急性牙髓炎的应急处理,传统的方法常常是开髓引流,近年来的文献报道,提出了其它的治疗方法,针对急性牙髓炎患者初诊时,牙髓活力状态的不同而采取不同的应急处理方法,可收到更为理想的效果。
急性牙髓炎的应急处理
传统的开髓引流方法的缺陷
开髓引流法:局部麻醉下开髓,置樟脑酚棉球/丁香油棉球于开髓孔处,2-4天后复诊 。
急性牙髓炎疼痛机理可分为外源性和内源性两个方面, 急性牙髓炎时,由于血管通透性增加,血管内的液体、血浆蛋白和嗜中性粒细胞渗出到组织间隙,引起局部肿胀,从而压迫局部的神经纤维而引起疼痛,这就是引起疼痛的外源性因素。另一方面炎症局部存在多种炎性介质如组胺、5一羟色胺、缓激肽、前列腺素等,这些炎性介质直接刺激局部神经末梢引起疼痛,这是引起疼痛的内源性因素。急性牙髓炎时开髓引流术能降低髓腔内压力而缓解疼痛,但开髓物理刺激,增加牙髓组织损伤加速牙髓炎进程;敞开后龋洞内细菌直接进入牙髓组织加重牙髓的感染;虽开髓引流,但未能去除坏死或化脓冠髓组织及牙髓内炎症介质,牙髓炎症未得到控制而向纵深发展,有时使有些患者术后疼痛加重。
近年报道方法--倾向于封闭
开髓封失活剂(三氧化二砷):局麻开髓,冠髓探(+),但仅有少量血性分泌物溢出,待20min后,窝洞内放置失活剂+丁香油棉球,暂封。再次复诊时,作根管治疗。
封髓疗法 -去冠髓
方法一:在局麻下行冠髓切断术,压迫止血后在根管内置甲醛甲酚棉球,ZOE暂封,1周后复诊。
方法二:在局麻下完全揭除髓室顶,去冠髓,引流血性渗出物5~lOmin,30~d/L过氧化氢液与温热生理盐水交替冲洗。血止后在根管口置多聚甲醛失活剂(华西医科大学配制)。髓腔内置疏松丁香油酚棉球,氧化锌丁香油糊剂暂封窝洞,2周后复诊,嘱避免患牙咀嚼。
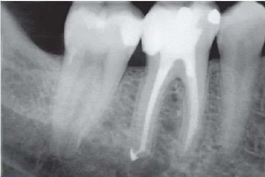
牙髓摘除法 -最好方法
方法一(选择性拔髓):前牙:开髓、拔髓、干燥根管,ZOE封丁香油棉捻。后牙:开髓揭髓顶,去除冠髓组织,对根管粗大(如上颁磨牙腭侧根,下颌磨牙远中根)则尽量拔髓,然用肾上腺素棉球止血后,用直径约1mm三聚甲醛失活剂置根管口,外加OC棉球,ZOE暂封,1周后复诊。
方法二:尽量去除全部根髓后封药。
方法三:拔髓后用根管挫由小及大边扩挫根管边用双氧水和生理盐水交替反复冲洗,其中前牙扩挫至40#,双尖牙扩挫至25#,上颌磨牙腭根管和下颌磨牙远中根管扩挫至40#,上颌磨牙颊侧根管和下颌磨牙近中根管扩挫至15~20#,然后隔湿以纸尖吸干根管,根管内放置氢氧化钙糊剂(CH)封闭窝洞,1周后复诊。
FC的优点
急性牙髓炎采用封髓疗法时,甲醛甲酚具有止痛作用,并能使血管壁麻痹,血管扩张出血,血栓形成,引起局部血运障碍,而使牙髓无菌坏死,并能使牙髓组织无菌干化,其作用温和,去除冠髓封此药后,牙髓清洁不充血,呈有弹性的实性条索状态,极易拔髓,疼痛极少,再者此药极少引起根尖组织炎症反应,而三氧化二砷(As203)失活后,牙髓呈灰色湿润、质脆的状态,拔髓时常有疼痛表现,如延时复诊则产生药物性根尖周炎
失活剂配方 甲醛50ml,甲酚40ml,甘油10ml Antipulp主要成分为多聚甲醛和盐酸利多卡因膏状制剂, 应用后牙仍有活力的根髓失活(一般10天),安全方便
各方法的疗效对比与选择应用
一次性拔髓根管内封药,对急性牙髓炎的止痛效果最好,拔髓后封药既去除了致痛的根本原因,使患者的病痛得到完全缓解,又避免了髓腔的再次感染,使以后的治疗效果更加理想。实际操作中,单纯拔髓难以去除全部牙髓组织,特别是根髓,结合根管扩锉与清理,同时减少复诊次数。
理论上急性牙髓炎应急治疗最好方法应是去除患牙全部牙髓组织,但在临床操作过程中,因根管系统复杂性(如狭窄,钙化等)及局麻质量,操作时间问题,往往出现拔髓不全,牙髓组织残留现象,这增加了治疗复杂性,封髓法及后牙选择性拔髓法,用药安全,止痛效果相对单纯开髓引流好,操作相对省时,值得临床推广。
