患者基本情况
林某、女、19岁、学生
主诉:右上后牙咀嚼不适2周。
现病史:患者2年前右上后牙因冷热疼痛不适于外院行根管治疗,2周前自觉右上后牙咀嚼不适伴有疼痛,今于我处要求检查。
既往史:否认系统疾病史,否认药物过敏史。
临床检查:口腔卫生一般。15远中邻合面可见充填物,温度测试冷测试:无反应,电活力测试:无反应,叩痛(+),松I° ,牙龈无明显红肿。
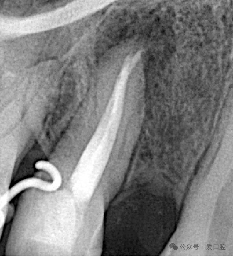
影像学检查:小牙片示:15冠部高密度影,根管内可见高密度影像,牙周膜增宽影,根尖低密度影。CBCT示:15遗漏腭侧根管。
诊断:15慢性根尖周炎
治疗计划:15显微根管再治疗
诊疗过程:告知患者治疗计划、治疗方案及费用,患者选择15显微根管再治疗。
一诊
15,安放橡皮障隔离后,显微镜下,开髓,暴露髓腔内牙胶,去除髓腔内牙胶,探查颊侧根管,使用再治疗镍钛锉去除根管上段牙胶,8号k锉,10号k锉疏通至根尖,3%次氯酸钠溶液冲洗,根测长度为19mm,3%次氯酸钠溶液冲洗,探查腭侧根管,发现髓室顶未揭干净,有牙胶残留,揭净髓室顶,去净残留牙胶,疏通腭侧根管至根尖,3%次氯酸钠溶液冲洗,根测长度为19mm,镍钛预备至3504,试尖, 3%次氯酸钠溶液冲洗, Eddy荡洗(20秒3次),蒸馏水冲洗,17%EDTA溶液冲洗,蒸馏水置换,吸干,氢氧化钙封药,玻璃离子暂封。
医嘱:勿咬硬物,一周后复诊。
二诊
主诉:患牙无不适,按约复诊。
检查:15暂封存,叩(-),牙龈无红肿。
处置:15安放橡皮障后,去暂封,疏通,3%次氯酸钠溶液冲洗,Eddy荡洗(20秒3次), 蒸馏水冲洗,17%EDTA溶液冲洗,蒸馏水置换,吸干,AHplus糊剂+牙胶尖,热牙胶垂直加压法充填,流体封闭根管口,冠方树脂充填,调合,抛光。
医嘱:勿咬硬物,定期复查。
讨论:1.根管治疗失败的原因:
1.1.微生物因素
1.2 解剖学因素
1.3 医源性因素:1 遗漏根管 2 根管预备、消毒、充填质量不佳 3 冠方封闭不佳(拟分析为本病例的主要病因)
1.4 并发症:器械分离、 根管穿孔、根管偏移、出现台阶等
2.根管再治疗的策略:
2.1.非手术根管再治疗:
2.1.1.去除原有充填物
2.1.2.机械化学预备
2.1.3.寻找遗漏根管
2.1.4.穿孔修补
2.1.5.器械分离处理
2.1.6.台阶处理
2.2.显微根尖手术
2.3.意向再植术
2.4.牙种植
3.上颌第二前磨牙根管解剖形态
3.1.Vertucci 根管形态分类标准:Ⅰ型:从髓室到根尖的单根管
Ⅱ型:髓室底有两个根管口,在根尖三分之一融为单根管
Ⅲ型:髓室底有一个根管口,到根中三分之一分成两个根管,在根尖处又融为一个根管
Ⅳ型:双根管从髓室贯穿到根尖
Ⅴ型:单个根管开口于髓室,到根尖处成为两个根管
Ⅵ型:两个根管在根管中段联合,在根尖处分开成两个根管
Ⅶ型:一个根管根管上三分之一分为两个,到根管中段又融成一个根管,最后根尖处分成两个根管
Ⅷ型:三根独立的根管;其他型:不能归为以上类型者
3.2.有学者等使用透明染色离体牙的方法分析上颌第二前磨牙,使用 Vertucci 对根管系统的分类方法,其中Ⅰ型根管解剖形态是 44.79%,Ⅱ 型根管解剖形态是 29.58%,Ⅳ型根管解剖形态是 21.34%,Ⅴ型根管解剖解剖形态 是 1.93%,Ⅵ型根管解剖形态是 1.16%,其他类型共占大小为 2.32%;有学者等使用 CBCT对上颌第二前磨牙进行研究,观察得出其中Ⅰ型根管解剖形态45.40%,Ⅱ型根管解剖形态16.30%,Ⅲ型根管解剖形态为11.40%,Ⅳ型根管解剖形态占20.10%,Ⅴ型根管解剖形态占 6.40%,其他类型共占大小为 0.26%
总结
1.由于根管解剖系统的复杂性,根管遗漏成为了根管治疗失败的主要原因之一。因此,掌握不同牙位根管系统的解剖形态是根管治疗成功的前提与保障。
2.完善的根管预备、根管消毒是根管治疗成功的关键。
3.针对解剖结构复杂、根管变异大的复杂病例或者再治疗病例,仅参照X线片可能难以发现根管的变异及复杂结构,因此需要借助CBCT评估根管难异程度。
4.显微镜的放大系统能够更清晰地暴露根管于视野之下,辅助医者顺利完成根管治疗。
-END-
声明:本文转载自<爱口腔>,仅用于学习交流,如有违规侵权,请立即联系我们。内容仅代表作者个人观点,望大家理性判断及应用。









