冠远段狭窄80%,并见血栓,予2.0*15预扩张球行右冠远段病变处预扩张,于右冠远段置入2.5*14mm 药物支架1枚,并予以3.0*12mm后扩张球囊行支架内扩张优化。再次造影示右冠狭窄消失,无夹层及残余狭窄,TIMI血流3级。



1、急性下壁心肌梗死合并III°房室传导阻滞,围术期发生室速、室颤风险极大,及时迅速开通罪犯血管是关键;
2、合理使用JR指引导管进行急诊造影及介入治疗,尽可能减少器械交换时间,可缩短D2W时间;
3、JR指引导管的规范性使用十分重要,尤其是对于远段病变的处理。
作者简介

刘 微
博士,贵州省人民医院心内科副主任医师;
贵州省心血管病医院介入研究室副主任;
中国老年医学学会心血管病分会青年委员;
贵州省研究型医院学会心血管学专业委员会常委;
贵州省肺栓塞和深静脉血栓防治联盟委员;
六盘水市心电生理和起搏分会 顾问;
贵州省千层次创新型人才;
以第一作者/通讯作者发表SCI论文13篇,累计发表论文50多篇。