若为局麻下开髓,则可考虑直接封入失活剂。由于局麻开髓时穿髓孔较大,髓腔内的渗出物引流充分,加之麻药的持续作用,即使封药后初期有反应亦无感觉,绝大多数病人表现无痛,或轻度疼痛,仅少数人感到中度或重度疼痛 。应注意:患牙应无叩痛或仅叩诊不适;失活剂上方放置丁香油小球减压;暂封物放置时要密合而不加压。
关于开放处理.可于非局麻开髓髓腔渗出较多时选择,待l~2日炎症缓解后再封失活剂,免造成封药后的剧烈疼痛。
在急性牙髓炎时应尽量去除炎性牙髓组织,在前牙,采用牙髓摘除术,然后密封开髓孔;在后牙,急性牙髓炎时炎症局限于冠髓,应急处理时去除炎性冠髓并封失活剂。急性牙髓炎合并根尖周炎时,炎症已波及根髓,应急治疗时前后牙均采取牙髓摘除术,ZOE封药。
一般来说, 完全萌出、形态位置正常、与旁边牙齿的邻接关系正常、且与颌智齿的咬合关系正常的智齿是不需要拔除的
推荐急性牙髓炎急性处理最低标准
一般不应开放髓腔
前牙应完整拔髓,后牙选择性拔髓
FC较砷剂封髓更为安全
急性尖周炎的应急处理
基本原则
建立引流
抗菌止痛
以往应急治疗方法
开放髓腔并扩挫根管全长,用3%双氧水与生理盐水冲洗、干燥后,于根管中轻轻置人短而松的消毒药物棉捻;
(采用冠根向无压力技术开髓,拔根髓、扩锉根管,并结合大量冲洗液反复冲洗:减少了根管扩大时对根尖周的压力,减少了器械穿出根尖孔及把根管内坏死物推挤出根尖孔的可能性,减小对根尖周的刺激 ,减小了急性炎症加重的可能性,提高了疗效)
根管内引流术
常规开髓拔髓,必要时在局麻下进行,扩大牙根管至牙根尖孔,要求前牙至少扩锉至40#,后牙扩锉至35#,用3%双氧水和生理盐水交替冲洗牙根管,隔湿,充分吸干牙根管髓腔内放置CP棉球,用ZOE暂封,降合,不用抗生素和止痛药。术后3~5天复诊,如牙根尖周炎的症状完全消失,则作根管充填;如仍有叩痛存在,则 予根管换药,以后治疗同常规根管治疗;如症状加重,则去除暂封物,开放引流或口服抗生素和止痛药 。
打通根尖孔—急性尖周炎关键
彻底清理根管后才可用小号(10-15#)扩大针通过根尖孔,约1mm,须<1mm,以建立根尖引流通路,以避免将根管内感染物推至尖周。
关于封药时机的探讨
观点一:根管封药疗效优于开髓引流
急性根尖周炎时开髓引流术的同时把污染带进根管内和根尖区,使根尖周感染复杂.而拔髓后把髓腔封闭起来.一方面可去除感染根髓.扩大根管腔内体积,有利根管内引流;另一方面内置CP可起镇痛消毒作用,用zOE密封起来可防止髓腔根管受外界污染,且开放引流术后均需复诊密封髓腔,增加治疗次数。但也应视开放后根管渗出量而定,开放时间视引流量尽可能缩短 。
观点二:视急性根尖脓肿发展不同阶段而定
根尖周脓肿,应尽早使用抗菌药物,即使有一定量分泌物,也可于数分钟内引流完成,因此可直接封药。当渗出多或疼痛剧烈时,应开放引流。骨膜下脓肿时,疼痛达到最高峰,打通根尖孔是关键,应全身用药,视情况脓肿切开。粘膜下脓肿时,可根管内封药,同时脓肿切开。
观点三 :建立安全彻底的引流
根尖周的炎症病灶内,所存在的细菌多是口腔内常见的厌氧菌,如果引流不彻底,即行封药治疗,正好给这些细菌创造一厌氧的生存条件, 研究者长期观察,总结出封药治疗时问选择在开放后半个月左右较好,在此之前可以对根管进行换药治疗,也可以不进行换药治疗而只是等待时机 。
切开引流适应征
骨膜下或粘膜下脓肿,波动感(+)
通过根尖孔引流不能控制炎症扩散者
切开原则
于波动感最明显处切开
切透软组织达脓腔,确保引流通畅
全身抗菌药物辅助,温盐水漱口
注意事项
注意全身状态;骨膜/粘膜下脓肿需测体温,超过37.5度应查白细胞,病志写明患者一般状况,必要时请会诊。
抗菌治疗
适应症:伴全身系统疾病患者;感染弥散或有全身症状者;无法建立根管引流通路者。
