
秦黎明 咸阳市中心医院

吴某,61岁男性
主诉:胸痛1月余
现病史:患者于1月余前无诱因出现胸痛症状,位于胸骨后,呈憋闷样,伴恶心、呕吐、大汗淋漓,症状持续不能缓解,急就诊于当地县医院,诊断为“急性下壁心肌梗死”,行急诊冠脉造影提示左主干+双支病变,左主干60%狭窄,前降支近中段80-95%弥漫狭窄,右冠远段99%狭窄伴血栓,术中于右冠远段植入支架1枚,术后规律服药。近期仍间断有胸痛不适,与活动相关,位于胸骨后,持续数分钟,休息后可自行缓解,一般情况可。为进一步诊治来院。
既往史:2型糖尿病病史。否认吸烟史、高血压病史。

【体格检查】
T 36.5℃ P 69次/分 R 15次/分 BP 135/90mmHg,肺部叩诊呈清音,呼吸音清,未闻及干湿啰音,心尖搏动正常,心脏无震颤,叩诊心界正常,心率69次/分,心律齐,心音正常,各瓣膜听诊未闻及杂音。双下肢不肿。
【辅助检查、化验】
入院后查血常规、尿常规、粪便常规、肾功电解质、血糖、心肌酶、肝功、血脂、脑尿钠肽、凝血等未见明显异常。
其中LDL-C 1.27mmol/l。

心电图:窦性心律,III、AVF导联Q波,肢体导联低电压,符合陈旧性下壁心梗改变。

心超:EF 0.58,节段性室壁运动异常,主动脉硬化。


【入院诊断】
1. 冠状动脉粥样硬化性心脏病
不稳定型心绞痛
陈旧性下壁心肌梗死
冠状动脉支架植入后状态
心功能Ⅱ级(NYHA分级)
2. 2型糖尿病
【风险评估】
GRA5CE评分 102分 中危 院内死亡风险1-3%
CRUSADE评分 30分 出血风险8.6%
PCI并发症评分10分 发生率5-10%
【诊疗计划】
1.继续冠心病二级预防、降糖等药物治疗。
2.复查冠脉造影,行左冠PCI术,术中IVUS检查指导。
![]()
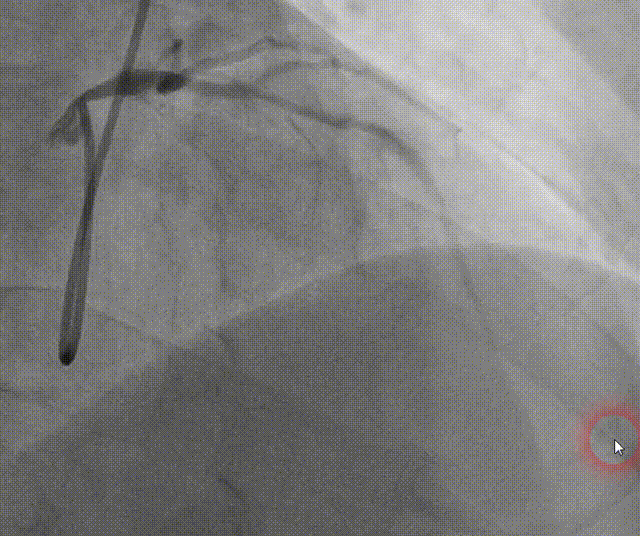
冠脉造影+PCI术


经桡动脉入路,造影提示:右冠优势型,1-2段交界50%狭窄,3段原支架通畅,4AV支50%狭窄,远端血流TIMI3级。

左主干楔形病变,管腔85%狭窄,前降支近中段80-90%狭窄,9段开口90%狭窄,远端血流TIMI3级;回旋支未见明显狭窄,远端血流TIMI3级。

手术策略
病变特点:主干+前降支严重病变,左主干体部楔形病变,可能为自发夹层,也可能为斑块破裂,需腔内影像学鉴别;前降支病变存在对角支分叉病变。回旋支无明显狭窄,可采用主干-前降支CrossOver术式。
器械选择
左主干+前降支分叉病变,优选7F EBU导管(超大内腔,便于器械兼容),本院近期无7F导管,次选6F(仍能满足手术器械兼容)。结合造影导管到位情况,可以看出主动脉弓的宽窄,以及左管开口情况,EBU3.5可胜任。
![]()
根据解剖形态 选择合适的EBU导管尺寸