常用药物:青霉素VK/阿莫西林-厌氧菌,需氧菌;甲硝唑-厌氧菌,与青霉素类合用;红霉素-对多数牙髓感染。
厌氧菌无效
原则:首量加倍,疗程5-7天
非类固醇类抗炎药NSAID的应用
预防控制术后疼痛效果佳
布洛芬-减少前列腺素合成
400-600mg/6h, 1-2d
禁忌症:1.阿司匹林过敏;2.孕产妇;3.鼻息肉综合征;4.血管神经性水肿;5.年龄小于14岁;6.哮喘,心功能不全,消化道溃疡,肾功能不全者慎用。
推荐急性尖周炎应急处理方法
采用冠根向无压力技术 开髓,彻底去除清理根。管内坏死牙髓,减小对根尖周的刺激 ,结合大量冲洗液冲洗 。
扩大牙根管至牙根尖孔, 扩锉至主尖锉
清理根管后小号器械(10-15#)打通根尖孔
根管内渗出物于数分钟内引流完成,可直接封药;当渗出多或疼痛剧烈时,应开放引流1-3天,开放时间视引流量尽可能缩短。
降合
骨膜下/粘膜下脓肿,视波动感切开引流
抗菌治疗
地塞米松根尖周炎治疗中的应用
一 作用机理
地塞米松为肾上腺皮质激素,刺激性小,与根尖周组织有关的作用:(1)抗炎作用;(2)抗过敏和免疫抑制作用;(3)抗毒作用;(4)抗休克作用。近年研究表明,地塞米松能有效的预防和降低根管治疗期间疼痛(EIAE)和水肿的发生。但因地塞米松可抑制机体的免疫功能,故应小剂量局部用药为宜。
1.根管内用药机理
作为根管内封药可减根尖周炎组织中少组织液渗出,降低因根尖周组织压力过高导致的疼痛,从而减轻根尖周组织的炎性反应。急性根尖周炎患牙根管内渗出液及PGE2均明显增多。PGE2与组织胺、缓激肽等物质一样,是炎性介质,能使血管扩张充血,通透性增加,引起组织局部水肿,导致局部疼痛加重。地塞米松可抑制根尖组织释放PGE2等炎性递质,加速炎性物质的吸收,从而减轻炎症反应。近年来研究发现:它还可通过磷脂酶A2,减少花生四烯酸的生成,从而抑制疼痛。
2.全身用药机理
其抗炎作用在炎症早期能减轻毛细血管扩张、渗出,白细胞浸润,缓解红肿热痛;炎症后期能抑制毛细血管和纤维母细胞增生,延缓肉芽生长,防止粘连、瘢痕,以上可以作为口服激素后加速根尖周组织修复,减少急性发作的药物作用机理。
二 应用
应用方式
根管内封药;局部注射;全身应用
用途
预防和降低根管治疗期间疼痛(EIAE)和水肿的发生;治疗根尖周炎根管治疗过程中急症的发生 ;治疗根管治疗后疼痛;减轻FC根管封药疼痛,抗过敏治疗 。
1.全身应用
地塞米松0.75mg,tid, 口服3d
根管充填术后常规量口服抗生素再加口服糖皮质激素 2~3d可以减少根管治疗术后急性发作,减少疼痛症状。
2.局部注射
局部注射地塞米松+利多卡因能预防和降低根尖激惹现象的发生并减轻其疼痛程度; 治疗根管治疗后疼痛
0.5%地塞米松1ml+2%利多卡因 1ml局部注射于患牙根尖区骨膜下.
3.根管内应用
地塞米松-氢氧化钙糊剂在根管治疗中的应用能有效的预防和降低根管治疗期间疼痛和水肿的发生。方法为螺旋充填器将地塞米松-氢氧化钙糊剂导入根管,至根管全长,髓室置地塞米松棉球,暂封
地塞米松辅助根管治疗防治根管治疗期间疼痛和水肿的发生。方法为常规根管清理后,根尖三分之一放置地塞米松液棉捻,暂封。
替硝唑地塞米松碘仿糊剂作为根管内消毒剂,能有效控制根管内的感染和根尖周炎症,对预防慢性根尖周炎根管治疗过程中急症的发生具有良好的作用,替硝唑地塞米松碘仿糊剂作为根管消毒药物优于甲醛甲酚。
甲硝唑地塞米松治疗根尖周炎根管治疗过程中急症的发生。地塞米松磷酸注射液(0.5%)与甲硝唑注射液(500mg/100ml)各2ml配成混合液,置入干燥根管内3次,每次停留10秒;
地塞米松-氢氧化钙-碘仿糊剂制备。
-END-
声明:本文转载自<爱口腔>,仅用于学习交流,如有违规侵权,请立即联系我们。内容仅代表作者个人观点,望大家理性判断及应用。