√G1 - 开口向下,宜选大半号,EBU3.75;
√G2 - 正常型号EBU3.5即可;
√G3 - 开口向上,宜选小半号,EBU3.25/30。
![]()
EBU在LM体部病变应用 流程图

EBU在LM分叉病变操作 流程图

![]()


6F EBU3.5 GC,Runthrough、Sion至LAD、LCX支远端 。
LAD-IVUS:左主干破裂斑块征象,形成较大空腔,LAD近中段纤维、钙化斑块,MLA 2.44mm2,PB 76%。


2.5×15mm球囊(12atm)扩张7-5段病变。


分支导丝保护下于前降支中段-左主干口部病变处串联置入。
3.5×36mm乐普支架(10atm释放)、4.0×28mm海利欧斯支架(12atm释放)。




对角支受累, 2.0×15mm球囊12atm扩张对角支开口;
3.5×12mmNC球囊(16-20atm)7-6段支架内扩张;
4.0×12mmNC球囊(8-20atm)6-5段支架内扩;



术后复查IVUS支架贴壁良好,无夹层及血肿,前降支MSA 9.0mm²,主干MSA 10.52mm² 。


术后造影,血流正常,分支未受累。
手术结束。
术后心电图

心电图:较术前无改变
![]()
术后3日出院,嘱规律服药,定期复诊。
阿司匹林 0.1g qd
替格瑞洛 90mg bid
阿托伐他汀 20mg qn
美托洛尔 12.5mg bid
达格列净 10mg qd
![]()
1、旋转提拉法
2、前送成“U” 爬升法
3、前送打开法
1. 旋转提拉法

①

②
① 导丝在窦底成型。
② 导管在后窦成型,回撤导丝至导管第二弯曲。

③

④
③ 轻柔提拉,配合轻柔顺时针旋转。
④ 继续提拉EBU 导管至LCA水平,辅以顺时针-逆时针旋转到位。
2. 前送成”U”爬升法

⑤

⑥

⑦
⑤ 暂时不要撤出造影导丝
⑥ 调整同轴
⑦ 慎防深插
注意:不要急于调整同轴性
切忌 “力上加力” 推送EBU
3. 导丝前送打开法



操作技巧:擅用0.035 J-Type Stiff Wire的支撑作用(非超滑导丝)。
![]()
指引导管基本功
动作轻柔
带导丝操作
同轴性
冠脉开口与压力
造影读图选器械
选择强支撑、内腔大、带侧空的指引导管,依靠侧壁及窦低的支撑力,遇到开口异常的右冠选择非常规指引导管时,选择延长导管强支撑。
CTO病变提前规划
CTO病变有无侧支提供逆灌,有无残端、有无钙化影、是否是别人做过未开通的闭塞。对选择股动脉、7F指引导管、腔内影像支持、导丝选择有很大帮助。
![]()
1.主干或分叉病变PCI术,腔内影像学必不可少。
2.边支保护很重要,一根都不能少。
3.EBU导管具有超大内腔、强支撑力、抗折性,是处理复杂左冠病变的有力武器。
作者简介
秦黎明
-
秦黎明,男,医学硕士;
-
咸阳市中心医院心内一科主任,支部副书记;
-
心内科/胸痛中心主任医师,胸痛中心医疗副总监;
-
中国医药教育协会胸痛专业委员会常委;
-
中国老年病学会心血管病学分会委员;
-
中国中西医结合协会脑心同治委员会专家;
-
中国胸痛中心讲师团专家;
-
陕西省医师学会心血管内科分会委员、腔内介入专委会委员;
-
中国中医药信息协会中医临床药学分会常务理事;
-
发表论文20余篇,参编论著2部,独著一部,SCI一篇。市级科研三等奖4项;
-
从事心内科临床工作26年,临床诊疗经验丰富。









